2020-03-30 11:52:00
口腔溃疡是一种比较常见的口腔疾病,又被成为口疮,这种口腔粘膜疾病是不分季节以及男女的,一般局限在口唇内侧,也涉及舌头,咽喉。 口腔溃疡价格多少钱 一般50-500元/次。 口腔溃疡适合的人群 精神压力大,饮食不规律,消化系统紊乱,营养素缺失,有遗传病史以及经期、孕期、更年期者容易患有口腔溃疡疾病。 口腔溃疡的优势 1.轻疼痛。 2.病程和减少复发次数。 口腔溃疡的劣势 无法完...
2020-03-30 11:48:17
牙髓炎是一种发生在牙髓的炎症性疾病。牙髓是包含神经血管的疏松结缔组织,主要含有神经血管。如果不能及时有效地控制和治疗深龋、楔状缺损和其他硬组织疾病,就会导致牙髓炎。牙髓炎也是目前口腔中*为常见和多发的口腔疾病之一。牙髓炎的发病原因: 出现牙髓炎主要是因为感染现象,当牙体的硬组织遭到破坏时细菌就会侵入使牙龈受到感染,龋病是引起牙体硬组织丧失的常见病因,其他原因主要有牙齿发育异常导致的牙体缺损,...
2020-03-30 11:21:39
牙周护理能够有效的预防牙周炎,可以很好的解决牙齿问题,主要是利用超声波振动的原理,将牙龈下和牙齿表面的牙垢和软垢清除掉。同时需要做好日常的清洁,如:刷牙、使用漱口水或牙线的方式清洁。牙周护理的价格:一般是100-1000左右不等,具体价格建议到医院了解牙周护理的适宜人群:1、牙齿疼痛2、牙龈出血3、牙龈红肿4、牙周炎牙周护理的禁忌人群:1、有传染性疾病的人2、口腔软硬组织炎急性的人3、患有白血病或...
2020-03-28 11:26:07
根管治疗主要是通过仪器或者化学的方法,去除根管内的感染物,然后填充根管、封闭冠部,防止根尖周病变或让已经发生病变的牙根尖病变愈合。根管治疗的价格:一般是1000-5000左右,具体价格建议到医院了解根管治疗的优点:1、能彻底有效的解决牙髓病或根尖病2、是比较先进的治疗技术根管治疗的缺点:1、价格较贵2、手术步骤较多3、可能出现感染现象根管治疗的术前注意事项:1、术前两周停用抗凝药物2、术前一周禁止...
2020-03-27 11:53:57
拔牙是一种很常见的口腔科治疗手段,当牙齿发生病变严重,治疗不佳或者是无法治疗,需要拔出,以防止炎症扩散,避免对周围健康的牙齿、牙周组织、黏膜造成进一步伤害。 拔牙价格多少钱 一般150-800元/次。 拔牙适合的人群 牙齿疼痛,错位牙,阻生牙,病原牙,病灶牙,埋伏牙。 拔牙禁忌人群 1.有严重的心血管疾病和高血压在180/100毫米汞柱以上的患者。 2.月经期、哺乳期和妊娠期者。...
2020-03-27 11:42:35
树脂贴面它是一种牙齿贴面修复的方式,它将牙齿的表面磨去一层,再采用树脂贴面在口中制作,然后直接或者间接的将其粘结覆盖,很快速、方便的一种方式直接遮住牙齿的颜色。 树脂贴面价格多少钱 一般500-1200元/次。 树脂贴面适合的人群 牙釉质缺失,牙齿变色,黄牙,四环素牙,异常牙,过小牙。 树脂贴面禁忌人群 1.没有足够的粘结面,比如有唇向或舌向错位的牙齿,习惯用口呼吸的,或者上下牙齿...
2020-03-26 12:10:13
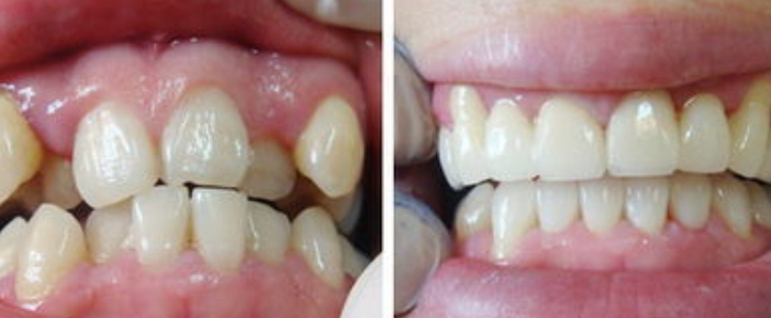
舌侧矫正又称为:舌侧隐形矫正,它是今年才兴起的一种牙齿矫正的方式,它主要是将矫正器安装在牙齿的舌侧面,基本上是看不见治疗的装置,与此同时也不用担心牙齿表面会出现脱钙的情况。 舌侧矫正价格多少钱 一般20000-50000元/次。 舌侧矫正适合的人群 牙齿拥挤,牙齿稀疏,牙齿歪,龅牙。 舌侧矫正禁忌的人群 1.牙周炎活动期患者。 2.患有慢性消耗性疾病,如结核病、血液病患者。 3.高血...
2020-03-26 12:07:50
隐形矫正又被称为:隐形无托槽矫正、无托槽隐形矫正,它是牙齿矫正的一种,其借助3D扫描的技术,进行患者口腔牙颌石膏模型三维数据录入,模型的三维重建,然后在计算机上全方位的观测,模拟出临床矫治的设计,以及牙齿移动的方式步骤,在成形的树脂模型上,压制各阶段的矫治器,然后将矫正器装在相对应的部位,对牙齿进行施压,使牙齿渐渐变的整齐美观。 隐形矫正价格多少钱 一般25000-40000元/次。 隐形...
2020-03-25 12:08:24
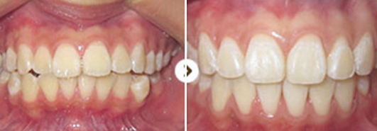
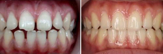
金属托槽矫正现在*常用的就是MBT直丝弓矫正,将其粘结在牙齿上,并对牙齿施加力量,使牙齿移动并排齐,达到求美者想要的效果。 金属托槽矫正价格多少钱 一般7000-20000元/次。 金属托槽矫正适合的人群 牙齿拥挤,牙缝大,地包天,龅牙。 金属托槽矫正禁忌的人群 1.牙周炎活动期患者。 2.患有慢性消耗性疾病,如结核病、血液病患者。 3.高血压、心脏疾病、脑血管等疾病患者。 ...
2020-03-25 12:04:18
贵金属烤瓷牙是的代表金合金烤瓷牙,黄金是*早用于烤瓷牙的金属,它的生物相融性很好,也不与人体组织起任何反应,是很理想的修复材料之一。拥有钛合金的有点,强度高,金与瓷结合也很牢固,瓷粉能在黄金的表面反应自身的颜色,美观。 贵金属烤瓷牙价格多少钱 一般3000-6000元/次。 贵金属烤瓷牙适合的人群 牙列不齐,牙齿缺失,牙缝大,四环素牙,氟斑牙,歪牙。 贵金属烤瓷牙禁忌的人群 1.牙...