温馨提示:整形有风险,决策需谨慎!
在牙齿生长的过程中会出现很多的困扰,比如牙齿从乳牙变化成恒牙时,可能乳牙并未脱落,就长出新的恒牙,出现牙齿多长了一颗在里面的现象,此情况不仅丑陋还影响健康。那么牙齿多长了一颗在里面怎么办?

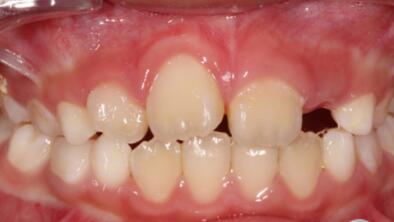
牙齿多长了一颗在里边,属于多生牙。这种情况应该及时去医院进行的口腔检查,进一步进行全口曲面平展检查,了解具体多深牙齿在颌骨内的位置。如果多生牙,埋伏在颌骨内比较深,不与周围邻近的牙齿所接触,平时也没有出现一些肿胀的症状,则随时可以观察。但如果多生牙与邻近的牙齿有密切的关系,而且牙根有吸收的症状,还会出现一些疼痛的情况,此时需要进行手术拔除,以免牙根继续吸收,出现牙齿严重脱落的现象。
1.多生牙
多生牙一般是在换牙的期间,此时乳牙和恒牙都还存在。所以在换牙的过程中应该随时观察牙齿的生长情况,尤其是牙齿的数目。一旦出现问题以及多颗牙齿生长时,就应该及时给予相应的处理,避免加重。
2.智齿
智齿其实是指口腔内,在牙槽骨中里面的第3颗磨牙,一般它出现的时间会比较晚。有时候在萌芽的过程中,由于间隙不足就会出现,牙齿多长一颗在里面的现象。
预防多生牙首先是在小孩时期换牙期间注意口腔清洁,保持良好的生活习惯,减少孩子吸允手指、吐舌头等习惯,随时观察牙齿的生长数量,在数量较多时,或者出现异常,都应该及时去医院咨询,必要时拔除多余牙齿。
MRC肌功能矫治,即通过对口腔内肌肉等软组织的控制和不良口腔习惯的矫正,提前进行牙齿整齐度的管理和干预,让有可能长歪或正在长歪的牙齿能够自发地走上正轨,达到每个孩子生长发育......
查看详细百科>>