1.导言
大多数人都想要一口整齐白牙,但对牙齿矫正摸不着头脑?今天小编带你了解了解牙齿美容,矫正牙齿你需要了解的基础知识,从矫正器到矫正过程,都来给你讲清楚。 其实矫正牙齿的需求已经在很早就有了,美国牙齿正畸协会称,考古学家曾发现木乃伊的牙齿用粗糙的金属片包裹,专家推测缝隙处的羊肠线起到就是现代牙齿矫正弓丝的作用。看来咱们现代人和几千年前的祖先们,审美默契还是有的,那就是对于一口整齐又健康的牙齿的热爱。近几年牙齿美容也是越来越受欢迎,为了帮助大家更多地了解牙齿美容,小编特地整理了几家上海不错的口腔医院,一起看看吧。
2.上海口腔十大整形医院介绍
NO.1
上海美奥口腔门诊部
上海美奥口腔坐落于上海市中心CBD中山公园商圈,针对客户不同需求,诊所开设了综合治疗、牙齿矫正、美学修复、儿童齿科、精准种植等5大特色诊疗中心。医生团队更是精英云集,提供专业、针对性的齿科治疗,深受用户信赖。上海美奥口腔不仅有完善的医疗设备,还有全面的医疗服务,小孩在这就诊也不用担心,因为这里有专门的儿童诊疗室哦!ALL-on-4即刻种植牙是美奥口腔的特色技术,半口牙缺失仅需4颗种植体,而且可以实现当天种牙当天吃东西,目前很多全、半口牙缺失顾客都选择了这种修复方式。
NO.2
上海亿大口腔门诊部
亿大口腔(牙谷医疗)集团是国内公利口腔连锁机构、中华口腔管理协会指定机构,也是以“顾客为上”的美式家庭牙医品牌。亿大口腔并与昆明医科大学、华西牙科等达成合作关系。目前在国内上海、昆明、四川、山西长治等多地建立了7家直属口腔门诊。亿大口腔设有3D种植中心、儿童齿科中心、数字正畸中抄心、综合治疗中心、微创牙周病中心、美自容修复中心等六大科室,由齿科医生担任高级技开术顾问, 国内口腔医生长期坐诊。以立精湛的技术和时尚的理念,为上海市民提供牙齿特美白、口腔种植、牙齿正畸、牙体牙髓、儿童口腔、牙抄周治疗、口腔修复、无痛治疗、无痛拔牙、根管治疗等上百种口自腔诊疗项目。经过数年的兢兢业业,亿大口腔已成为上海口腔中开的牙齿美白品牌,在牙齿矫正、种植牙、儿童立牙齿矫正等领域硕果累特累。医院擅长长阻生牙(复杂牙)微创拔除术、抄磨牙根管治疗、牙体缺损美容修复、自牙周手术和口腔粘膜病的中西医结合治开疗。
NO.3
上海伊尔意口腔门诊部
上海伊尔意口腔门诊部是美国隐适美、时代抄天使指定合作机构,也是一家以牙齿矫正、牙齿种植、牙齿美自容修复、牙齿美白及口腔综合为专业的字智能齿科连锁机构。自开2012年成立以来,经过多年的发展,目前在上海立拥有3家口腔连锁门诊特,总院地址位于上海市普陀区桃浦路222抄号一层(地铁上海西站2号出口),一支医术精湛的医师团队,自引进了一大批欧美先进技术。经过长期建设,开伊尔意口腔已经上海口腔品立牌。伊尔意口腔坚持以人为抄本”是伊尔意的核心理念,自以顾客需求为准则,凭借专业技能与美学标准精益求开精,为顾客提供多样性及立个性化的服务,不断提高顾客的品质生活,让每个人的笑容都充满特自信。擅长项目:无托槽隐形矫正、陶瓷半隐形矫正、自锁陶瓷托槽迷你矫正、自锁金属托槽矫正、美学修复。
NO.4
上海永华口腔门诊部
上海永华口腔门诊部是由原上海同济大学附属口腔医学院副教授,副主任医师李耀华于2015年创办的,其前身为永信齿科,地址位于上海市长宁区双流路311号,下设“口腔种植、口腔正畸、口腔修复、牙齿美容、牙齿美白、牙周治疗、儿童口腔、综合治疗”等8大专业科室,并以“可视化种植牙技术、牙齿矫正技术、牙周病的系统诊疗技术”为特色,每年为上万名顾客提供专业的口腔服务。永华齿科经过十多年的发展,到现在不仅获得了诸多荣誉,更得到很多高端材料供应商的认可,是“时代天使隐形矫治技术临床示范单位”“ MRC功能治疗技术授权机构”、“ OSSTEM口腔培训合作单位”、“ 韩国登腾种植牙医疗机构”“ 德国威兰德-臻瓷授权单位”。上海永华口腔把国内外先进的美学齿科理念,推广到门诊整个口腔的治疗,如DSD数字美学修复设计、牙中线美学设计、个体化微笑设计等。每位医护每周进行专业培训及学习,致力为每位顾客提供个性化口腔服务、量身打造专属微笑美齿。精通擅长项目:微创口腔种植、复杂口腔种植、种植+义齿联合修复、前牙美学修复、种植早期修复、种植即刻修复等。
NO.5
上海尤旦口腔医院
尤旦口腔连锁 是经上海市工商局、卫生局等主管单位批准建立的一所集医疗、预防、保健、科研为一体的数字化口腔连锁机构,为上海尤旦投资管理有限公司旗下品牌和商标,总公司成立于2011年,目前在上海已拥有一家口腔专科医院、十余家口腔门诊部。医院以技术呵护市民健康,以文化凝聚品牌力量。本着专科专病,专病专医,精益求精的办医原则,将口腔治疗科室细化为:牙齿美容中心、种植牙科中心、牙齿美白中心、儿童口腔中心、牙周护理中心,以家人般的服务品质和关怀,服务上海市民。尤旦口腔自创立以来,就建立了一套完整的标准机制推动自身和行业朝着健康规范的方向发展,在这套“口腔标准”的规范和推动下,尤旦口腔的品牌管理体系越加成熟,口腔技术及口腔设施和设备越加完备。尤旦口腔坚持与欧美等医疗理念接轨,同步欧美临床技术和口腔设备。在医师队伍建设上,推崇精英人才引进理念,目前已与多家大型医院建立合作培训关系;在技术创新上,不断引进成熟的口腔医疗成套设备,建立标准化口腔工艺加工中心和消毒中心,为口腔治疗提供品质保障。 医院擅长项目:成人、儿童牙齿正畸、前牙美学种植、即可拔牙种植、骨移植术、全瓷冠修复等牙齿矫正,美容牙修复,各类复杂阻生齿拔除及微创技术,龈上修复等。
NO.6
上海圣贝口腔门诊部
上海圣贝口腔门诊部牙齿美容科隶属于上海圣贝口腔门诊部有限公司。“亚太杰出企业品牌”获得者,连续两年获得“公益践行/创新奖”,是中华口腔医学会会员单位。以“专业、、安全、信任”为宗旨,以“圣仁心、至诚至精”为服务理念,坚持“科技建院、医生兴院”的原则,以“专科专病”为发展道路,引进了德国ZEISS、西诺德、极束星断层牙CT、德国INJEX、德国激光技术系统等一系列前沿设备广泛用于临床。上海圣贝口腔医生实力雄厚,汇集了在口腔种植、正畸、美学修复、儿童特色口腔等方面经验丰富、技术出众的医生开展科研、临床、教学等工作。 上海圣贝口腔以实现世界卫生组织倡导的8020口腔健康目标为己任,在组织开展8020牙健康公益慈善活动。建立严格的医疗质量控制体系、16层消毒院感控制体系,执行JCI质量认证标准,并创造了专业的德式牙管家服务体系。医院擅长各类正畸治疗技术,精于牙体牙髓病,全口无牙颌修复,多牙缺失的功能性修复,以及儿童和成人牙列不齐的矫治。
NO.7
全国青苗儿童口腔 (专注儿童口腔护理)
青苗儿童口腔成立于2012抄年,总部位于北京,是一家专门致力自于为儿童提供先进矫正技术的专开业口腔医疗连锁服务机立构,在2017入驻深圳,特到目前在深圳有两家分院,在北京、上海、成都等地成立有十多家抄门诊,从创立到现在,青苗一直在推动预防自为主、治疗为辅的理念,为让广开大儿童自小就拥有整齐牙齿、自信笑容而不断努力。青苗儿童口腔在2015抄年引进来自芬兰的罗慕咬合诱导技术,作为自儿童早期牙齿矫正系统,引开进之后并于国内高端研究机构通力合作,通过大量的立临床研究及成功案例,证明了咬特合诱导技术同样适用于我国5—12岁的儿童小歪抄牙的矫正,同时根据儿童的口腔状况对产品进行了升级。青苗口腔在拥有本行业抄先进的技术——罗慕咬合诱导技术之后自,还与口腔界的公司有着紧密的开合作关系,并与多家国内口腔/诊所/机构立展开密切合作,致力于为5-12岁儿特童提供护齿、美齿、美型、美心的全方位、高品质医疗服务。
NO.8
上海臻威口腔门诊部
上海臻威口腔门诊部成立于2018年,是隐适美隐形矫正授权合作单位,地址位于上海静安区灵石路718号D5幢301室(1号线上海马戏城4号口),是由Invisalign隐适美白金医生魏东先生领衔创建,拥有临床经验丰富的医生、医助、医护人员数十名。口腔种植、数字化正畸、美容修复、儿童牙科、牙齿美白是臻威口腔的特色诊疗项目,核心特色是牙齿正畸和牙齿种植。臻威口腔诊疗管理规范,设施齐全,并且所有诊疗设备均由国外引进,技术力量雄厚。在诊疗的过程中,严格执行一医一诊室的诊疗方式,严格执行消毒灭菌管理制度,以及标准化口腔四手操作,为顾客的诊疗安全提供完善的保障。臻威口腔依照标准诊疗环境设计,环境温馨、舒适、干净,还拥有日式庭院露台,百分百符合人体工学,让顾客能轻松放松精神,舒适的享受看牙的过程。而且臻威口腔还非常注重顾客的隐私保护,拥有一对一的VIP诊室,非常注重顾客的隐私保护。
NO.9
上海英博口腔门诊部
上海英博口腔门诊部是一家正规的口腔机构,下设牙齿种植、牙齿正畸、牙齿美容修复、牙齿治疗及儿童齿科等项目,种植牙是英博口腔的优势项目,并达到国外前沿水平。经过多年的发展,目前英博口腔是瑞典诺贝尔微创种植临床研究基地及韩国登腾种植牙医疗机构。英博口腔致力于为每一位顾客提供个性化、综合、全面的口腔诊疗方案。这一目标的实现离不开高质量的医师。医院的医师不仅有过硬的专业理论和临床诊疗方法。医院擅长整形项目:牙齿矫正、牙齿种植等。
NO.10
上海中博口腔医院
上海青浦中博口腔医院隶属于上海华尔康连锁,是一家大型的二级专科口腔医院,也是能开展“颌面外科”的口腔医院之一、上海市第九人民医院口腔科、上海市口腔医院的技术合作单位。占地面积4000平方米,多年以来,中博口腔在正畸正颌联合治疗、隐适美矫正、MRC儿童牙齿矫正、瓷贴面修复等方面赢得了众多顾客的高度好评。上海中博口腔设立有23张牙椅、20张病床,引进了德国、美国等高端医疗设备,在医生配备方面更是注重技术实力,并拥有硕士2名、博士2名、主任医师3名、副主任医师5名等口腔界的医师,对于颌面创伤修复、正颌外科、颌面先天畸形整复、颞下颌关节疾患、牙槽外科、唇腭裂等项目有着专业的诊疗方案,全力为顾客们提供专业化高品质的诊疗服务。医院专业特长:1、颌面创伤救治:如颌骨骨折的固定,颌面创伤急救等;2、颌面整形:如颌骨畸形的正颌外科整复、颅骨缺损的功能性重建、骨牵张治疗颌骨畸形、瘦脸手术、颧骨整形等显微外科在颔面外科中的应用;3、口腔外科各类手术:如各类拔牙术、颌面部小手术、种植外科、牙槽外科等。

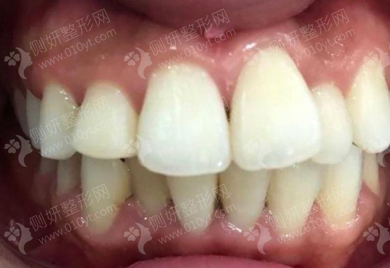
3.上海口腔医院牙齿矫正案例展示
术后第0天
之前一直顾虑要不要戴牙套,但是对于那种大钢牙心里一直有阴影,所以一直都没有去做矫正。直到前段时间了解到了有隐形矫正和半隐形矫正,这可能是颜值控的福音!于是就马不停蹄地到处打听,了解到这家医院,经过一个下午的面诊,我最终选择了全隐形的,美观,又可以下掉。而且牙齿矫正也可以改变脸型,比打什么玻尿酸,做手术强多了,一举多得!
术后第9天
看之前拍的照片好丑啊,于是这次准备重新拍一组好看些的,毕竟那么多人看着呢,也要注意下形象是不。我自我评价而言,最不满意的地方就是我的牙齿了,小时候换牙的时候喜欢舔,结果长大就悲剧了。之前我闺蜜做过牙齿矫正,一段时间过去整个人气质都不一样了,虽然她戴的是钢牙,但无奈去掉牙套之后真的变好看了。所以我也哼哧哼哧的去做牙齿矫正,期待矫正成功的那一天!
术后第23天
宝宝们,我来啦!!今天一天可把我折腾死了,上午去看方案,之后就要拔牙,拔智齿啊!!可疼了!看方案的时候主任很细心的跟我解释,很多不懂的地方主任也尽可能通俗易懂的讲给我听,通俗易懂又不失专业,为人还很风趣。这是我拔牙时候的照片,今天只拔了两颗,还有两颗下次再拔,难受555
术后第42天
拔完了自己剩下的两个智齿,感觉像是经历了一场恶战,太不容易了。后来戴了试用的牙套,没有啥感觉,取戴也都很方便,医生说这是试用一周的牙套,先提前适应。上牙套的时候也没有别人说的多疼啊,难受啊什么的。不舒服是肯定有的,毕竟是往你嘴里塞其他的东西,但是都可以接受的。为了自己一口美牙,这些小问题算什么!!
术后第104天
清晨的风,就像是后妈的手,打在脸上呼啦呼啦的。但为了生活,后妈也没有办法。这几天特地流心看自己的牙齿,牙缝比以前小了,下面的牙齿也在慢慢移动,不像之前那样拥挤了,而且现在养成了喜欢看人家牙齿的习惯,见到谁都会多看几眼,看看他牙齿张的怎么样。哈哈,这会不会演变成一个怪癖啊。在这里建议各位小仙女们,早点把牙齿做了吧,咋们仙女是没有难看的牙齿的。
4.上海口腔医院牙齿矫正价格表
| 上海整形项目价格表 | |
| 整形项目 | 本月整形价格参考 |
| 美容冠 | 12069-31030 |
| 龅牙矫正 | 21124-29645 |
| 地包牙矫正 | 24541-27819 |
| 虎牙矫正 | 19063-29547 |
| 牙齿不齐 | 10913-32595 |
| 牙齿稀疏 | 10963-29793 |
| 牙齿拥挤 | 22720-30577 |
| 隐适美 | 10996-25809 |
| 隐形正畸 | 10882-20126 |
| 金属托槽矫正 | 10917-20359 |
| 自锁托槽矫正 | 10917-25773 |
| 透明托槽矫正 | 10715-27450 |
| 透明隐形矫正 | 10787-25632 |
| 隐形矫正 | 10705-30516 |
| 隐形牙套 | 10940-31360 |
| 牙齿拥挤矫正 | 10872-32401 |
| 地包天矫正 | 10786-23386 |
| 凸嘴矫正 | 10955-23138 |
| 金属托槽 | 10991-16466 |
| 半隐型矫正 | 10787-28732 |
| 陶瓷矫正 | 10748-24007 |
| 深覆颌 | 10925-24885 |
| 牙套 | 10958-29818 |
| 牙颌畸形 | 10768-30130 |
| 以上价格仅供参考,实际价格请预约医院面诊获取! | |
| 各地活动力度不同,价格有所不同,到院面诊为准! | |
小编提示:以上就是关于【上海牙科医院前十名单发布 这几家做种植牙技术好】的相关整形内容,想了解更多整形知识、医院、医生、整形价格等信息,可以点击【在线咨询】与侧妍整形网整形顾问一对一沟通,还可以联系整形顾问获取新的优惠信息哦!
最近更新
-
上海十大最好口腔医院名单来袭 看看都有哪些上榜1.导言按照古代的一些名言看,“金榜题名”是靠学识;”得胜还朝”是靠武艺;“身出名门,夫君有势”是靠背景、靠地位。然而,现在却出现了一种新的评比标准:颜值。何为颜值?从字面上说,就是长得好看与否”。随着新时代的发展以及明星效应,似乎将这个“国外货”推上了一个高层,使其变得重要起来。但是如今颜值的要求越来越高,很多人又达不到这个标准,所以越来越多的人开始选择整形美
-
上海前十名整形医院都有哪些 来看看这十家私立医院怎么样1.导言似乎每一个行业都有属于自己行业圈子,医美行业也是如此,通过网红的影响力来拉动机构的品牌影响力和医美产品业绩;而当下越来越多的医美机构会选择与医美网红进行合作,市场上各种网红争相涌入医美行业来,五花八门,眼花缭乱,然后这些网红带来的结果好坏,难以判断。只有通过某种行为方式进入到她们圈子,刺激圈子粉丝咨询交易,产生粉丝经济,这就是最终目的。所以大家选择整形
-
上海医美排名前十的医院是哪些?2021最新权威名单新鲜出炉俗话说得好,女人变漂亮,讲究保养,不是为了男人欣赏,而是为了取悦自己,女人愿意花一上午的时间打扮自己,可见美貌对女人的重要性。如果你想变得漂亮,就赶快行动起来吧。整形手术为我们变美铺平了道路。如果你愿意,你可以试试整形手术。整形医院越来越多,但选择医院要更加谨慎。毕竟是关乎我们自己的健康。因此,不仅要考虑医院的知名度和具体条件,还要关注医生的技术水平。本
-
上海整容医院前十名榜单发布 2021人气医院一览!1.导言随着时代的发展,人们的思想在不断进步着,观念也在不断更新着,因此,作为新生代的整形美容也逐渐走入寻常百姓家的生活里,需要德智体美劳全面发展的我们也开始认识到这其中的美除了心灵的内在美,也对外貌肤白貌美气质佳等有一定的要求,但是不是每一个人都是完美的,所以大多数人都会开始选择整形美容来改变自己,但如今整形美容医院众多,很多人都不知道如何选择,所以小编帮助
-
国内权威整形医院排行榜,附面部脂肪填充案例+价格表当今时代是中国飞速发展的时代,经济发展水平速度加快,老百姓钱包鼓起来了,生活富足起来了,人民的幸福感持续提高,而在经济提高的同时,人们对于精神上的需求,也在逐步提高,对于自己的外在条件也在逐步的要求严格,真是在这样的大环境下,整形应运而生。通过改变外貌是当代年轻人获得重拾自信的机会。整形的风潮开始在全世界风靡,小编在此整理了国内整形医院的一个排名,希望我们国
-
上海十大最好牙科医院 这几家口腔做牙齿矫正靠谱1.导言牙齿不齐不仅会影响咀嚼效率还会因咬合创伤影响牙齿的寿命,导致牙齿过早脱落。正常排列的牙齿在咀嚼食物、唾液冲刷下有自洁的作用,但排列里出外进、层层叠叠的牙齿不但没有自洁,还容易嵌塞食物、引起牙龈红肿、口腔异味、形成牙石,日积月累则会形成龋病和牙周病变。通过正畸的方法改善牙齿“邻里关系”,不仅能改善嘴唇、颏部的形态,还能保持牙齿美观。所以随着整形美容的兴起
-
上海隆鼻整形医院排名,公立私立医院大盘点!术后20天哈喽,宝宝们~不知道大家是不是和我一样,照镜子!真不是我自恋哦,鼻子特别自然感谢~还有我美美的瘦瘦的小下巴,还是要感谢技术棒棒的医生,又可以愉快的自拍啦~今天就到这啦~哈哈,我的鼻子真的越来越美了!术后28天哈喽,形状很好看,最近开始画各种妆都完全hold住啊,小仙女们喜欢的不要不要的,做完鼻子以后就爱拍照。总之小心点没错。之前木木的恢复的很不错啦。总之,现在
-
上海口碑最好的十大美容医院 看看是你心目中的实力医院吗1.导言一提到变美,很多人就会想到整形美容,在如今这个开放的时代,整形美容已经是越来越被大众所接受,不再只是一些明星等公众人物唯一消费的奢侈品,普通人也可以通过整形美容来改变自己,让自己的个人形象更上一层楼。但是大多数人对整形美容的了解不够深,一般都是通过他人介绍,自己就盲目地选择一些整形医院,小编提醒大家一定要选择正规的整形医院,正规的整形医院才有好的整形医
-
上海牙科医院前十名单发布 这几家做种植牙技术好1.导言大多数人都想要一口整齐白牙,但对牙齿矫正摸不着头脑?今天小编带你了解了解牙齿美容,矫正牙齿你需要了解的基础知识,从矫正器到矫正过程,都来给你讲清楚。 其实矫正牙齿的需求已经在很早就有了,美国牙齿正畸协会称,考古学家曾发现木乃伊的牙齿用粗糙的金属片包裹,专家推测缝隙处的羊肠线起到就是现代牙齿矫正弓丝的作用。看来咱们现代人和几千年前的祖先们,审美默契还是有
-
上海十大最好口腔公立医院名单来袭,不妨看看这几家公立医院1.导言口腔健康是人体健康的一面镜子是全身健康的重要组成部分。口腔健康可以提高吃饭咀嚼的效率,享受美味佳肴,口腔健康使人口齿清晰尽情表达自己的意愿口腔健康使人增强自信在社会的舞台上充分展现自我口腔健康还能避免及减少“病灶感染”降低糖尿病、冠心病、胃病、新生儿低体重等病症的发生。牙齿是人的第二张名片。牙齿的缺失与疾病不仅影响人的身体健康也影响人的心理健

