牙齿矫正手术
牙齿矫正手术参数
整形网友评分
- 无忧爱美网友综合评分: 9.2分
-
- 1、使面部表情优美,增加自信心。
- 2、适应范围比较广。适应范围比较广。
- 3、调整颜面骨、牙齿、颌面神经肌肉之间的平衡。
-
- 1、会在一定时间影响美观。
- 2、对吃饭引起不便,会卡到饭菜。
- 3、需要定期复诊,占用时间。
编辑本段牙齿矫正手术
牙齿矫正手术是通过正畸或外科手术等方法治疗错颌畸形,错颌畸形是指儿童生长发育过程中,由先天因素或后天因素导致的牙齿、颌骨、颅面的畸形,错颌畸形与龋齿、牙周病一起被列为口腔三大常见病,其患病率高达人口的50%以上。
它通过各种矫正装置来调整颜面骨、牙齿、颌面神经肌肉三者之间的平衡和协调。就是说矫正是调整上下颌骨之间,上下牙齿之间、牙齿与颌骨之间和联系它们的神经肌肉之间不正常的关系。我们的矫正目的形象地说主要是:改善面型;排齐牙齿;提高咀嚼效能(牙齿的最基本功能)。
编辑本段牙齿矫正手术等级
根据修改后的中华人民共和国卫生部令(第19号)—— 《医疗美容服务管理办法》第二条有关规定,牙齿矫正手术属于美容牙科项目的牙齿美容修复技术,属于医疗美容性质,应该在正规的医疗美容医院或开设医疗美容科的正规医院实施。
编辑本段牙齿矫正手术过程
制定矫正方案。询价(陶瓷牙套即透明的,钢的还分国产的和进口的)等相关事项。最好是多咨询几家,对比一下,一般来说正规的医院比较有质量保证,如果经济条件许可,可选择透明的(透明指的是粘在牙齿上的托槽,但是上面的钢丝近看还是可以看见的)。
拍X光牙齿及头部骨头照片。目的是为了看你的牙齿及骨骼发展方向等。以利于以后制定准确的矫正方法。
用一种快速定型的胶剂放到你牙齿,咬1—2分钟就可以取出,成为你的牙齿的模型。备用,也是为了以后矫正对比方便。
医生在矫正之间给你拍各角度的牙齿照片,备用,也是为了日后对比。
按照医生制定的方案,分批次的拔完牙,一般的人大概需要拔4个左右牙齿,部分特殊的,比如智齿多的,牙齿过于密集的也有拔8个左右。(有的人则不需要拔,仅磨牙就可以了)这个之间如果有蛀牙什么的就会先补好,有牙结石的也会先洗牙。
有的分牙是在拔牙时候同时进行的,有的则是在拔牙后进行,用分牙圈套在上下左右的大牙之间,一般需要分1个礼拜左右。目的是为了使牙齿移出一点空隙,好在戴牙套的时候能够放进固定牙套的钢圈。分牙一般来说会有点酸软无力,上下牙齿碰到会有点痛哦!
分牙完一般就可以直接上牙套了。(刚上牙套有点磨嘴,第一个星期可能会有点酸软,以后就好了。如果有口腔溃疡,可以晚上睡觉前喷桂林西瓜霜,补充点维生素B、锌等。
一般是一个月复诊一次。具体时间医生会与你商量。(复诊一般情况就是给你加力,好让牙齿快点移动。所以复诊的第一个星期,可能会有点酸软,以后就好了。)
一般来说,牙齿的排齐会因本身的牙齿移动快慢和医生的技术各方面因素而不同。一般1个月左右就会看的出来一些变化,而6个月左右就基本会排齐了。排齐以后就是收牙缝,收拔牙的缝隙,就需要皮筋的帮忙。皮筋在吃饭的时候是要摘下来。据说皮筋的效果是非常神奇的。
收牙缝的时候也是就调中线的时候,等牙缝收好了,中线也基本对称了,中线对称脸就对称,笑起来就好看了!(有的人可能本身牙齿缺失不对称,所以中线并不会完全整齐,但是只要不是很歪就不影响美观)但这个时候还不忙着摘牙套,牙齿要再稍微定型一段时间!
最激动人心的时刻到了!为了更加完美,你可以去洗个牙或者做个美白。让自己更加自信,神采飞扬。
可别以为摘了牙套就大功告成了。对于我们成年人整牙,更是要注意保持定型。所以保持器是非戴不可的。一般来说,保持器都是前半年24小时戴,以后就晚上戴。(吃饭可摘下,注意清洁)为了你所受的这些苦别白费了。不坚持戴保持器是会反弹的,所以一定要坚持!
编辑本段牙齿矫正手术适应症
1、牙齿拥挤求美者:表现为牙齿里出外进,不美观,不易清洁,易患龋齿,易形成牙结石,导致牙周疾病。
2、前牙反颌又称/地包“兜”,表现为下牙咬合在上牙的外面,有些人仅仅牙齿反颌;有些人不仅牙齿反颌,面部骨骼也畸形,称为骨性反颌,表现为上颌骨发育不足--后缩,下颌骨发育过度--前突,造成面中部凹陷,侧貌为新月形,影响美观和功能。
3、牙间隙求美者,表现为牙齿之间缝隙多。
4、深覆盖:又称“暴牙”,有的仅仅表现为上前牙前突或下前牙里倒;有的则是骨骼畸形。这些人当中有的上前牙和上牙床过分向前突出,而下巴颏却缩在上嘴唇的后面,或者根本就没有下巴颏的形态。
5、双颌前突,或上下前牙前突,造成唇部前突,嘴唇用力才能闭上,开唇露齿的求美者。
6、锁颌:牙齿无咬合功能的求美者。
7、后牙反颌、锁颌:影响牙齿咬合功能,长期可能导致上下颌骨偏歪畸形。
编辑本段牙齿矫正手术注意事项
1、要去正规医院,做正规治疗,千万不要相信什么牙科诊所,虽然贵点,但是效果好,能有保障。
2、你在做牙齿矫正的时候,如果医生说你的牙齿缝隙太小,要把牙齿磨小一点,再做矫正,你千万千万别磨,因为牙齿外面有一层保护膜,你磨小牙齿的同时,会把保护膜磨掉,以后无论怎样保护,都会很容易得龋齿,尤其是做矫正,是前排牙齿,不象后槽牙,补了看不出来,前面的牙齿一旦得了龋齿,补都很难补。
3、牙套带好后,每次吃好饭后牙齿都会卡很多饭菜,就算漱口也很难弄干净,矫正前需考虑清楚。
编辑本段牙齿矫正手术对脸形的影响
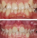
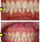
大部分矫正的病例,其牙齿移动的范围都是前后方向,所以脸部侧面的外观改变最大。例如暴牙的病例,嘴唇因为门齿往后移动会变得较容易闭牢,而门齿也就不容易外露,所以,无论从侧面或者是从正面来看,脸型都会比较好看。
因为牵涉到以后的稳定度,一般矫正牙齿对牙弓宽度改变都不大。纵然在部分青少年病例,可能会采取快速上颚扩张术把过窄的上颌牙弓矫治,但对脸部宽窄应该不会有太大影响。
生长发育期的病人由于生长引起的脸型变化是医生无法控制的,成年求美者的脸型变化有可能是矫治期间进食不方便、疼痛、心理压力及其他生活习惯的改变使人体变廋,引起脸型的改变(因为临床上未成年人发生脸型变瘦的几乎没有,因为他们矫治过程中的心理压力比成年人小得多),其根本原因还不清楚,是正畸界的学术难点之一。
编辑本段牙齿矫正手术的术后护理
在人体口腔中有正常的寄生菌,空气中也有大量的微生物存在,口腔经常与外界“接触”。因此,口腔内有很多正常的致病细菌存在。当牙齿戴上矫正器后,则会妨碍刷牙。如果牙齿刷得不好,牙齿间残留有食物,则细菌大量繁殖,会造成龋齿或牙周组织炎症,破坏整个疗程。
每天吃的食物也要注意。啃或磕的东西不能吃,肉类等须用刀切或用手撕成小块肉或去壳后再吃,不能用牙齿直接啃或撕拉;不能吃过粘的食物。另外,像年糕等糯米制品也不能吃。如果进食时,不加注意就会造成矫正器的脱落或损坏,不但增加治疗费用和复诊次数,还会使牙齿矫正疗程延长。
牙齿正畸治疗需要不断加力调整,因此需要病人按照医嘱定期到医院复诊,调整矫治力度达到最佳的矫治效果。

























