当前位置:娇媚整形网> 整形百科

脂肪隆胸好吗?有什么不好的作用吗?

脂肪隆胸好吗?有什么不好的作用吗?

很多爱美人士,为了摆脱飞机场,太平公主的不雅称号,想要通过各种方式让自己拥有丰满的胸部。其中建校较好的就是进行隆胸整形手术。但是做了相关了解的爱美人士就会发现其实

种植牙是什么?会不会有危险?

种植牙是什么?会不会有危险?

我们的牙齿在外力的作用下,可能会出现掉落或者松动的现象,当牙齿掉落后我们会第一时间选择镶牙,镶牙技术也有不同,现在大家比较喜欢牙齿种植。牙齿种植分为人工种植牙和即

自体脂肪丰唇的后遗症,解答你关心的事情!

自体脂肪丰唇的后遗症,解答你关心的事情!

拥有丰满性感的嘴唇是东方人一直比较向往的,但是现在很多爱美人士的嘴唇都不够丰满,化妆都很难掩盖比较奇怪的唇型,但是目前整形美容的手术技术是越来越成熟,而且整形美容

洗牙的价格?得准备多少钱?

洗牙的价格?得准备多少钱?

牙齿对于我们来说已经不单单是咀嚼食物,而是我们美丽的一部分。有的人天生牙齿就很漂亮,他们就不需要进行牙齿整形,只需要进行定期护理就可以。现在比较常见的牙齿护理就是

什么是微创隆鼻,它的优势是什么?

什么是微创隆鼻,它的优势是什么?

随着社会的发展,越来越多的爱美人士注重自身的颜值。有一个好看的鼻子是至关重要的,可以使整个人的五官变得更加立体。总有一部分人群由于天生遗传性的因素,鼻部状态过于扁

现在烤瓷牙的材料都有哪些?哪个更好?

现在烤瓷牙的材料都有哪些?哪个更好?

整形市场日益增大,很多人已经不少有于眼部、鼻部整形,大家开始选择牙齿整形,但是牙齿整形也有很多方面,比如牙齿矫正、牙齿美白等。牙齿整形中大家比较熟知的就是烤瓷牙,

脂肪填充苹果肌恢复期间什么东西不能吃?

脂肪填充苹果肌恢复期间什么东西不能吃?

爱美是每一个人的天性,尤其是在现在这样的时代,大家都想拥有一个好看的外表,尤其是近几年来苹果机很受爱美人士的喜爱,因为有苹果机面部看起来更加有立体感,更加有曲线感

脂肪填充下巴多久恢复?多长时间可以上班?

脂肪填充下巴多久恢复?多长时间可以上班?

每个人都想拥有完美的五官和漂亮的脸蛋,可是人无完人,每个人脸部轮廓或多或少都有一些缺陷存在,这也是众多医美机构兴起的原因和价值。在众多面部缺陷中,经常被提及到的较

烤瓷牙和全瓷牙的区别?分享来啦

烤瓷牙和全瓷牙的区别?分享来啦

不论是烤瓷牙还是全瓷牙,它对人体牙齿的修复作用都是较为好的,可以代替牙齿进行一些一些日常的基本咀嚼任务,烤瓷牙和全瓷牙他们有一定的区别,所以也导致了他们在市场上价

烤瓷牙和全瓷牙的区别是什么?

烤瓷牙和全瓷牙的区别是什么?

牙齿是我们身体的一个很重要的部位,如果我们不注意去防护它,有可能会导致牙齿出现一些状况,没有及时医治,造成牙齿的缺失或者是其他的情况,当然也不排除有先天性的缺陷,

隆胸失败修复让人趋之若鹜的优势?快来看看

隆胸失败修复让人趋之若鹜的优势?快来看看

很多爱美人士都会选择进行隆胸手术来摆脱自己被称为太平公主的命运,进行隆胸手术追求美丽并没有错,但是可能由于在选择手术医师以及后期个人护理时出现了错误,导致自己的隆

隆胸手术的价格?快来看看吧

隆胸手术的价格?快来看看吧

在这个爱美的时代,大家都愿意为了美丽付出一定的代价,因为美丽值得付出,接下来我们就来具体的了解一下进行隆胸手术,所需要的价格,讲清楚手术的价格后来看一看这些价格是

内眦赘皮矫正术是怎么样的?果呢?

内眦赘皮矫正术是怎么样的?果呢?

一双灵动的眼睛可以增加一个人的面部形象,并且会看上去比较有精神。然而,却有一些人眼睛不太好看,令自己整体形象都会受到影响。随着眼部整形技术的不断进步,便会很多人通

美容冠技术真的有他们说的那么好吗?

美容冠技术真的有他们说的那么好吗?

现在我们不单单只注重健康,我们还在追求美丽,正是因为越来越多的人开始注重美丽,整形市场才日益扩大。现在我们不仅有各种各样的眼睛、鼻子整形,还有牙齿整形。虽然牙齿整

脂肪填充太阳穴果咋才能更好?

脂肪填充太阳穴果咋才能更好?

太阳穴的美观对于脸型的美观是有直接的联系,而脸型的美观就直接关系到一个人的外貌情况了,所以目前就有太阳穴不美观的爱美人士想做脂肪填充太阳穴的手术来进行改变,但是有

种植牙是什么?种植牙是怎么做成的?

种植牙是什么?种植牙是怎么做成的?

牙齿对于每个人而言是很重要的一部分,如果没有牙齿我们将不能咀嚼食物,很多食物也吃不了。很多人的牙齿因为一些原因而出现坏死的情况,这些坏死的牙齿就需要进行拔除或植入

开内眼角后需要注意的问题

开内眼角后需要注意的问题

眼睛是体现面部美观的重要部位,一对有神的眼睛可以增加一个人的魅力以及气质。然而,并且不是所有人都天生拥有这些的眼睛,有许多人遗传眼睛比较小,因此会感到比较困扰。随

美容冠可以矫正龅牙吗?有没有人做过?

美容冠可以矫正龅牙吗?有没有人做过?

我们现实生活中很多人因为各种因素出现牙齿畸形,而龅牙则是众多牙齿畸形中比较常见的一类。现在龅牙出现在儿童中比较多,很多儿童因为先天遗传基因或者后天的环境等因素,而

烤瓷牙的材料?怎么选?

烤瓷牙的材料?怎么选?

为了满足不同人的需求,烤瓷牙也有很多不一样的材料制成,那自然烤瓷牙的种类也有很多,那么烤瓷牙的材料都有哪些呢?烤瓷牙有几种材料,哪一种材料比较好呢? 烤瓷牙考虑到其坚

自体脂肪填充泪沟好吗?果咋样?

自体脂肪填充泪沟好吗?果咋样?

有很明X的泪沟会让人很显老,而且面部看起来也比较怪异,所以有泪沟是会直接影响整个人的外表气质,所以目前有很多爱美人士都选择填充泪沟来改善,而目前口碑比较好并且很受

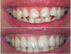
牙齿矫正的好处及需要时间~求告知

牙齿矫正的好处及需要时间~求告知

现在我们不仅追求健康的牙齿,还追求整齐漂亮的牙齿。我们很多人的牙齿受到一些因素的影响,并不是很整齐,这就需要通过医疗手段将牙齿变整齐。很早之前就出现了矫正牙齿的技

美容冠牙齿有什么不好的作用吗?

美容冠牙齿有什么不好的作用吗?

现在越来越多的人开始注意牙齿健康和牙齿美容,以前大家是注重牙齿清洁,现在很多人对待牙齿就像对待我们的脸一样,大家会定期去专业的美容机构进行牙齿护理,有的人因为牙齿

做完脸颊脂肪填充可以躺着吗?会不会不舒服?

做完脸颊脂肪填充可以躺着吗?会不会不舒服?

每一个人都想拥有超高的颜值,而高颜值是离不开一个有立体感并且饱满的脸型,如果面部过于平坦或者凹陷那么久会直接影响整个人的面部气质,所以目前就有很多爱美人士去做了脸

带你了解高分子埋线双眼皮的价钱及适宜人群

带你了解高分子埋线双眼皮的价钱及适宜人群

人们常说眼睛是心灵的窗户,一双好看的大眼睛会使整个人看起来楚楚动人,但总有一部分患者由于遗传性的因素眼睛较小,是我们平时所说的单眼皮,因此会有大部分人群选择进行双

做欧式全切双眼皮千万不能做这些事!术前必看

做欧式全切双眼皮千万不能做这些事!术前必看

现在的女性都比较追求美丽,而眼睛处于脸部比较重要的部位,拥有一双灵动的眼睛可以增加面部形象。然而,却有很多人天生是单眼皮,不管是穿衣打扮都会显得不太好看。因此随着

钴铬烤瓷牙价格咋样?为什么价格不一样啊?

钴铬烤瓷牙价格咋样?为什么价格不一样啊?

现在人追求的是整体的美观,不是只追求面部的,或者是身体内某个部位的美丽,追求的是全体,那自然牙齿也是在这一范畴内的,如果一个人,他的牙齿较为的漂亮,那么他展现的微

北京全身吸脂术的计费方式及影响因素

北京全身吸脂术的计费方式及影响因素

生活中,有比较多的人群因为平时没有注意饮食节制,出现全身性的身体肥胖,较为臃肿,严重影响着美观。想要在短时间内瘦下来,吸脂是较为理想的瘦身方式。但是这种全身性的吸

想知道不同类型烤瓷牙的好坏处及价格,点这里

想知道不同类型烤瓷牙的好坏处及价格,点这里

烤瓷牙现在广受人们的欢迎,人们为了追求美,追求牙齿的舒适性,会选择用烤瓷牙,因为牙齿总会存在一些缺陷,或者是不齐的状况,看起来不美观,用起来也不舒适,这样烤瓷牙就

我了解到的开内眼角后需要注意的事情,来看看吧!

我了解到的开内眼角后需要注意的事情,来看看吧!

眼睛是体现面部美观的重要部位,一对有神的眼睛可以增加一个人的魅力以及气质。然而,并且不是所有人都天生拥有这些的眼睛,有许多人遗传眼睛比较小,因此会感到比较困扰。随

有人了解美容冠技术吗?它真的有他们说的那么好吗?

有人了解美容冠技术吗?它真的有他们说的那么好吗?

现在我们不单单只注重健康,我们还在追求美丽,正是因为越来越多的人开始注重美丽,整形市场才日益扩大。现在我们不仅有各种各样的眼睛、鼻子整形,还有牙齿整形。虽然牙齿整