这个世界本不缺少美,缺少的是变美的方式,导致牙齿拥挤的原因是人们对于这个项目的不确定因素,为了让大家接收更加正规的整形信息,我们找专业的整形医生进行了了解,那么研究导致牙齿拥挤的原因有什么进展以及结论是什么呢?我们只需要做到:1、前两周应停止吸烟和减少饮酒,停用含有阿司匹林和维生素e的药物,少饮茶和咖啡 ;2、妊娠前期(三个月)或妊娠后期(三个月)暂缓手术 就已经够了。下面的内容就是美容达人给出的关于这个问题的详细解答,通过下面的描述,如果您对于导致牙齿拥挤的原因这个问题依旧没有了解,可以在我们平台上咨询专业的整形医生。

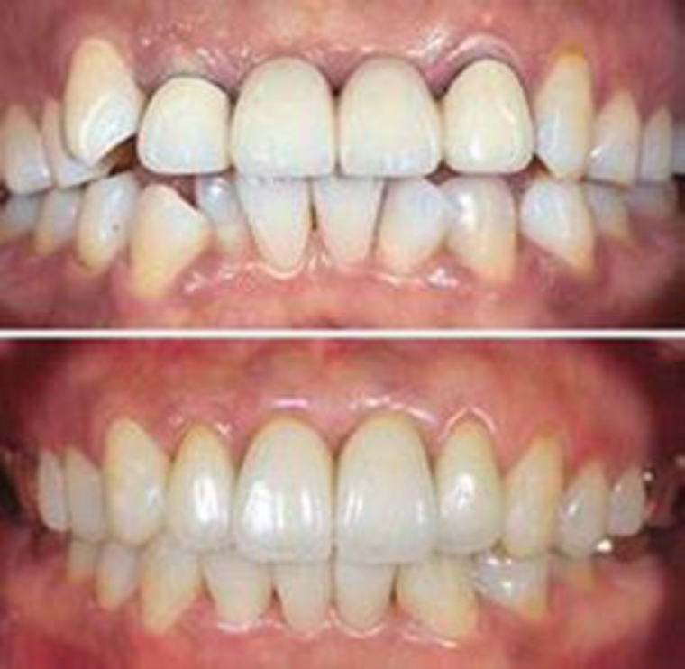
牙齿对我们来说很重要,不仅担负着我们的咀嚼任务,而且有助于护送我们的面部美观。(威廉莎士比亚、哈姆雷特、牙齿名言)一般来说,正常情况下,一个人的牙齿重量在28 ~ 32个左右,所以牙齿看起来会更漂亮。但是在生活中,我们看到有些人的牙齿很拥挤,不漂亮。导致牙齿拥挤的原因有什么?

科学表明,牙齿拥挤的主要原因是牙齿量失衡,这个问题也受到各种影响。首先,由于遗传因素,牙齿的大小不统一,其次,牙齿更换器导致乳牙的早期损失,从而改变牙齿的缝隙。而且,是因为下颌骨发育不全而造成的。
牙齿的拥挤不仅影响到引起牙齿美观的问题,还影响到我们的身体。例如,引起口臭会改变脸型,使脸突出,引起胃肠损伤等。(威廉莎士比亚、哈姆雷特、口臭、口臭、口臭、口臭、口臭、口臭)牙齿的问题没有小问题。都是大问题希望发现自己的牙齿有问题后尽快去医院治疗,不要让小问题堆积成大问题,影响我们的身体健康和形态。

如果您不够美,有人会替你美,这是这个时代的一个焦虑,所以很多人抱着试一试的态度去进行整形美容,但是因为很多人对整形的不太放心,就不敢去进行,小编想说的是,进行整形
窈窕淑女,君子好求,目前的整形行业是比较火热的,一些想要进行整形的人士想要了解牙齿矫正多少价格 牙齿矫正的适合年龄这个问题,因为人们在进行整形项目的时候非常关注效果