热门项目:眼部综合|微创吸脂|冰点无痛脱毛|辉煌360祛斑|无痕修疤术|田氏微雕术|月亮女神定制丰胸|董“洁”清奥法|专利美鼻

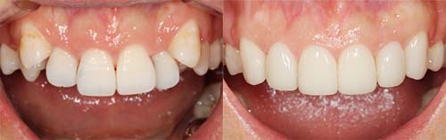
牙齿矫正前后对比图

作者:荆州整形美容医院 09-16 浏览:102
请输入您的手机号码,专家会在3分钟内给您回电,接听免费。
※ 请输入手机号码:
牙齿矫正前后对比图
tag标签: 牙齿矫正
推荐专题 更多>>


更多>>经典案例

  • 面部
  • 胸部
  • 鼻部
  • 眼部
  • 吸脂
  • 修复