华中科技大学同济医学院附属荆州医院
江汉平原公立三级甲等整形机构
湖北省地市级区域医疗中心
江汉平原拥有4级(高难度)整形资质医院
点击咨询
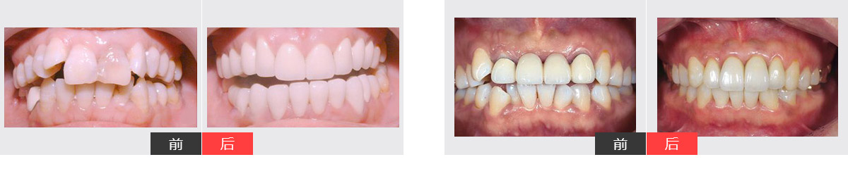
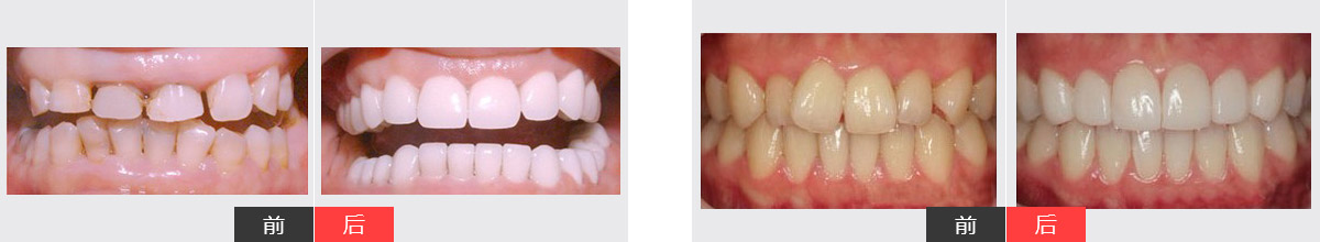
瑞典Procera全瓷牙光线通透性较强,因此其视觉效果既真实又美观!是格外注重形象的公众人物齿的
美齿秘籍,其在力学性能、生物相容性、化学稳定性等方面都表现的更为突出!牙冠在国外加工:专程发送至瑞典或日本的Procera加工中心制作。
相关文章
全瓷牙修复安全吗
全瓷牙修复牙齿有怎样的效果
推荐文章