何祥龙




黄惠真




徐宇红




欧阳天祥




袁玉坤




田艳




吴淑琴




张国栋




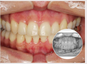
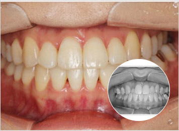
上海美莱(MYLIKE)在上海整形行业中品牌实力雄厚, 上海眼部整形,鼻部整形,胸部整形,吸脂减肥,微整形,皮肤整容,口腔美容,这些整容项目在上海美莱广受大家信赖,上海美莱以好的医美服务,赢得求美者口碑。上海美莱你值得信赖

上海美莱整形医院,凝萃多国医美技艺,上海美莱历经品牌深厚沉淀,上海美莱整形医院汇纳国内外设备,为求美者实现在国内即可享有国内外名师倾力为其打造更好医美服务。以独立私密医疗环境、专业个性化美丽定制、无微不至的人文关怀为爱美者提供更好医美服务。


上海美莱整形医院,为打造更多爱美之人的爱美需求,上海美莱,眼部整形吴海龙,上海鼻部整形卢建王琳,上海胸部整形汪灏,吸脂袁玉坤等众多骨干医师,参与国内多项医美技术研发,拥有多项更优技术,成就众多爱美人士个性美丽定制方案。

上海美莱传递现代女性「独立自主」、上海美莱提倡「勇于改变」的精神,上海美莱以“专业服务”、上海美莱整形医院提供“安心体验”、上海美莱医疗整容为你构造“个性化定制”的理念,上海美莱整形医院以更好的技艺与自然、和谐的审美理念。










