名医科普
想要一口亮白美牙?华西口腔专家帮你解锁科学的美牙秘籍!
关注口腔健康,一生拥有灿烂笑容。2023年世界口腔健康日来啦,今年的主题是“为健康口腔而自豪”!

一提到灿烂笑容,很多人就会想到“亮白的牙齿”。
患者1:熊猫er牙医,我要像明星一样拥有亮白的牙齿!
患者2:熊猫er牙医,我的牙不整齐,帮我贴整齐吧!
患者3:我的牙齿之间有缝隙,可以帮我直接关上吗?
熊猫er牙医:现在,人们对自己的牙齿美观要求越来越高,都希望牙齿成为颜值的“加分项”,所以越来越多的人开始关注牙齿美学修复。
什么是美学修复呢?
通俗来讲,美学修复就是在良好且稳定的口腔功能的基础上,追求最大限度地口腔美学改善与提高。
那么,关键词是什么?
——“健康”
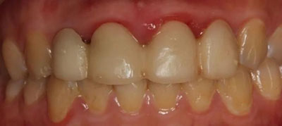
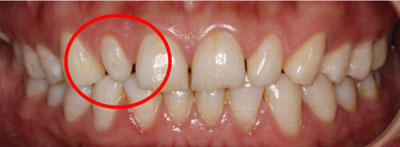
我们来看看抛开健康,只追求美白是什么样子。

不良浮雕牙病例一

不良浮雕牙病例二
不良浮雕牙是在未进行美学分析设计和标准临床操作的情况下,一层层地往牙面上直接堆塑假白的树脂材料。先不说是不是真的美观,这种不良浮雕牙往往会引起咬合改变,颞下颌关节不适,牙龈红肿充血,牙齿疼痛等新的问题。
这些问题出现后,患者要及时前往医院拆除掉影响健康的不良浮雕牙。但这个时候,患者牙体的牙釉质层往往已经遭受到了破坏,直接暴露在空气中可能引发冷热敏感。因此,在经过相关治疗后,大多还需重新进行正规的美学修复。
患者:那有没有更健康的让牙齿变得亮白的方法呢?
熊猫er牙医:在稳定的口腔功能的基础上,我们可以进行瓷贴面修复,微创、美观!


瓷贴面修复材料
哪些牙适合进行瓷贴面修复?
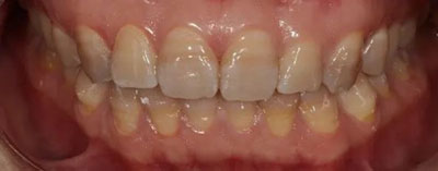
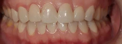
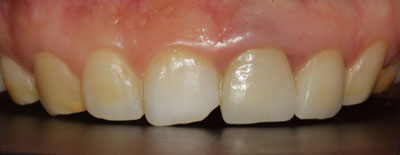
一、变色的牙体,如轻中度的氟斑牙,四环素牙,牙釉质发育不良,或者是对自身牙齿颜色不满意的患者。

修复前

修复后
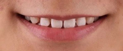
二、前牙有一定程度的散在间隙,可以用瓷贴面进行缝隙关闭。

修复前

修复后
三、轻度的错位牙、异位牙,发育畸形的牙齿,可以进行瓷贴面修复。

修复前

修复后
四、外伤、龋损等原因导致牙体缺损,这种情况下可以进行树脂充填,如果充填物在咬合过程中反复脱落,可以考虑进行瓷贴面修复。


就诊流程
01.一般检查:牙体检查、咬合检查、牙周检查、关节检查等。
02.美学分析:整体的面部分析,局部的唇齿关系、牙龈美学、牙齿美学分析。
03.诊疗方案:根据牙体具体情况设计合适的方案。
04.临床实施:修复效果可通过诊断饰面或美学设计软件来预告,确认方案后就是基牙预备、比色、印模、记录咬合关系、佩戴临时修复体,最后1-2周后来佩戴正式修复体。
小贴士:
瓷贴面牙齿并不是越白越好哟~一味追求过白的牙齿,只能显得假白。只有同时符合生理美、功能美、形态美的牙齿,才能达到理想的美学效果!
上一篇: 你不知道的“华西口腔急诊科”











