补牙的方法在生活中还是比较常见的。补牙可以帮助恢复牙齿的嚼劲功能,让人们在饮食和语言交流没有烦恼,这对人们来讲是很有帮助的。
门牙很容易被什么东西给撞掉了,因为它在*前沿。门牙掉了不仅仅会影响到个人的形象问题,同时也会危害口腔的健康,所以,单颗牙齿缺失后应及时修复。如果长期没有修复,对颌牙齿会因为无咬牙合接触而伸长;两侧牙齿会移位向缺失处倾斜,引起食物嵌塞,不易清洁,引起蛀牙及牙周病。
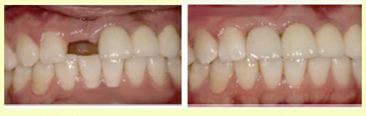
如今科技发达,很快就能让丢失的牙补回来,就和原来的一样。补牙不仅为修复牙齿缺损,而且还是恢复魅力笑容的好办法。那么门牙缺失的补救方法有哪些呢?下面看看宜昌整形医院专家的介绍吧!

门牙缺失的补救方法:
1、固定义齿修复
利用缺牙两侧的牙齿作为基牙,通过牙体预备用烤瓷冠或金属冠修复。假牙不能自由摘戴。假牙与天然牙(真牙)大小和外形及色泽相似,戴用舒适美观且咀嚼功能恢复好。由于要磨除部分牙体,目前仍有部分爱美者不愿接受。固定修复需18周岁以上,一般在牙齿拔除后3个月修复。
2、活动义齿修复
即利用卡环(金属钩)挂在邻牙牙面上,缺失部分用树脂牙修复。优点是牙齿磨除少,爱美者可取下清洁。但咀嚼功能恢复较差、美观性差;初戴时会有一定的异物感。活动义齿不受年龄限制,一般在牙齿拔除后1~2个月可以修复。
3、种植牙修复
在缺牙区植入种植体(即人工牙根),待种植体与骨组织完全愈合后再修复。此种方法不需要磨牙,对两侧牙齿无损伤;适用于大多数健康的成年人,一般不主张未成年人做种植义齿。与上述两种修复方法比较,费用较高。一般上颌牙齿拔除后5~6个月,下颌牙齿拔除后3~4个月可做种植修复。
通过上面宜昌整形医院专家的介绍,您是否对补救牙齿缺失有了一定的了解。如果您想了解更多关于补牙的知识,欢迎咨询宜昌整形医院在线权威专家,专家将为您提供*专业、*安全、*优质的服务!
相关阅读: