免费注册
|
我要分享
登录
设为首页
加入收藏
悦美丽
搜索热点排行
清空记录
|
关闭
登录
分享你的整形美容记录
|
免费注册
历史搜索记录
会员中心
我要分享
热门搜索:
?
韩式重睑
丰胸
假体隆鼻
处女膜修复手术
割包皮
网友对比照片
自体脂肪
?
玻尿酸价格
最好的整形医院
首页
整形经历分享
整形问答
整形项目
整形医院
整形专家
前后对比图
资讯排行榜
整形价格
整形:
双眼皮
|
开眼角
|
祛眼袋
|
隆鼻
|
丰胸
|
除皱
|
纹眉
|
减肥
美容:
祛雀斑
|
黄褐斑
|
美白
|
去太田痣
|
嫩肤
|
妊娠纹
|
脱毛
|
祛痘
您当前的位置:
首页
>
医院/医生/项目
>
对比照片
部位 |
不限
眼部
鼻部
胸部
除皱
口唇
面部轮廓
皮肤美容
私密整形
注射美容
热点技术
项目 |
不限
割双眼皮
切开法重睑术
埋线法重睑术
韩式重睑术
开眼角
无痕开眼角
微创开眼角
去眼袋
微创祛眼袋
激光祛眼袋
纹眼线
内切祛眼袋
去黑眼圈
激光去黑眼圈
超声去黑眼圈
肿眼泡手术
上睑下垂手术
切眉
眉毛种植
纹眉
隆鼻
硅胶隆鼻
自体软骨隆鼻
膨体隆鼻
韩式隆鼻术
玻尿酸隆鼻
歪鼻矫正
驼峰鼻整形
酒糟鼻治疗
鼻头缩小
隆胸
假体隆胸
自体脂肪丰胸
妙桃丰胸
副乳手术
乳房下垂矫正
乳头乳晕缩小
巨乳缩小
除皱
去鱼尾纹
去法令纹
去抬头纹
面部除皱
脖颈纹
面颈轮廓
瘦脸
磨颧骨
减双下巴
下颌角瘦脸
垫下巴
丰面颊
丰太阳穴
填充额头
人造酒窝
皮肤美容
美白
去雀斑
嫩肤
治疗黄褐斑
祛痘
去痘疤
去太田痣
脱毛
点痣
疤痕修复
洗纹身
去妊娠纹
减肥
吸脂
减肚子
瘦大腿
瘦小腿
瘦臀
瘦手臂
纹唇
丰唇
厚唇改薄
龅牙整形
地包天手术
牙齿矫正
黑脸娃娃
最近100个更新
想隆鼻的筒子们看过来,我的隆鼻效果
终于隆鼻了! 老公超爱我现在的样子
做了硅胶假体隆鼻手术1年了,庆祝一下~
做完隆鼻术快两个月了~晒对比照片
玛丽莲梦兔之隆鼻开眼角对比篇~
整容护士mm隆鼻记 近水楼台对比照
做了隆鼻术, 什么时候彻底恢复呢
给大家贡献点隆鼻后的对比照片^_^
今天去做注射隆鼻了 晒照片对比图
我的玻尿酸隆鼻手术对比照片
隆鼻变身记 暴晒隆鼻对比照片
我的隆鼻手术前后对比照片分享
自体软骨隆鼻术后对比照片
玻尿酸注射隆鼻成功!晒对比照片
玻尿酸注射隆鼻,看看我的鼻子变身经历~~
看看我的膨体隆鼻+自体软骨效果怎么样吧!!
第二天做了去眼袋手术对比照
昨天做了去眼袋手术! 上传对比图
分享我做超声波去眼袋的经历
我的外切眼袋手术惊险历程
我想做不开刀去眼袋的手术对比
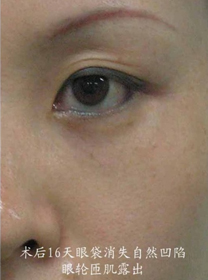
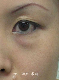
三十岁女人祛眼袋对比照片
男性祛眼袋手术对比照片真人
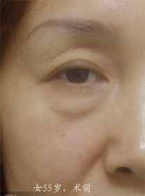
看我的切除眼袋黑眼圈全过程!~
看我是怎么消除眼袋的?祛眼袋对比
60
1
2
3
下一页
尾页