热门项目:眼部综合|微创吸脂|冰点无痛脱毛|辉煌360祛斑|无痕修疤术|田氏微雕术|月亮女神定制丰胸|董“洁”清奥法|专利美鼻

宜昌做美容冠要多少钱

作者:荆州整形美容医院 08-28 浏览:89
请输入您的手机号码,专家会在3分钟内给您回电,接听免费。
※ 请输入手机号码:
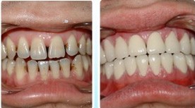
  做美容冠要多少钱?美容冠是烤瓷牙技术的一种,但是有区别于传统的烤瓷牙技术。美容冠能够在不损伤牙齿、牙龈的前提下根据牙槽骨的形态对牙齿做修整。以其安全快速的矫正技术,以及完美的效果被广大牙齿美容爱好者所喜欢,当然也很多人关系的美容冠价格,下面宜昌整形美容医院专家为我们介绍做美容冠要多少钱?
 
  做美容冠要多少钱主要跟个人牙齿情况,美容冠技术,美容冠材料,医院不同有关,多方面的因素对美容冠价格都有一定影响,所以求美者需要根据实际情况进行衡量选择。
宜昌做美容冠要多少钱
  ·牙齿基础条件:美容冠价格与牙齿基础条件有关,不同患者由于牙齿病变的情况不同,美容冠所用的材料和矫正牙齿的数量都不同,自然美容冠价格也不同。
 
  ·品质材料:美容冠材料品质不同价格不同,也可以说材料不同价格不同。先从美容冠的材料看,有进口和国产之分,在性能和效果上有较大区别,美容冠价格自然就不同。美容冠不同材质其机械性能、物理性能、化学性能、生物相容性、美观性等都有很大区别。当然也包括印模材料、模型材料、临时牙材料等。每一款美容冠都有其适合的修复指征,并不是适合所有的情况。通常医生会根据您的情况帮您选择适合的美容冠。
 
  ·制作设备:从设备上看,制作美容冠的设备普通的几万元,而进口的要上百万。美容冠的材质也因其成分的比例不一样,其价格也不一样。美容冠的颜色上看,美容冠的颜色并非越白越好,而是要自然和谐,使用电脑三维比色仪能配出多达上百种的色阶。
 
  ·医生技术:医生不仅要精通口腔的治疗,也要有较强的审美理念、还有赖于临床医师专业的修复理论支撑,规范的操作,正确的设计,和技师的密切配合等。所以非一般的治疗型的口腔所能把握的,牙齿整形一定要到正规的牙齿整形美容机构。
 
  ·医院选择:一个专业的牙齿整形美容机构, 在硬件投入和软件建设上是非常重视的,一套综合的牙齿美容设备就是几百万,医院的技术、质量、信誉、服务也不尽相同,顾客的承诺也是不一样的。
 
  以上就是“做美容冠要多少钱”相关介绍,专家提醒任何一项手术都是存在一定风险的,避免出现风险*好的方法就是在手术前选择一 家正规的整形美容医院和一位有责任感的专业整形医师,同时做好术前术后准备,这样才能保证手术安 全手术效果万无一失!如果您还有任何的其他的疑问,欢迎咨询我们的在线专家,您也可以到宜昌整形美容医院进行现场咨询。美丽新约,从这里开始。
 
  宜昌整形美容医院,坚持安全塑美原则,不断优化服务流程,提高服务质量,以专业*先进的医疗美容设备、*优秀的医疗美容技术人才、*温馨体贴的服务和*合理的价格,为高尚爱美人士提供权威的整形美容解决方案,成就更多人的美丽人生。
 
tag标签: 多少钱 美容冠
推荐专题 更多>>