目前的整形行业已经成为了很多爱美人士心中的宠儿,但是人们在进行整形之前也是有疑问的,例如:北京做牙齿正畸术后会反弹吗?有这样的疑问,不要悲伤,不要着急,我们的专业整形医生将会进行详细回答,对于北京做牙齿正畸术后会反弹吗这个问题,目前已经得出的结论是什么呢?1、手术前充分休息、良好睡眠、不要过于疲劳 ;2、实地探访当你确定进行整容并有了心仪的医院时,最好是抽空前往医院进行实地探访 ,只有做好这两点才可以得到一个较好的整形效果。下面美容达人小编将为你们详细的讲解北京做牙齿正畸术后会反弹吗,希望我所讲解的内容可以为你们的整形之路带来帮助。

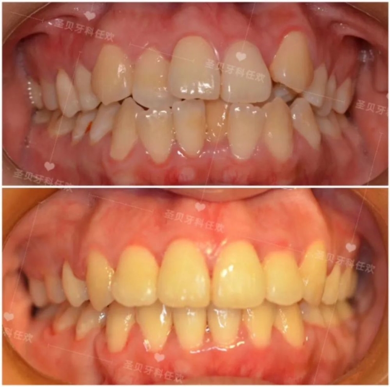
现在大家对于牙齿的整齐程度都越来越在乎了,因为牙齿也是影响面部美观的一个重要因素,所以很多求美者都会选择进行牙齿矫正,但是很多求美者担心自己花了那么长的时间进行了牙齿矫正以后会出现反弹的现象,那么在北京做牙齿正畸术后会反弹吗?一起来看看下面的介绍吧!

1、当求美者进行了牙齿矫正以后,由于牙齿在新的位置还没有固定下来所以是需要佩戴一个保持器来保持牙槽骨的新位置,然后等待牙槽骨进行重塑,因为每一位求美者的牙齿畸形程度都是不一样的,所以有部分的求美者是需要佩戴保持器的,只有按照医生的吩咐坚持佩戴保持器,这样牙齿矫正才不会出现反弹的现象喔!

2、需要积极配合好医生的治疗的,需要听从专业医生的建议吗,这样牙齿矫正的效果才会更加理想,效果才不容易反弹。同时求美者需要在牙齿矫正期间要保持好口腔的清洁卫生,纠正不良的口腔清洁习惯,这样才能更好地保护好牙齿,牙齿矫正才不容易反弹!
3、当求美者需要把保持器摘下来的时候,求美者需要注意的是要把保持器放在一个相对干燥的地方,虽然现在的牙齿保持器号称放在水里也不会出现什么老化的现象,但是放在水里的话就不是很卫生,因为水里的细菌的有很多的,而且在潮湿的地方中会很容易引起细菌滋生!所以大家要好好注意保持器的清洁和卫生喔!>>>>>>牙齿矫正多少岁合适

以上就是关于牙齿矫正相关的介绍,希望能够帮助到大家,建议大家选择正规的整形医院和专业的医生进行手术,如果您还有什么不明白的方面,可以直接网上在线咨询客服的哦。
不同的人看待美是不一样的,因为每一个人所喜欢的风格不一样,为了达到自身的目的很多人会去接触整形,做好整形的准备工作对于我们成功进行一个整形项目非常重要,对于整形我
有些美是上天赐予的,但是现在我们通过后天创造也可以得到自己想要的美,这主要是靠整形美容得到,那么在现在这个时代如何避免自己在进行整形美容项目的时候不踩坑呢?首先需