每个人都有变美的心,我也一样,我也是比较追求美的,所以说愿意为了美付出时间和金钱。我觉得自己五官长得还算可以吧,是双眼皮,鼻梁也不算那种特别塌的,但唯独我受不了自己的牙齿黄黄的。有的朋友说我太过于追求完美,哪有那么十全十美的人呢,但是对我来说,我愿意尽自己最大的力量让自己更加完美一些,相信一定有和我志同道合的人,我是选择了济南妇幼保健院口腔科,这边进行了一个冷光美白牙齿的项目。

一、济南妇幼保健院洁牙顺利吗?
刚开始来到这里的时候,其实我多少还是有些紧张的,尽管他只是一个简单的口腔护理,但对于我来说我从小还是心里存在着一定的阴影,就比如说我在七八岁的时候,我记忆深刻的是,那个时候因为脱牙没有脱落掉,需要拔牙齿,我竟然做了好几天的梦呢。还好这边口腔科医生他真的很耐心和我交流着有关于冷光美白牙齿的一些流程,我听得明白了,自然而然对于这个手术也了解众多了,毕竟我不再是儿时的自己,作为一名成年人,更应该有勇气。缴了费用,就等待着进行冷光美白牙齿了。

二、济南妇幼保健院口腔科冷光美白牙齿术后情况?
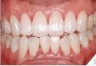
整个的冷光美白牙齿,仅用了30分钟的时间,我就已经收获到了洁白的牙齿,看着自己的这口牙齿就非常的欢喜,之前我牙黄是有原因的,就是因为自己经常爱喝一些深颜色的饮料,比如说咖啡或者是可乐等等吧,所以才让自己的牙齿慢慢的变得色泽不光亮,现在通过这么一个方法让我的牙齿恢复了之前的色泽,而且比之前更加的白净了,笑容自然而然会比之前更加的灿烂,不过在刚刚完成了这个项目之后,多少牙齿还是有一些不舒服的表现,在吃东西的时候会有些酸酸胀胀,所以暂时只能吃一些,不凉不热,比较细软的食物了。

三、济南妇幼保健院口腔科冷光美白牙齿维持时间?
是不是很多人都比较关注于进行了这次冷光美白牙齿之后它会维持多长时间呢?我现在已经进行了这个项目有三个多月的时间了,这段时间我一直对于饮食有所注意,所以说我的牙齿依旧保持的还是那么好,这次经过了一次美白牙齿的项目,也感受到了济南妇幼保健院口腔科医护人员的热情服务,还有他们术后的一个跟踪回访,让我可以感觉到这家医院的正规化,我同时也学到了有关于口腔保养的许多小技巧,真是受用呀,我今后也一定要好好的对待自己的牙齿,好好的刷牙,然后定期的去口腔医院进行检查。

现如今这个社会,其实我们更应该注重自己身体的健康,所以更要保护好自己的牙齿了。能够有一个好的牙齿形象,能够吃遍所有的美食,其实这就是我们目前最为珍贵的一种生活。我现在非常满足于我自己的现状工作,我很认真的完成,然后又是一个特别热爱生活的人。身边好多朋友也发现了,我是在广医二院牙科进行的洁牙项目,要去咨询呢,看来口腔牙齿的问题已经引起了重视。下附济南妇幼保健院口腔科价目表:
| 整形项目价格表 | |
| 整形项目 | 价格参考 |
| 超声波洁牙 | 410-2162 |
| 咖啡牙美白 | 460-2340 |
| 喷砂洁牙 | 311-2213 |
| 色素牙美白 | 402-8028 |
| 四环素牙美白 | 403-7013 |
| 洗牙 | 330-2193 |
| 牙齿冷光美白 | 496-2259 |
| 牙齿抛光 | 395-1586 |
| 牙齿漂白 | 403-2154 |
| 烟渍牙美白 | 490-2154 |
| 冷光美白 | 463-2196 |
| 皓齿美白 | 464-2035 |
| 牙黄变白 | 463-2081 |
| 氟斑牙美白 | 442-2091 |
| 变色牙美白 | 400-2106 |
| 黑牙美白 | 444-2228 |
| 茶渍牙美白 | 446-2211 |
| 牙美白 | 463-2188 |
| 以上价格仅供参考,实际价格请到医院面诊获取! | |
还有整形疑惑?想了解更多整形医院价格信息?
可以点击
【在线咨询】与整形顾问一对一沟通,免费为您提供医院对比、医生对比、价格对比等服务喔~!

