地包天是怎么造成的后果?地包天怎么改善?地包天矫正案例对比照
现在的社会对容貌的要求越来越高,有些人难免会有一些先天性或者后天性的生理缺陷,地包天就是这样一种疾病。那我们应该怎么去预防和治疗地包天呢?接下来就聊一聊地包天是什么,以及关于它形成出现的原因,并给大家讲解几种治疗解决的方法。地包天是怎么造成的后果?地包天怎么改善?地包天矫正案例对比照

一、地包天是怎么造成的后果?
简而言之,就是下颌要比上颌大,要更加的突出更加的倾斜。下牙齿会包住上唇,直接妨碍了上颌的牙齿还有骨骼的生长发育,对人的整个面部都造成影响。而它形成的原因也有很多,可能是因为家庭遗传的影响,会导致生下来的儿童会有地包天的情况。也 与先天性疾病有密切的关系,更多的是儿童时期不健康、不正常的饮食习惯,还有婴幼儿时期的错误的喂养方式,这些都可能导致人们出现“地包天。”

1.对与婴幼儿期的幼童,要采取正确的哺乳姿势,切莫随性,不然会因为幼童从小养成错误的习惯而导致“地包天。”
2.如果扁桃体发炎,要尽快治疗,避免肿大。如果治疗不及时,影响呼吸顺畅,会因为不良的呼吸习惯导致下颌外凸,导致“地包天。”
3.要注意避免儿童吮吸手指的不良习惯,会使下颌外翻,下颌不正常甚至畸形发育,导致“地包天。”

1.牙齿的矫正是一项改善的重要方法。传统的“钢牙”牙套就可以有效的改善这个问题。这个需要医生按一定的松紧程度来引导牙齿的走向,不断的缩紧,来调整牙齿的位置,最后达到矫正的目的,并且还需要在完成矫正后坚持一定时间来戴保持器,避免再次出现相关症状。

2.矫正对根深蒂固的“地包天”并没有很明显的效果,所以对于严重的群体,牙齿的矫正只是初步的计划。接下来还需要进行口内入径的下颌骨升枝斜形劈开截骨术才能更明显的更加完善的治疗。但是也不是所有的群体都适合进行手术,所以一定要仔细询问医生相关事宜,问清楚自身情况是否适合接受手术,可以去多个医院对比询问,了解清楚医院的设备,治疗水平,以及报价多少。提前询问医生需要的准备工作,需要准备的材料等,然后积极配合医生出一份适合自己的治疗方案并且积极配合医生参与治疗。

3.可以从改善生活习惯做起,很多人的地包天是因为不规范的饮食习惯与生活习惯造成的,所以从习惯上做起是非常必要的。要培养正确的生活习惯,避免生活习惯更加加重地包天的现象。从儿童做起,很多人的地包天是从儿童时期就已经出现了,所以对于儿童就更应该多加关注。儿童时期的地包天也更容易得到治疗与改善,因为儿童时期尚未发育完全,在儿童的牙齿生长期,一旦发现问题,就可以及时的去治疗。

大家为了防治,一定要认真对待生活,养成良好的生活习惯,为了自己的容貌,一定要慎重对待哦!身体是革命的本钱,样貌是人的根本,在这个样貌十分重要的时代,大家一定要注意保护自己的样貌和身体,养成良好的习惯。
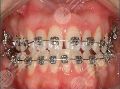
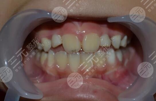
四、地包天矫正案例对比照
主要诉求:地包天矫正
检查:骨性类,前牙反,凹面型,下颌向右偏,阻生智齿,前牙可缩至对侧边缘。
病例分析:本病例最好的治疗方法是正畸正颌治疗,患者不想做手术,所以只有正畸治疗、智齿拔除、颌间牵引的下颌后缩。改善面部轮廓和下颌右偏。
矫正方法:拔除智齿,矫正时间2.5年,结合MEAW牵引,下颌后缩,内翻及面部形态改善。


三元整形网温馨提示:未满18周岁的青少年不宜做整形手术!
以上关于【地包天是怎么造成的后果?地包天怎么改善?地包天矫正案例对比照】的内容只是一个大概,想了解更多整形知识、价格信息,可以点击 【在线咨询】一对一沟通

