杭州口腔种植牙医院排名|美奥口腔种植牙怎么样?附价格表
近来有很多人咨询杭州口腔种植牙医院排名,对于杭州能做种植牙的医院比较好奇。俗话说小洞不补,大洞吃苦,这句话真的是特别的有道理,这是因为很多人在口腔最开始出现问题的时候并不是特别的注重,随着时间的逐渐推移,导致自己的口腔问题越来越严重,甚至严重的影响到了自己的身体健康,以及正常的进食。所以说,当我们的口腔出现问题的时候,一定要去一些正规的医院来进行改善,那么在杭州这座城市就有着非常多正规的口腔医院,值得我们来进行选择,但是很多人因为不了解医院的具体情况,所以没有办法轻易的做出选择,那么小编今天就来给大家进行一下总结,让大家看一下杭州口腔种植牙医院排名,这些医院里有哪些正规的医院比较值得选择。

一、杭州口腔种植牙医院排名
1、浙江大学医学院附属口腔医院
浙江大学医学院附属口腔医院是在浙江当地特别知名的一个口腔专科医院,同时也是三甲级医院,他的具体位置位于浙江省杭州市下城区武林街道延安路395号。医院的综合实力是毋庸置疑的,它的口腔科是更是在医院的大力帮助之下发展的,特别的迅速美颜都会花费重金从国际上进先进的医疗设备,而且也会聘请特别多知名的医生来到医院进行作者为我们提供专业化的医疗服务。这家医院的整体环境是特别的舒适的,我们能够在比较温馨的过程中,就使自己的口腔完成美丽的蜕变。

2、杭州市第一人民医院
杭州市第一人民医院是经过卫生局部门严格审后批准成立的三甲级医院,也是当地的医保定点单位医院的具体位置,位于浙江省杭州市上城区莞沙路261号。这家医院是一个综合型的医院,开展的科室特别的多,对于口腔这样的热门科室,自然也有着专业的口腔科室,为我们提供专业化的医疗服务。医院对于自己的医疗技术是特别的注重的,经常会派遣医生前往国内外知名医院学习先进的医疗技术,来使最终做出来的效果更加的良好一些。

3、杭州美奥口腔医院
杭州口腔医院也是经过卫生局部门批准成立的一家高级口腔医疗连锁机构,并且目前医院在杭州是有着两家分院的,分布狮子啊西湖区和江干区。这个医院是一个口腔的专科,医院在多年的发展之中形成的口碑特别的良好,已经完成了上万例的口腔治疗,为当地的口腔问题患者提供了专业化的医疗服务。虽然说这家医院是民营医院,但是它的价格方面还是会比较实惠的,并且医院的口腔医疗技术扎实,医院内也有很多的专家坐诊,对于种植牙,牙齿矫正放马都有着不错的技术,已经受到了杭州人民的一致认可。

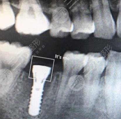
二、杭州美奥口腔医院种植牙案例分享
我的牙齿是因为一次过年吃甘蔗的时候不小心给搞掉了的,后来一直也没有补它,但是近来因为没有管它,导致有食物残留进入了牙缝使得牙齿发炎的了,到了医院进行检查后,医生告诉建议我做种植牙,把这颗牙补上,如果不补的话,对于牙齿是很不好的,所以我就决定了做种植牙手术。

整个手术的过程是比较久的,因为中间有一个恢复的过程,比较麻烦的就是种植体的安装,这个过了后面就好了很多,现在我的牙齿已经种好了,这颗牙和之前的牙差别也不是很大,并且用起来也是非常舒服的,没有什么不适的感觉,整体是很棒的。

三、杭州美奥口腔医院价格表
| 杭州美奥口腔医院价格表 | ||||
| 项目 | 近期高价 | 近期低价 | 年度均价 | 可参考价格 |
| 牙齿瓷贴面 | 10591 | 1652 | 6121 | 6026 |
| 烤瓷牙补牙 | 14870 | 1884 | 8377 | 9109 |
| 美容冠 | 3470 | 1089 | 2279 | 2163 |
| 龅牙矫正 | 11996 | 4594 | 8295 | 8551 |
| 地包牙矫正 | 11647 | 4389 | 8018 | 6944 |
| 虎牙矫正 | 10921 | 2681 | 6801 | 6717 |
| 牙齿不齐 | 23206 | 4805 | 14005 | 12065 |
| 牙齿稀疏 | 20266 | 4810 | 12538 | 14401 |
| 牙齿拥挤 | 21368 | 5733 | 13550 | 15084 |
| 隐适美 | 96729 | 7751 | 52240 | 53805 |
| 隐形正畸 | 92895 | 7140 | 50017 | 43628 |
| 补牙 | 10820 | 972 | 5896 | 5946 |
| 镶牙 | 10578 | 1472 | 6025 | 5633 |
| 牙齿缺损修复 | 11295 | 1171 | 6233 | 6123 |
| 超声波洁牙 | 2379 | 417 | 1398 | 1384 |
| 洗牙 | 2143 | 364 | 1253 | 1236 |
| 牙齿冷光美白 | 2088 | 497 | 1292 | 1195 |
| 半口牙种植 | 14256 | 5507 | 9881 | 10036 |
| 单颗牙种植 | 2776 | 1279 | 2027 | 1945 |
| 多颗牙种植 | 17945 | 2642 | 10293 | 11501 |
| 全口牙种植 | 61435 | 7558 | 34496 | 37569 |
| 种植牙 | 19377 | 1816 | 10596 | 11316 |
| 以上价格仅供参考,实际价格请到医院面诊获取! | ||||
三元整形网温馨提示:未满18周岁的青少年不宜做整形手术!
以上关于【杭州口腔种植牙医院排名|美奥口腔种植牙怎么样?附价格表】的内容只是一个大概,想了解更多整形知识、价格信息,可以点击 【在线咨询】一对一沟通
文章阅读排行榜
- 1嘉兴曙光整形医院好不好?地址|营业时间|价格表|案例美图鉴赏!
- 2哈尔滨赛弗口腔怎么样?附医生简介+医院齿科项目价格表
- 3浙江整形医院排名前三的名单揭晓,都是当地高人气机构!
- 4八大处整形医生名单,高人气专家介绍&赵延勇鼻子案例:魅力值飙升!
- 5东莞仁华口腔医院怎么样?是正规的吗?附隐形矫正案例+价格表
- 6北京加减美医疗美容正规吗?怎么样?附地址&热门医生&双眼皮案例
- 7成都排名前五的整容医院测评:华西整形科、玉之光等都在列
- 8南京美贝尔医院口碑怎么样?黄名斗吸脂瘦身案例:甩掉20斤脂肪!
- 9全国拉皮手术哪里做的好?2021医院排名榜公布!附有名的医生&价格表!
- 10上海九院激光美容价目表2021更新啦~附医生介绍&激光祛斑案例
- 嘉兴曙光整形医院好不好?地址|营业时间|价格表|案例美图鉴赏!
- 哈尔滨赛弗口腔怎么样?附医生简介+医院齿科项目价格表
- 浙江整形医院排名前三的名单揭晓,都是当地高人气机构!
- 八大处整形医生名单,高人气专家介绍&赵延勇鼻子案例:魅力值飙升!
- 东莞仁华口腔医院怎么样?是正规的吗?附隐形矫正案例+价格表
- 北京加减美医疗美容正规吗?怎么样?附地址&热门医生&双眼皮案例
- 成都排名前五的整容医院测评:华西整形科、玉之光等都在列
- 南京美贝尔医院口碑怎么样?黄名斗吸脂瘦身案例:甩掉20斤脂肪!
- 全国拉皮手术哪里做的好?2021医院排名榜公布!附有名的医生&价格表!
- 上海九院激光美容价目表2021更新啦~附医生介绍&激光祛斑案例

