1.厦门思明峰煜口腔门诊部王春林
厦门思明峰煜口腔门诊部王春林整形怎么样?小编将给大家介绍一下厦门思明峰煜口腔门诊部王春林擅长的整形项目和厦门思明峰煜口腔门诊部王春林基本介绍,希望大家对厦门思明峰煜口腔门诊部王春林整形有所了解,并附上全新的厦门思明峰煜口腔门诊部王春林整形价目表,如果大家对整形有需求,可以咨询页面的在线顾问,给你推荐厦门思明峰煜口腔门诊部王春林全新的价格表和厦门思明峰煜口腔门诊部王春林医生预约信息。
2.厦门思明峰煜口腔门诊部王春林介绍
王春林 主治医师
擅长:牙齿隐形矫正、自锁陶瓷托槽矫正、青少年矫正、儿童口腔矫正、牙齿缺失美容修复等
编辑:周佳佳
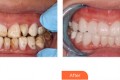
3.厦门思明峰煜口腔门诊部王春林案例展示
犹豫了几年,没有勇气带牙套,等待高科技的出现~所以我去咨询了几次,简单的向大家解释了一下,以供参考。普通的牙套是人们熟悉的钢牙。稍微好一点的是用陶瓷块代替钢块,这相当于只看到拱门。保守估计时间为两年半。自锁与普通自锁相似,即速度快,分为金属和陶瓷两种。价格比普通的高几千,时间大约是一年半。隐形背带很漂亮,可以摘下来。它在清洁和保护牙齿方面起着好的作用。从模型中可以看出牙齿的设计方向。这鼓舞人心。此外,随访时间间隔长,方便。大约是一年半左右。正颌外科是戴牙套来调整牙齿的程度,手术可以进行大约一年,然后手术,然后牙套半年。这可以完全改善牙齿问题,但手术。如果你真的受苦,你可以去找正颌日记。你牙齿的下排很拥挤。我对自己的脸型也不太满意。主要原因是我侧脸不好看。我去了整形医院咨询。医生说我的下巴缩了回去,我的侧脸看起来没有倾斜。此外,我还有各种盐。你碰到了透明质酸(这是题外话,哈)。与整容手术相比,我更喜欢做正畸来改变我的脸型。正牙学只是需要时间慢慢改变。因为牙齿不规则,调整后,侧面和下巴会看起来更好。一些朋友说,怀孕前拔掉智齿,以免怀孕期间发炎。它几乎和引言一样。好发一张照片给大家看。我完成后,我会拍些照片给你看,并给你一些参考。
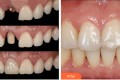
戴牙套的时候,我还是有点兴奋~戴牙套的时候,我的嘴很酸,我需要长时间张开嘴,大约半个小时左右。当然,中间的医生会给你休息,而不是半个小时。在这个过程中,有一点点疼痛,但不是很痛。戴上它后,牙齿感觉很痒,有点像小时候,我在长牙齿,想咬硬东西。医生给了我一根磨牙棒。咬它的感觉真好,立刻缓解了瘙痒。我喜欢我的牙套。它们漂亮。它们比金属支架高得多。拍照时,镜头离我很远,我根本看不到我戴着牙套。漂亮又好的果,就像~ ~如果有经济条件,我推荐隐形的。
4.厦门思明峰煜口腔门诊部王春林整形价格表
| 整形项目价格表 | |||||
| 整形项目 | 高价 | 低价 | 均价 | 当日 | 升降 |
| 美容冠 | 3706 | 1242 | 2474 | 2701 | ↑9% |
| 龅牙矫正 | 12774 | 4501 | 8637 | 7571 | ↓-12% |
| 地包牙矫正 | 11630 | 4219 | 7924 | 7554 | ↓-4% |
| 虎牙矫正 | 12818 | 2668 | 7743 | 6776 | ↓-12% |
| 牙齿不齐 | 10618 | 1068 | 5843 | 6322 | ↑8% |
| 牙齿稀疏 | 11485 | 1264 | 6374 | 6370 | ↑0% |
| 牙齿拥挤 | 22559 | 5950 | 14254 | 14251 | ↑0% |
| 隐适美 | 100051 | 7497 | 53774 | 58628 | ↑9% |
| 隐形正畸 | 91555 | 8376 | 49965 | 49324 | ↓-1% |
| 金属托槽矫正 | 83671 | 8336 | 46003 | 54769 | ↑19% |
| 自锁托槽矫正 | 93897 | 8730 | 51313 | 56654 | ↑10% |
| 透明托槽矫正 | 81920 | 8613 | 45266 | 48609 | ↑7% |
| 透明隐形矫正 | 87188 | 8879 | 48033 | 42805 | ↓-10% |
| 隐形矫正 | 97897 | 9914 | 53905 | 46728 | ↓-13% |
| 隐形牙套 | 98871 | 9973 | 54422 | 51659 | ↓-5% |
| 牙齿拥挤矫正 | 86304 | 9705 | 48004 | 55072 | ↑14% |
| 地包天矫正 | 85288 | 8197 | 46742 | 42901 | ↓-8% |
| 凸嘴矫正 | 89265 | 9696 | 49480 | 42158 | ↓-14% |
| 金属托槽 | 100276 | 8873 | 54574 | 57008 | ↑4% |
| 半隐型矫正 | 86962 | 7276 | 47119 | 52103 | ↑10% |
| 陶瓷矫正 | 100801 | 7205 | 54003 | 50622 | ↓-6% |
| 深覆颌 | 89704 | 9487 | 49595 | 48079 | ↓-3% |
| 牙套 | 80736 | 8540 | 44638 | 48621 | ↑8% |
| 牙颌畸形 | 80042 | 9224 | 44633 | 44075 | ↓-1% |
| 补牙 | 12979 | 973 | 6976 | 6634 | ↓-4% |
| 镶牙 | 12684 | 1569 | 7126 | 7151 | ↑0% |
| 牙齿缺损修复 | 10880 | 1117 | 5998 | 6283 | ↑4% |
| 坏牙 | 10576 | 1250 | 5913 | 5467 | ↓-7% |
| 蛀牙 | 12449 | 1309 | 6879 | 7524 | ↑9% |
| 拔智齿 | 12726 | 1133 | 6929 | 6595 | ↓-4% |
| 牙齿综合 | 12932 | 1478 | 7205 | 6665 | ↓-7% |
| 根管治疗 | 12418 | 1182 | 6800 | 6841 | ↑0% |
| 牙周护理 | 10958 | 1373 | 6165 | 6239 | ↑1% |
| 牙渍 | 10181 | 1248 | 5714 | 5784 | ↑1% |
| 阻生牙 | 12908 | 1460 | 7184 | 7262 | ↑1% |
| 隐裂牙 | 10752 | 1124 | 5938 | 5878 | ↓-1% |
| 多生牙 | 11201 | 1357 | 6279 | 6584 | ↑4% |
| 磨牙 | 12535 | 1239 | 6887 | 7486 | ↑8% |
| 塞牙 | 11258 | 1295 | 6276 | 6591 | ↑5% |
| 牙缝变大 | 11816 | 1281 | 6548 | 6757 | ↑3% |
| 龋齿 | 11667 | 1398 | 6532 | 6710 | ↑2% |
| 牙齿断裂 | 12549 | 1455 | 7002 | 6921 | ↓-1% |
| 虫牙 | 11701 | 1243 | 6472 | 6810 | ↑5% |
| 牙洞 | 10022 | 1495 | 5758 | 6129 | ↑6% |
| 树脂补牙 | 12751 | 1298 | 7024 | 7433 | ↑5% |
| 浅龋 | 10243 | 1098 | 5670 | 5151 | ↓-9% |
| 中龋 | 12290 | 1300 | 6795 | 6717 | ↓-1% |
| 深龋 | 10550 | 1185 | 5867 | 5617 | ↓-4% |
| 3M树脂补牙 | 12184 | 1155 | 6669 | 6945 | ↑4% |
| 烂牙 | 10723 | 1494 | 6108 | 5878 | ↓-3% |
| 牙齿龋坏 | 10040 | 1341 | 5690 | 6109 | ↑7% |
| 微创根管 | 12735 | 1177 | 6956 | 7258 | ↑4% |
| 牙痛 | 11019 | 1377 | 6198 | 5930 | ↓-4% |
| 牙磨损 | 10986 | 1269 | 6127 | 5871 | ↓-4% |
| 牙脱位 | 12640 | 1189 | 6914 | 6510 | ↓-5% |
| 牙齿外伤 | 12960 | 1095 | 7027 | 6731 | ↓-4% |
| 超声波洁牙 | 2217 | 414 | 1315 | 1196 | ↓-9% |
| 咖啡牙美白 | 2337 | 459 | 1398 | 1324 | ↓-5% |
| 喷砂洁牙 | 2030 | 388 | 1209 | 1321 | ↑9% |
| 色素牙美白 | 8025 | 458 | 4241 | 3990 | ↓-5% |
| 四环素牙美白 | 7284 | 490 | 3887 | 3668 | ↓-5% |
| 洗牙 | 2397 | 376 | 1386 | 1283 | ↓-7% |
| 牙齿冷光美白 | 2287 | 448 | 1367 | 1358 | ↑0% |
| 牙齿抛光 | 1561 | 377 | 969 | 1027 | ↑5% |
| 牙齿漂白 | 2206 | 405 | 1305 | 1351 | ↑3% |
| 烟渍牙美白 | 2247 | 426 | 1336 | 1380 | ↑3% |
| 冷光美白 | 2305 | 455 | 1380 | 1299 | ↓-5% |
| 皓齿美白 | 2139 | 461 | 1300 | 1183 | ↓-9% |
| 牙黄变白 | 2089 | 485 | 1287 | 1190 | ↓-7% |
| 氟斑牙美白 | 2323 | 481 | 1402 | 1314 | ↓-6% |
| 变色牙美白 | 2280 | 401 | 1340 | 1447 | ↑7% |
| 黑牙美白 | 2185 | 423 | 1304 | 1405 | ↑7% |
| 茶渍牙美白 | 2377 | 436 | 1406 | 1436 | ↑2% |
| 牙美白 | 2282 | 484 | 1383 | 1468 | ↑6% |
| 半口牙种植 | 147341 | 55571 | 101456 | 96184 | ↓-5% |
| 单颗牙种植 | 25169 | 11894 | 18531 | 20173 | ↑8% |
| 多颗牙种植 | 175883 | 29853 | 102868 | 108330 | ↑5% |
| 后牙种植 | 52709 | 15104 | 33906 | 30871 | ↓-8% |
| 前牙种植 | 30201 | 7704 | 18952 | 18102 | ↓-4% |
| 全口牙种植 | 324270 | 80872 | 202571 | 168665 | ↓-16% |
| 种植牙/颗 | 18781 | 7765 | 13273 | 14020 | ↑5% |
| 瑞士ITI种植牙/颗 | 15318 | 8904 | 12111 | 11489 | ↓-5% |
| 美国3I种植牙/颗 | 16945 | 8685 | 12815 | 12007 | ↓-6% |
| 德国费亚丹种植牙/颗 | 16188 | 9901 | 13044 | 14060 | ↑7% |
| 瑞典诺贝尔种植牙/颗 | 19028 | 9526 | 14277 | 14703 | ↑2% |
| 德国贝格种植牙/颗 | 15922 | 8179 | 12050 | 12464 | ↑3% |
| 美国百康种植牙/颗 | 15811 | 8065 | 11938 | 11334 | ↓-5% |
| 瑞典诺贝尔种植/颗 | 16639 | 9474 | 13056 | 12867 | ↓-1% |
| ITI瑞锆种植牙/颗 | 17696 | 9580 | 13638 | 13501 | ↓-1% |
| 奥齿泰种植牙/颗 | 19327 | 8131 | 13729 | 13120 | ↓-4% |
| 韩国登特斯种植牙/颗 | 17315 | 8294 | 12804 | 11826 | ↓-7% |
| 韩国奥齿泰种植牙/颗 | 19350 | 9858 | 14604 | 13696 | ↓-6% |
| 韩国登腾种植牙/颗 | 16392 | 8345 | 12368 | 12668 | ↑2% |
| 进口种植牙/颗 | 16169 | 8715 | 12442 | 13401 | ↑7% |
| 国产种植牙 | 14899 | 5247 | 10073 | 10637 | ↑5% |
| 以上价格仅供参考,实际价格请预约医院面诊获取! | |||||
| 整形项目价格表 | |||||
| 整形项目 | 高价 | 低价 | 均价 | 当日 | 升降 |
| 美容冠 | 3706 | 1242 | 2474 | 2701 | ↑9% |
| 龅牙矫正 | 12774 | 4501 | 8637 | 7571 | ↓-12% |
| 地包牙矫正 | 11630 | 4219 | 7924 | 7554 | ↓-4% |
| 虎牙矫正 | 12818 | 2668 | 7743 | 6776 | ↓-12% |
| 牙齿不齐 | 10618 | 1068 | 5843 | 6322 | ↑8% |
| 牙齿稀疏 | 11485 | 1264 | 6374 | 6370 | ↑0% |
| 牙齿拥挤 | 22559 | 5950 | 14254 | 14251 | ↑0% |
| 隐适美 | 100051 | 7497 | 53774 | 58628 | ↑9% |
| 隐形正畸 | 91555 | 8376 | 49965 | 49324 | ↓-1% |
| 金属托槽矫正 | 83671 | 8336 | 46003 | 54769 | ↑19% |
| 自锁托槽矫正 | 93897 | 8730 | 51313 | 56654 | ↑10% |
| 透明托槽矫正 | 81920 | 8613 | 45266 | 48609 | ↑7% |
| 透明隐形矫正 | 87188 | 8879 | 48033 | 42805 | ↓-10% |
| 隐形矫正 | 97897 | 9914 | 53905 | 46728 | ↓-13% |
| 隐形牙套 | 98871 | 9973 | 54422 | 51659 | ↓-5% |
| 牙齿拥挤矫正 | 86304 | 9705 | 48004 | 55072 | ↑14% |
| 地包天矫正 | 85288 | 8197 | 46742 | 42901 | ↓-8% |
| 凸嘴矫正 | 89265 | 9696 | 49480 | 42158 | ↓-14% |
| 金属托槽 | 100276 | 8873 | 54574 | 57008 | ↑4% |
| 半隐型矫正 | 86962 | 7276 | 47119 | 52103 | ↑10% |
| 陶瓷矫正 | 100801 | 7205 | 54003 | 50622 | ↓-6% |
| 深覆颌 | 89704 | 9487 | 49595 | 48079 | ↓-3% |
| 牙套 | 80736 | 8540 | 44638 | 48621 | ↑8% |
| 牙颌畸形 | 80042 | 9224 | 44633 | 44075 | ↓-1% |
| 补牙 | 12979 | 973 | 6976 | 6634 | ↓-4% |
| 镶牙 | 12684 | 1569 | 7126 | 7151 | ↑0% |
| 牙齿缺损修复 | 10880 | 1117 | 5998 | 6283 | ↑4% |
| 坏牙 | 10576 | 1250 | 5913 | 5467 | ↓-7% |
| 蛀牙 | 12449 | 1309 | 6879 | 7524 | ↑9% |
| 拔智齿 | 12726 | 1133 | 6929 | 6595 | ↓-4% |
| 牙齿综合 | 12932 | 1478 | 7205 | 6665 | ↓-7% |
| 根管治疗 | 12418 | 1182 | 6800 | 6841 | ↑0% |
| 牙周护理 | 10958 | 1373 | 6165 | 6239 | ↑1% |
| 牙渍 | 10181 | 1248 | 5714 | 5784 | ↑1% |
| 阻生牙 | 12908 | 1460 | 7184 | 7262 | ↑1% |
| 隐裂牙 | 10752 | 1124 | 5938 | 5878 | ↓-1% |
| 多生牙 | 11201 | 1357 | 6279 | 6584 | ↑4% |
| 磨牙 | 12535 | 1239 | 6887 | 7486 | ↑8% |
| 塞牙 | 11258 | 1295 | 6276 | 6591 | ↑5% |
| 牙缝变大 | 11816 | 1281 | 6548 | 6757 | ↑3% |
| 龋齿 | 11667 | 1398 | 6532 | 6710 | ↑2% |
| 牙齿断裂 | 12549 | 1455 | 7002 | 6921 | ↓-1% |
| 虫牙 | 11701 | 1243 | 6472 | 6810 | ↑5% |
| 牙洞 | 10022 | 1495 | 5758 | 6129 | ↑6% |
| 树脂补牙 | 12751 | 1298 | 7024 | 7433 | ↑5% |
| 浅龋 | 10243 | 1098 | 5670 | 5151 | ↓-9% |
| 中龋 | 12290 | 1300 | 6795 | 6717 | ↓-1% |
| 深龋 | 10550 | 1185 | 5867 | 5617 | ↓-4% |
| 3M树脂补牙 | 12184 | 1155 | 6669 | 6945 | ↑4% |
| 烂牙 | 10723 | 1494 | 6108 | 5878 | ↓-3% |
| 牙齿龋坏 | 10040 | 1341 | 5690 | 6109 | ↑7% |
| 微创根管 | 12735 | 1177 | 6956 | 7258 | ↑4% |
| 牙痛 | 11019 | 1377 | 6198 | 5930 | ↓-4% |
| 牙磨损 | 10986 | 1269 | 6127 | 5871 | ↓-4% |
| 牙脱位 | 12640 | 1189 | 6914 | 6510 | ↓-5% |
| 牙齿外伤 | 12960 | 1095 | 7027 | 6731 | ↓-4% |
| 超声波洁牙 | 2217 | 414 | 1315 | 1196 | ↓-9% |
| 咖啡牙美白 | 2337 | 459 | 1398 | 1324 | ↓-5% |
| 喷砂洁牙 | 2030 | 388 | 1209 | 1321 | ↑9% |
| 色素牙美白 | 8025 | 458 | 4241 | 3990 | ↓-5% |
| 四环素牙美白 | 7284 | 490 | 3887 | 3668 | ↓-5% |
| 洗牙 | 2397 | 376 | 1386 | 1283 | ↓-7% |
| 牙齿冷光美白 | 2287 | 448 | 1367 | 1358 | ↑0% |
| 牙齿抛光 | 1561 | 377 | 969 | 1027 | ↑5% |
| 牙齿漂白 | 2206 | 405 | 1305 | 1351 | ↑3% |
| 烟渍牙美白 | 2247 | 426 | 1336 | 1380 | ↑3% |
| 冷光美白 | 2305 | 455 | 1380 | 1299 | ↓-5% |
| 皓齿美白 | 2139 | 461 | 1300 | 1183 | ↓-9% |
| 牙黄变白 | 2089 | 485 | 1287 | 1190 | ↓-7% |
| 氟斑牙美白 | 2323 | 481 | 1402 | 1314 | ↓-6% |
| 变色牙美白 | 2280 | 401 | 1340 | 1447 | ↑7% |
| 黑牙美白 | 2185 | 423 | 1304 | 1405 | ↑7% |
| 茶渍牙美白 | 2377 | 436 | 1406 | 1436 | ↑2% |
| 牙美白 | 2282 | 484 | 1383 | 1468 | ↑6% |
| 半口牙种植 | 147341 | 55571 | 101456 | 96184 | ↓-5% |
| 单颗牙种植 | 25169 | 11894 | 18531 | 20173 | ↑8% |
| 多颗牙种植 | 175883 | 29853 | 102868 | 108330 | ↑5% |
| 后牙种植 | 52709 | 15104 | 33906 | 30871 | ↓-8% |
| 前牙种植 | 30201 | 7704 | 18952 | 18102 | ↓-4% |
| 全口牙种植 | 324270 | 80872 | 202571 | 168665 | ↓-16% |
| 种植牙/颗 | 18781 | 7765 | 13273 | 14020 | ↑5% |
| 瑞士ITI种植牙/颗 | 15318 | 8904 | 12111 | 11489 | ↓-5% |
| 美国3I种植牙/颗 | 16945 | 8685 | 12815 | 12007 | ↓-6% |
| 德国费亚丹种植牙/颗 | 16188 | 9901 | 13044 | 14060 | ↑7% |
| 瑞典诺贝尔种植牙/颗 | 19028 | 9526 | 14277 | 14703 | ↑2% |
| 德国贝格种植牙/颗 | 15922 | 8179 | 12050 | 12464 | ↑3% |
| 美国百康种植牙/颗 | 15811 | 8065 | 11938 | 11334 | ↓-5% |
| 瑞典诺贝尔种植/颗 | 16639 | 9474 | 13056 | 12867 | ↓-1% |
| ITI瑞锆种植牙/颗 | 17696 | 9580 | 13638 | 13501 | ↓-1% |
| 奥齿泰种植牙/颗 | 19327 | 8131 | 13729 | 13120 | ↓-4% |
| 韩国登特斯种植牙/颗 | 17315 | 8294 | 12804 | 11826 | ↓-7% |
| 韩国奥齿泰种植牙/颗 | 19350 | 9858 | 14604 | 13696 | ↓-6% |
| 韩国登腾种植牙/颗 | 16392 | 8345 | 12368 | 12668 | ↑2% |
| 进口种植牙/颗 | 16169 | 8715 | 12442 | 13401 | ↑7% |
| 国产种植牙 | 14899 | 5247 | 10073 | 10637 | ↑5% |
| 以上价格仅供参考,实际价格请预约医院面诊获取! | |||||
5.小编点评
以上就是本站给大家介绍的厦门思明峰煜口腔门诊部王春林整形信息,主要介绍了厦门思明峰煜口腔门诊部王春林简介、实力情况及整形价格目表等,如果大家想进一步了解、预约厦门思明峰煜口腔门诊部王春林的相关项目、整形价格,可以点击页面上的在线咨询与我们的顾问沟通,24小时给为你服务,提供及时的厦门思明峰煜口腔门诊部王春林整形信息。
小编提示:以上就是关于【厦门思明峰煜口腔门诊部王春林整形价格表附牙齿矫正案例果】的相关整形内容,想了解更多整形知识、医院、医生、整形价格等信息,可以点击【在线咨询】与美即整形网整形顾问一对一沟通,还可以联系整形顾问获取新的优惠信息哦!
最近更新
-
厦门思明峰煜口腔门诊部王春林整形价格表附牙齿矫正案例果1.厦门思明峰煜口腔门诊部王春林厦门思明峰煜口腔门诊部王春林整形怎么样?小编将给大家介绍一下厦门思明峰煜口腔门诊部王春林擅长的整形项目和厦门思明峰煜口腔门诊部王春林基本介绍,希望大家对厦门思明峰煜口腔门诊部王春林整形有所了解,并附上全新的厦门
-
厦门思明峰煜口腔门诊部沈贤生整形价格表附牙齿矫正案例果1.厦门思明峰煜口腔门诊部沈贤生厦门思明峰煜口腔门诊部沈贤生整形怎么样?小编将给大家介绍一下厦门思明峰煜口腔门诊部沈贤生擅长的整形项目和厦门思明峰煜口腔门诊部沈贤生基本介绍,希望大家对厦门思明峰煜口腔门诊部沈贤生整形有所了解,并附上全新的厦门
-
厦门思明峰煜口腔门诊部林炳泉整形价格表附种植牙案例果1.厦门思明峰煜口腔门诊部林炳泉厦门思明峰煜口腔门诊部林炳泉整形怎么样?小编将给大家介绍一下厦门思明峰煜口腔门诊部林炳泉擅长的整形项目和厦门思明峰煜口腔门诊部林炳泉基本介绍,希望大家对厦门思明峰煜口腔门诊部林炳泉整形有所了解,并附上全新的厦门
-
厦门华美医疗美容门诊部陈运生整形价格表附隆鼻手术案例果1.厦门华美医疗美容门诊部陈运生厦门华美医疗美容门诊部陈运生整形怎么样?小编将给大家介绍一下厦门华美医疗美容门诊部陈运生擅长的整形项目和厦门华美医疗美容门诊部陈运生基本介绍,希望大家对厦门华美医疗美容门诊部陈运生整形有所了解,并附上全新的厦门