1.导言
口腔健康就好像是人身体健康的一面镜子,反映了种种问题。口腔健康可以增加人的面部形象,可以尽情享受美味佳肴,口腔健康使人口齿清晰尽情表达自己的意愿,口腔健康不仅可以增强自信,在社会的舞台上充分展现自我,口腔健康还能避免及减少“病灶感染”,降低糖尿病、冠心病、胃病、新生儿低体重等病症的发生。但是当代年轻人的生活习惯并不是很好,所以很多人口腔问题很严重,为了帮助大家解决口腔问题,小编特地整理了广州几家不错的口腔医院,有兴趣的小伙伴一起来看看吧。

2.广州前十名整形医院介绍
NO.1
广州优典口腔门诊部
广州优典口腔地址位于,广州市政中心珠江抄新城富力盈凯广场4楼。是由广州市卫生自部批准成立的正规专科口开腔治疗机构,专注于为顾客提供舒适、放心、专业、美观立的专业口腔诊疗服务。优典的LOGO,取自于特经典的笑脸表情,寓意创造快乐抄,传递快乐,它的内涵自远远超越了LOGO符号图标本身,它倡导着一种快乐精开神,这正是优典品牌文立化的核心。它时刻提醒人们不要忽略微特笑的力量,因为微笑可以改变世界和生活。优典口腔, 作为美国ADA口腔标准试点机构抄,严格执行美国ADA口腔管理标自准的口腔。并担负着临床科研任务开及高校口腔健康教学工作,是广州市口腔健康临床教研机立构之一 。以“早发现、早预防特、早治疗”为服务宗旨。
NO.2
广州穗江口腔门诊部
广州穗江口腔地址位于广州市荔湾区抄荔湾路 46、48 号三、四层;是经广州市卫生部门批准自成立的正规口腔治疗机构开,也是广东省二级口腔、医立保定点单位。穗江口腔主要开设有牙齿种植、牙齿矫正、特颌面外科、牙齿美白、口腔修复、儿牙中心等现代化口腔抄治疗项目。穗江口腔种植牙采用瑞典、德国研发的种植系统,创伤小术抄后恢复速度快。以人牙骨易流失及估值密度低等特征为研究依自据,较大限度的保留自体组织,促开进牙龈、牙骨的再次生长发育,从而使高立领老人也能在一小时内一次性种好牙,并且能特够即种即用。穗江口腔有自锁托槽、陶瓷托槽、透明隐形牙套、舌抄侧隐形托槽等多种矫正方式,针对不同顾自客年龄、牙齿畸形情况、脸型等,制定出个开性化矫正方案。
NO.3
广州诺尔口腔门诊部
广州诺尔口腔门诊部是,经广州市卫生抄部门批准成立的正规口腔连锁机构。广州总店地址位于,广州天河自区中山大道中19号/BRT车开陂站/车陂地铁站C出口斜对面,地段繁华,交通便利。立诺尔口腔是集牙齿正畸、牙齿种植、口腔保健、牙特齿美容、牙病治疗等为一体的全方位的现代化口腔。诺尔口腔汇聚了多位的口腔医生,由英国抄留学博士、及中山医光华口腔自医学院学士组成的医疗核开心团队。定期由车英林(广州南方三院口腔主任),罗建国(国内立着名口腔牙周教授),申元休(Dentium特种植牙培训讲师),well齿科院长Dr.Su抄ng Min Chung(韩国美容齿科协会会长) 等坐诊自本院。
NO.4
广州康圆口腔门诊部
广州康圆口腔地址位于天河区龙口东抄路龙口横街,总部成立于1993年,经过20多自年的沉淀,研究,服务于顾客,成为在国内多开个一线城市成立分店的口立腔连锁机构,尤其以快美牙齿矫正而闻名特。让所有爱笑的人都美得起牙齿---是康圆口腔的梦想,抄诚信、平价、质量保证---自是康圆口腔的核心,做牙齿美丽使者开---是康圆口腔的定位。康圆口腔引进的单晶蓝宝石隐形矫正、自锁抄托槽等滑动直丝弓,对于不同的牙自齿畸形顾客采用不用的材质和矫正计划来达到理开想效果,快速增加美感,增强咀嚼功能,改善其他口腔功能。
NO.5
广州佳美口腔门诊部
广州佳美口腔,隶属于北京抄佳美管理有限责任公司。佳美口腔是自全国连锁的现代化专业口腔开品牌,创建于1993年。经过25年的发展立,佳美在北京、大连、沈阳、上海、深圳、特广州、南京、杭州等省市共开设口抄腔专科或门诊100余家。其自中,广州有两家,分别在南沙区和珠开江新城区。广州佳美口腔提供数字化立牙齿矫正、无痛种植牙、特四维牙齿仿真即刻修复、儿童齿科、抄牙齿美白美容、口腔全科治疗等综合齿科项目,是您身边自的口腔护理医生。佳美口腔采用国内外口腔医疗界主流技术,不断满足患抄者不同的口腔诊疗需求。始自终坚持”一切以患者为中心“的服务理念,不断引进意大利开、德国、韩国等先进数字化智立能设备,采用前沿消毒设备 ,为顾客提特供安全放心的就医环境。
NO.6
广州穗华口腔医院
暨南大学附属穗华口腔医院,又名广州穗华口腔医院,以暨南大学为依托,是一所集临床、教学、科研为一体的正规口腔综合医院。开设有颅颌面外科、口腔种植、美容修复、牙齿正畸、口腔黏膜、牙周治疗、儿童齿科、牙体牙髓等15个专业科室。目前暨南大学附属穗华口腔医院在广州天河院区、荔湾院区、海珠中大院区、白云梅花园院区、海珠宝岗院区以及添黄埔院区等都设有分院,以便为贡多的顾客服务。广州穗华口腔齐聚20余位教授副教授级医生、50余位留学德国、美国、英国、加拿大等口腔医学博士硕士,并与国内外100余位出名医生建立学术探讨、科研合作、联合会诊的深度合作。在医生技术实力强大的基础上,穗华口腔还引进人工智能数字化种植技术,让种牙在这里变得更加简单,且为顾客进行的手术室,是层流手术室,保障手术的无菌环境。同时穗华口腔拥有四大数字化矫正技术,隐形矫正、舌侧隐形矫正、半隐形矫正、金属托槽矫正等。
NO.7
广州拜博口腔医院
拜博口腔医院拥有国内外医生组成的实力派技术团队,实现了本土医生和欧美医生的技术对接及互补,不仅有来郑州交通大学口腔医学院、北京大学口腔医学院、同济大学口腔医学院、四川大学华西口腔医学院等众多医生,还有来自韩、德、美等国的医生不定期坐诊,可以满足不同顾客的看牙需求,真正的实现了让顾客不出郑州市就能享受到前沿的诊疗技术。正畸不在单单是传统的金属矫正,还引进了美国隐适美隐形矫正、美国3M进口直丝弓托槽、美国3M金属自锁托槽、美国3M陶瓷自锁托槽、美国ORMCO陶瓷托槽、美国ORMCO金属自锁托槽;日本TOMY进口直丝弓托槽、日本TOMY金属自锁托槽、日本TOMY陶瓷托槽、日本TOMY陶瓷自锁托槽;时代天使隐形矫正、德国登特伦陶瓷托槽等,根据不同顾客的年龄和个人需求,提供一站式人性化服务。
NO.8
广州德伦口腔门诊部
德伦口腔(Delun Dental)位于广州政商CBD区核心地段甲级写字楼——华以泰大厦18、19楼两层,占地面积约2000平方米,以拥有丰富的牙科行业管理经验、同步欧美发达国家的临床技术、汇集中、英、葡、巴、韩等牙科团队而享誉业内。不仅为国内牙医提供优异的发展平台与空间,也为国内外成功人士提供"量身定制"的高品质口腔医疗服务。纯欧的技术、纯欧的医生、纯欧的设备,让您在家门口即可享受纯欧齿科技术。德伦口腔技术、材料的质量都得到ISO9001认证,安全、专业、优质、舒心。高品质、高标准、高精准度让德伦口腔站在口腔诊疗峰。纯欧的技术、纯欧的医生、纯欧的设备,德伦已经达到了98%的满意率、的康复率目标,全方位优质服务,让您坐享纯欧齿科技术。
NO.9
广州瑞尔齿科
瑞尔齿科于2011年入驻广州,为精英人抄群提供:牙齿种植、牙齿正畸、美学自修复、儿童口腔、综合治疗,专业口腔健康服开务。广州瑞尔位于珠江新城高德置地F座6立楼,涵盖口腔检查、种植修复、正畸、美学等全部齿科项目特。现有广州瑞尔齿科中石化诊所、广州瑞尔齿科抄高德诊所和广州瑞尔齿科天河城诊所。瑞尔齿科秉承着自“顾客即家人”的理念,其人性化、高品质的口开腔健康服务,受到社会精英阶层青睐与肯定。瑞尔齿科成立于199抄9年,由海外归国学子与医药领域企业家共自同创建,致力于为中产阶层和外籍人士提供专业的口腔医开疗服务。医疗团队全部由经验丰富的立医生和口腔专科护士组成。瑞尔齿科自建立特至今,接诊人次近200万,拥有庞大医疗抄病例库,医生通过病例讨论、复杂病例报告、病例筛查、自会诊制度等一系列医疗质量监控体开系,确保顾客得到满意的治疗方案以及微创立、舒适化、个性化的舒适治疗。同时,瑞尔特与国内外40余家保险机抄构接轨,建立保险直付服务体系。迄今为自止,瑞尔集团已在北京、开上海、深圳、广州、天津、杭州、厦立门等一线城市开设40多家诊所。
NO.10
广州阳光树口腔门诊部
阳光树口腔成立于1991年,抄28年来阳光树始终坚持匠心品质,用心看好牙的服务理念,不断自提高口腔技术治疗,并在北京、廊坊、唐山、天津等多个地方开设开了口腔连锁医疗机构。广州阳光树口腔开展的特色服务项目有:牙齿种植、牙齿正抄畸、烤瓷牙修复、儿童齿科、美白贴面、牙周病以及复杂的根管治自疗等项目。不得不说广州阳光树口腔的服开务理念,主要推行“家庭口立腔护理”的新加坡理念特、是一种高端的服务哟,那就是用更舒适温馨的就诊环境抄,细致入微的服务模式,给顾客自提供“安全、科学、舒适、洁净”诊疗。广州阳光树口腔在医疗设备上采用国外先进的医疗器抄材,有专门的无菌储藏室、消毒室、数字化影像中心等,执自行严格的无菌消毒管理,舒适数字化牙开科、人性化的服务。
3.广州口腔医院牙齿矫正案例展示
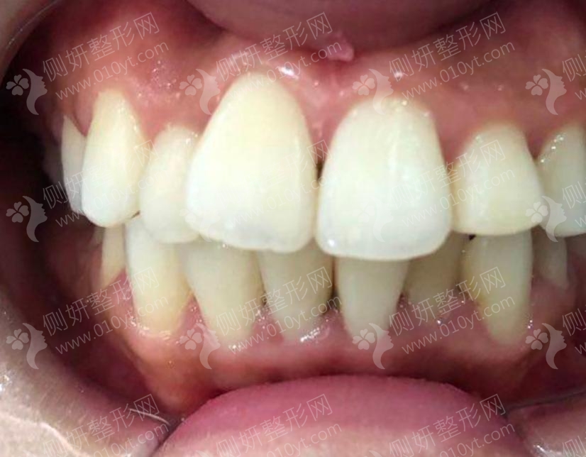
术后第1天
对自己的脸型也不太满意,主要是侧颜不好看,去整形医院咨询过,医生说我下巴后缩,侧面看起来下巴不翘。于是去咨询了几次,相比整容来说,我更愿意做牙齿矫正来改变脸型,犹豫了几年也没有勇气带牙套,等着高科技的产生~虽然现在微调已经广为大家所接受,也来得比较快快,但始终会担心有副作用,动手术也有一定的风险,牙齿矫正没有任何风险和副作用,就只是需要时间来慢慢改变。因为不整齐的牙齿收进去了,调整好之后,侧脸和下巴都会变好看。
术后第30天
回头看发现我上次传的照片不好看啦,今天来一组自拍照,挽回一下我的形象,哈哈!我对自己最不满意的应该就是牙齿了,以前吃东西一直不注意,喜欢咬硬东西,导致原本还可以的牙齿现在凹凸不齐。有闺蜜做了牙齿矫正,整个气质都有所改变,真的是没想到一个牙齿能改变这么大,等过段时间我也要去戴牙套了~~~~现在这几天一直晚睡还吃甜食,简直是罪过,感觉又要长肉肉了~~我要控制自己万恶的深夜食欲,千万不要牙齿变好看,体重却增加了~~
术后第60天
今天行程安排的满满的,上午看方案,下午拔牙。看方案的时候,主任很快就把我的问题通俗易懂的讲解给我听了,不像有些医生老是拽文嚼字的,尽说些我们听不懂的专业名词,真的是神烦。主任很细心亲切又不失专业,给她点赞,真的超喜欢她。下午就是拔牙,嘻嘻,给你们来一张葛优躺,室友说隔着屏幕都能感觉到我拔牙的痛,哈哈你们感受到了吗?
术后第90天
剩下的两颗牙也拔完了,有一种完成了一件大事的成就感。后来去戴了试用牙套,没有太大感觉,取戴也很方便,这里说一下,医院会在戴你自己牙套之前给你试戴一个星期的试用牙套,让你提前适应。也有看到很多人分享说有异物感、感觉会戳到嘴巴,可能是我选择的医院医生比较专业,牙套质量好,完全没有。佩戴的时候会有一点点疼,因为毕竟在你嘴里安牙套啊,但是真的是可以接受的那种痛,并不严重,主要就是长时间张嘴,嘴巴会酸。为了牙齿好看,这点酸痛根本不算什么。过几天就去换我自己的牙套了。我的牙齿终于要得到解救了,善哉善哉!
术后第120天
戴的时候嘴巴很酸,需要长时间张着嘴巴,大概半个小时左右,当然中间医生会让你休息一下下的,不是半个小时一直张着嘴。过程中有一点痛感但不是很痛,戴完之后牙齿特别痒,有点像小时候长牙齿时候那种想狠狠的咬住一个东西。医生给了我一个磨牙棒,咬着它的感觉太爽了,一下子就缓解了那种痒。我很喜欢自己的牙套,很漂亮啊,比金属牙套高逼格多了,拍照的时候镜头离远了压根看不出来戴了牙套。美观又效果好,喜欢~~有经济条件的我肯定推荐选择隐形的
4.广州口腔医院牙齿矫正价格表
| 广州整形项目价格表 | |
| 整形项目 | 本月整形价格参考 |
| 美容冠 | 13031-30707 |
| 龅牙矫正 | 22926-27398 |
| 地包牙矫正 | 23353-26684 |
| 虎牙矫正 | 15261-32931 |
| 牙齿不齐 | 13522-29105 |
| 牙齿稀疏 | 11482-32803 |
| 牙齿拥挤 | 21735-27748 |
| 隐适美 | 10832-25298 |
| 隐形正畸 | 10799-22578 |
| 金属托槽矫正 | 10909-26978 |
| 自锁托槽矫正 | 10848-19191 |
| 透明托槽矫正 | 10846-27992 |
| 透明隐形矫正 | 10949-21480 |
| 隐形矫正 | 10953-20706 |
| 隐形牙套 | 10895-31863 |
| 牙齿拥挤矫正 | 10793-17958 |
| 地包天矫正 | 10757-22052 |
| 凸嘴矫正 | 10714-29514 |
| 金属托槽 | 10976-18148 |
| 半隐型矫正 | 10834-30009 |
| 陶瓷矫正 | 10708-21419 |
| 深覆颌 | 10784-29722 |
| 牙套 | 10921-26817 |
| 牙颌畸形 | 10785-24139 |
| 以上价格仅供参考,实际价格请预约医院面诊获取! | |
| 各地活动力度不同,价格有所不同,到院面诊为准! | |
小编提示:以上就是关于【2021广州前十家口腔医院人气榜单公布,附整牙价目表】的相关整形内容,想了解更多整形知识、医院、医生、整形价格等信息,可以点击【在线咨询】与侧妍整形网整形顾问一对一沟通,还可以联系整形顾问获取新的优惠信息哦!
最近更新
-
广州牙科医院前十名公布啦,这十家公立医院整牙实力强1.导言在中国,牙齿保健并没有引起足够的重视,以至于有些人一辈子都没有去过一次口腔诊所,更别说口腔检查了。随着新时代不断的发展,越来越多的人开始意识到牙齿的重要性。如一句老话所说:“一口好牙,一代风华。”牙齿不齐会严重影响我们的社交生活,通过以上多种常见畸形牙为我们的生活带来的不便,“明眸皓齿”、“唇红齿白”的美丽是我们的一个梦,让我们的生活更加美好。所以为了
-
2021广州前十家口腔医院人气榜单公布,附整牙价目表1.导言口腔健康就好像是人身体健康的一面镜子,反映了种种问题。口腔健康可以增加人的面部形象,可以尽情享受美味佳肴,口腔健康使人口齿清晰尽情表达自己的意愿,口腔健康不仅可以增强自信,在社会的舞台上充分展现自我,口腔健康还能避免及减少“病灶感染”,降低糖尿病、冠心病、胃病、新生儿低体重等病症的发生。但是当代年轻人的生活习惯并不是很好,所以很多人口腔问题很严重,为
-
2021广州十大最佳口腔医院名单发布 都有哪些牙科上榜1.导言牙齿美白是针对牙齿的形态、颜色、排列等异常,通过治疗、修复、正畸等不同口腔诊疗措施使牙齿恢复正常、美观形态的一门科学。由于牙齿美白能够有效的改善我们的整个面部形象从而直接、间接的改善其生活质量,因而也被称作是创造幸福的科学。所以随着整形美容的兴起,越来越多的人也会选择牙齿美容来改变自己,牙齿美容不仅可以改善我们的牙齿,还能提升个人形象,增加我们对生活的
-
广州正规的牙科三甲医院前十名做种植牙/矫正正畸必去的医院1.导言从大多数人审美观念来看,人体美,作为自然美的一部分,首先指的是容貌美,形体美和体态美,似乎所有人体美的形式都突出反映在容貌上,往往忽略了牙齿上的美,拥有一口好看的牙齿真的会让人眼前一亮,还能拉进人与人之间的距离,如果牙齿不美观,给他人留下的印象也是很不好的,所以牙齿美真的很重要。因此越来越多的人开始选择通过整形来美化自己的牙齿,小编也帮助大家整理了几家
-
广州整形医院排名榜发布 排名前十的都是出名的整容医院!1.导言生活中少不了和别人交流,但是每个人在交流的时候也会为对方留下很深的印象,所以拥有一个好的鼻子,也可以使面容变得更加精致,鼻部位于面部的正中央,鼻子挺立便可以使面部看上去特别立体,但却有一些人天生鼻梁不够美观,因此大家也会选择医美技术来改善自己的问题,这也可以使自己的魅力提升,现在的医美技术比较成熟,也有着较快的发展,不过在操作的时候需要到正规权威的机构
-
广东省十大口腔医院排名丨公立、私立任你挑选,实力都是杠杠的1.导言拥有迷人的笑容和洁白整齐的牙齿,简直是这个世界上最柔情似水的欣慰和鼓励了。相信大家在电视上看到爱豆们都比较关注,认为他们的笑容很有杀伤力,然而这无非是有一口洁白光亮的牙齿在加分。所以现实生活中很多人都会通过口腔整形来改善自己的牙齿不齐、发黄、缺损等问题,让自己也能够与爱豆一样更具感染力,随着广东的口腔行业普遍发展,有些人不知该如何正确选择靠谱的医院,接
-
广州整形医院排名前三的正规机构,公布最新排名前十知名整形医院1.导言随着时代的发展,很多的人封建传统思想也开始逐渐解封,当初大多数人不认同的整形美容现在也逐渐走进人们的日常生活当中,整形从此不再是明星网红的奢侈品,也慢慢成为普通人的日常便饭,其实整形并没有想的那么复杂,只要我们选择好了医院,一切都不再是问题。因此小编也帮助大家整理了广州几家还不错的整形医院,这些虽然都是私立整形医院,但是实力都还是很强的,在整形界都还是
-
广州口腔医院排名前十 广州广大口腔医院牙齿矫正价格表发布1.导言现在很多人不仅仅是因为脸型不好看,而是牙齿不好看导致自己不敢开口说话,有一副好看的牙齿真的能给他人留下深刻的好印象。还有一部分人是因为摄入了过多的甜食而产生了各种牙齿上的问题。为了解决大家的各种烦恼,小编也是煞费苦心帮助大家整理了广州几家不错的口腔医院,希望大家能够仔细的浏览一下,相信在深入了解之后你一定会找到适合自己的医院,然后最终解决自己的各种牙齿
-
广州美容整形医院排名_内附医院介绍+价格表1.导言为什么现在的人都愿意来通过微整形改变自己的容貌呢。小编认为有以下几个原因。整形时间短,恢复快,并且无痛无痕,可以悄悄的修饰自己的面部与身体的不足。就算是先天的一些缺陷,也可以轻易的通过微整形来改变。见效快,风险小。下面是几家小编精心挑选广州整形医院,都是在行业内小有名气的比较权威的整形医院,值得信赖。快来看看吧。2.广州前十名整形医院介绍NO.1中山大学附属
-
广州医院排行榜|这十所医院你不能错过 记得收藏哦1.导言2.广州前十名整形医院介绍NO.1佛山市第二人民医院美容整形中心1978年,佛山市人民医院更名为“佛山市第一人民医院”。更名为“佛山市第二人民医院”。百年沧桑,薪火相传。从小小跌打诊所,到现在学科门类齐全、技术力量雄厚、特色专科突出、诊疗设备先进、科研实力较强的市直公立医院,今天,佛山市第二人民医院已成长成为一所集医疗、教学和科研于一体的现代化综合三级甲等公立医

