time_phone
来电咨询
微信

您的位置: 聚美网 > 百科 > 陶瓷自锁矫正

陶瓷自锁矫正

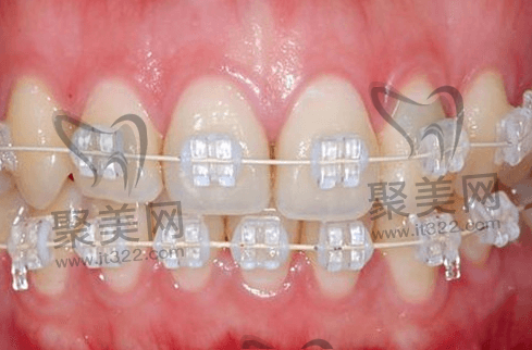
陶瓷自锁矫正是利用一种专用的黏结剂固定在牙齿表面的一种陶瓷等材料制成的装置。

效果展示

陶瓷自锁矫正怎么样 陶瓷自锁矫正价格 陶瓷自锁矫正优点

适用人群

牙齿拥挤 牙齿缝隙大 龅牙 地包天 牙齿错位 牙齿歪斜

参考价格

8000-15000/次

项目参数

  • 治疗时长1-1.5个小时
    效果持续持久
  • 麻醉方式局麻
    恢复时间1-2年
  • 治疗周期1-2年一周期,每次间隔8-10周
    操作人员资质口腔执业医师
  • 操作方式牙齿美容
    疼痛感  中度疼痛
  • 以上信息均为参考,实际以到医院操作为准

手术方式

1、矫正前咨询医生,与医生沟通根据自身具体情况确定矫正方案,拍摄牙齿、头骨X光照片、制模、拍摄矫正前照片备用。

2、洁牙、依个人情况磨牙、拔牙等后,佩戴矫正器。

3、矫正治疗期间依医嘱每8-10周定期复诊,根据矫正阶段更换弓丝。

4、矫正疗程结束后,佩戴保持器1年左右。

项目优点

1、在治疗中不需任何结扎,无结扎丝引起的菌斑污染及对口腔黏膜的刺激,舒适度更高;

2、美观耐用,透明陶瓷材质与牙齿颜色接近,黏在牙齿上隐蔽性好;

4、可靠的粘接性,金属托槽和牙齿通常是物理粘接,而陶瓷托槽是接近化学粘接,粘接更加牢固,不易脱落;


项目缺点

1、陶瓷自锁托槽过高的硬度可能会造成牙釉质的磨耗,对牙齿造成损伤;

2、陶瓷自锁托槽更易发生折裂或断裂;

3、相较于金属托槽体积较大,舒适度较差;

4、与金属托槽相比,陶瓷自锁托槽价格较贵。


禁忌人群

1、牙周炎活动期患者。

2、患有慢性消耗性疾病,如结核病、血液病。

3、高血压、心脏疾病、脑血管等疾病患者。

4、对麻醉药物过敏者。

5、严重出血性疾病患者或最近长期持续使用阿司匹林等抗血小板药物者。

6、特殊时期女性,如月经期、妊娠期、哺乳期。

术前必读

1、进行医患沟通,自身情况如实告诉给医生,做好心理准备。

2、术前饮食改变,应清淡饮食,避免进食辛辣刺激、油腻食物。

3、适应期(治疗后当天~7天)牙齿会感到无力,同时伴有酸痛感,初期口腔会有异物感,可吃较软的饭或粥类食物;戴上牙套后,一定要做到餐后刷牙,如餐后刷牙不便,可用水或茶水漱口;尽量不喝碳酸饮料;不可咀嚼过硬的食物,也要避免吃太黏的食物。

4、矫正期(治疗后8天~365天)牙齿逐渐矫正中,每次复诊后可能会有牙齿发紧的症状,轻度疼痛,不可用门牙啃咬食物;矫治器安置好后,一个半月至两个月复诊一次(具体需遵医嘱)。

5、保持期(治疗后366天~730天)牙齿形态基本达到预期的结果,需要进行维护,坚持佩戴保持器。

日期:2023-03-22 15:59:15 阅读量:

Copyright © 2023 聚美网. All rights reserved.