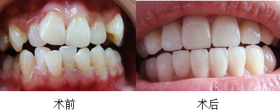
术前术后
项目档案
技术手段:手术
是否住院:否
术后休整:一次或多次
适宜人群:对牙齿不理想者
治疗效果: 牙列稀疏矫正术专业性较高
牙齿矫正的方法较多,应争取早期治疗,并根据实际情况选用,对于未成年人,尽量选择矫正器的方式加以矫正,对于成人来说可以采用牙齿正畸、牙齿修复美容单一或联合矫正,使牙颌畸形恢复正常或接近正常水平。临床中,常见的牙齿畸形包括牙列拥挤、牙列稀疏、牙列不齐、虎牙矫正及隐形矫正等,而常用的方法包括隐形正畸、美容冠等。牙齿矫正的手术费用大概在数千至数万元之间不等,根据需求进行一次甚至多次治疗,术后效果一般较为理想。




友情链接



