甘肃省中医院口腔科在甘肃当地是有着较为良好的口碑的,这家医院的口腔科室不但拥有着较为悠久的历史,还有着很强劲的医疗实力,并且每年都会进行改革创新,不断的引进较为先进的医疗设备和专业的医疗技术,这也使得大家比较信任这家医院。这家医院较为知名的就是她的一生团队了,今天就让我们一起来了解一下:甘肃省中医院牙科张剑峰医生好不好?医生个人信息+补牙真实果

一、甘肃省中医院牙科张剑峰医生简介
张医生是这家医院的主任医生,他从事口腔医疗工作,已经有十几年的时间了,在他多年的工作之中形成了较为良好的口碑,这名医生是一名拥有着学士学位的高学历医生,他从事口腔医疗工作的20多年间,不断地学习先进的医疗技术,对于各种各样的口腔医疗疾病都能够熟练的进行掌握。

在这将近30年的工作之中,他完成的口腔医疗工作已经高达上万例了,拥有着较为扎实的理论知识和丰富的临床经验,对于各种突发情况都能够及时进行治疗。医生也十分注重口腔问题,患者自己的感受会和口腔问题患者进行详细的沟通交流,然后再开始进行手术,目前在行业内形成了较为良好的口碑,很多人都是比较喜欢证明医生的。
| 甘肃省中医院牙科张剑峰医生价格表 | ||||
| 项目 | 近期高价 | 近期低价 | 年度均价 | 可参考价格 |
| 3DS超薄瓷贴面 | 8448 | 3276 | 5862 | 5285 |
| 牙齿瓷贴面 | 10017 | 1772 | 5894 | 5694 |
| 烤瓷牙补牙 | 15501 | 1649 | 8575 | 8407 |
| 烤瓷牙种植 | 24502 | 1829 | 13165 | 14208 |
| 全瓷牙种植 | 26055 | 2814 | 14434 | 13376 |
| 美容冠 | 3773 | 1237 | 2505 | 2726 |
| 龅牙矫正 | 11532 | 4409 | 7970 | 7335 |
| 地包牙矫正 | 11307 | 4861 | 8084 | 7628 |
| 虎牙矫正 | 10324 | 2700 | 6512 | 6323 |
| 牙齿不齐 | 20142 | 4874 | 12508 | 12515 |
| 牙齿稀疏 | 23919 | 4550 | 14234 | 12211 |
| 牙齿拥挤 | 20860 | 4907 | 12883 | 12408 |
| 隐适美 | 83895 | 8860 | 46377 | 54095 |
| 隐形正畸 | 85769 | 8314 | 47041 | 39029 |
| 补牙 | 11431 | 794 | 6112 | 6135 |
| 镶牙 | 11647 | 1856 | 6751 | 6504 |
| 牙齿缺损修复 | 11094 | 1101 | 6097 | 5886 |
| 超声波洁牙 | 2214 | 490 | 1352 | 1459 |
| 咖啡牙美白 | 2146 | 453 | 1299 | 1295 |
| 喷砂洁牙 | 2246 | 330 | 1288 | 1409 |
| 色素牙美白 | 2343 | 479 | 1411 | 1280 |
| 四环素牙美白 | 2147 | 497 | 1322 | 1273 |
| 洗牙 | 2032 | 347 | 1189 | 1155 |
| 牙齿冷光美白 | 2014 | 470 | 1242 | 1326 |
| 牙齿抛光 | 1532 | 390 | 961 | 960 |
| 牙齿漂白 | 2312 | 778 | 1545 | 1550 |
| 烟渍牙美白 | 2078 | 451 | 1264 | 1360 |
| 半口牙种植 | 14720 | 5924 | 10322 | 11530 |
| 单颗牙种植 | 3096 | 1328 | 2212 | 2170 |
| 多颗牙种植 | 15149 | 2988 | 9068 | 8027 |
| 后牙种植 | 5789 | 1653 | 3721 | 3788 |
| 前牙种植 | 3170 | 965 | 2067 | 1979 |
| 全口牙种植 | 54111 | 9207 | 31659 | 27679 |
| 种植牙 | 15375 | 7920 | 11647 | 11954 |
| 以上价格仅供参考,实际价格请到医院面诊获取! | ||||
二、甘肃省中医院牙科张剑峰医生补牙案例分享
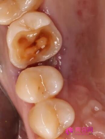
因为我对于自己的牙齿护理一直都不是特别的看重,所以导致我的牙齿坏的,特别的快,在之前我还不放在心上,但是随着较近一段时间牙疼的特别的难受,甚至彻夜难眠,我才开始意识到牙齿的问题有多么的重要,于是我就来到了甘肃省中医院进行改善接待,我的就是张医生。

医生对我的牙齿进行了多方面的检查,一下有三四颗牙齿都是完全被虫蛀掉的,只能够进行补牙了。因为坏的比较严重,所以说还打了麻醉呢,医生为我补牙齿的过程是比较耐心的,而且也感受到我比较紧张,一直在跟我聊天,让我慢慢的心情就放松了下来。

现在大家看一下我的牙齿,补完之后已经变得特别的洁白整齐了,而且像以前因为牙齿坏的问题,不敢吃的食物现在也都可以去吃了,真的很开心。
三、为什么有人补牙后觉得痛?
有些人不愿意补牙,是因为补牙后经历过疼痛。因牙病去医院治疗后,有时会出现牙痛,可能有以下几种情况。知道原因就知道对策。补牙后怕疼就不用去医院了。

1、一是因治疗需要,牙髓失活(俗称杀神经),药物失活后当天或第二天可能出现牙痛,但疼痛不会很严重,也不会持续很长时间。
2、冷热刺激引起的短期疼痛可能发生在补牙准备蛀牙的过程中或消毒药物刺激牙髓时。此类病例不需要特殊治疗,一般1 ~ 2天后可自行恢复。

3、空腔较深,使用的衬垫材料过薄,无法切断汞合金传导的冷热刺激,导致冷热刺激引起疼痛的症状。这需要在填充前加厚垫层材料。
长期疼痛多由继发龋合并牙髓炎引起,应根据具体情况予以缓解。当龋齿还没有扩散到牙髓组织,但已经接近牙髓腔,在清除龋坏组织时,患牙极度敏感,有时伴有轻度疼痛;或者,在日常生活中,只有当它受到冷、热、酸、甜等刺激时。牙齿会有疼痛感。

总之,除了暂时性牙疼(如牙髓失活)外,各种补牙后的牙疼都要在医院进行治疗,以便及时找出原因并进行处理。






