585
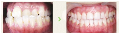
常见的矫正牙齿的方法有哪些?在我们生活的周围经常都会看见一些牙齿不整齐或者畸形的人,较为的影响口腔美观。很多牙齿畸形的人其实自己的心理也是很自卑的,导致他们在日常交往中都不敢大笑给心理健康造成影响,现在很多人为了改善自己的牙齿美观都去做矫正,那么矫正的方法有哪些,秀颜网整形顾问为您介绍。

常见的矫正牙齿的方法有哪些?秀颜网整形专家介绍:
1、美容冠牙齿矫正:
如果只是牙齿排列畸形,不太严重,又想快一些矫正,可以考虑采用烤瓷矫正的办法,就是通过做烤瓷牙的办法把畸形牙齿矫正过来。
2、普通牙齿矫正:
就是将金属托槽粘在牙齿唇侧,通常看起来“铁齿钢牙”,是较常见的正畸方法。现在为了解决美观问题,采用一种陶瓷托槽,是透明的,美观果好多了。
3、隐形牙齿矫正:
就是将托槽粘在口腔舌侧,我们叫做隐形正畸,从外面一点也看不出来,不知不觉牙齿排列整齐了,很受演艺界人士、教师、律师等对形象要求高人士的欢迎。
4、手术牙齿矫正:
有一些骨性畸形,就是不仅仅是牙齿排列不齐,而是由于颌骨发育异常导致的牙齿畸形,单纯采用正畸的办法矫正不过来,就需要进行手术的办法,实际上是正畸和手术矫正的联合正畸。
常见的矫正牙齿的方法有哪些?看了上面的介绍相信爱美的您对这个问题已经了解了吧,希望能对您有所帮助。另外,整形专家提醒:只有正规的整形美容医院才能整形手术的没问题以及果,爱美人士一定要谨慎选择。如果您还有什么疑问,可以在线咨询整形顾问,我们会给你更加详细的介绍。
玻尿酸填充
