案例详细
牙齿矫正不仅仅是针对牙列不整齐的问题,它的主要目的是矫正各种错合畸形问题。
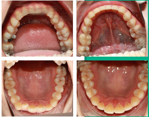
就像是下面深圳华吉登特口腔医院正畸案例里面的前牙反牙合问题,更是需要通过正畸来解决问题。
前牙反牙合其实也就是我们说的地包天,它的主要表现是下颌前突,近中错牙合及前牙反牙合。
出现这样的问题,大多是由于小时候不良的哺乳姿势,乳前牙滞留或早失,上恒切牙先天性缺失或者是不良的生活口腔习惯、乳尖牙磨耗不足,全身性疾病以及遗传性下颌前突多导致的。
一般前牙反牙合有两种情况,一种是齿性的,一种是骨性的。
顾名思义,齿性地包天多是因为牙齿萌出或替换的过程中局部出现障碍导致的,通常只是单纯的前牙反牙合,反覆盖的面积比较小,下颌的形态和大小基本都是正常的。
骨性的地包天多数都是由于遗传或是疾病导致的,前牙反牙合的同时反覆盖的面积较大,并且有颌骨畸形问题。
如果是骨性的地包天问题,在正畸的同时需要配合整形手术才能有明显的矫正效果。
而案例中的患者虽然牙列并没有拥挤的情况,但是有些轻微的前牙反牙合问题,但是幸好反覆盖的面积并不大,属于齿性的地包天问题,所以通过正畸就能起到改善的效果。
通过矫正后的效果能够看到,前牙反牙合的问题已经得到改善,矫正后的效果还是非常明显的。
如果是骨性的问题,效果就不会这么明显的哦~
好了,还有更多牙齿问题想要了解的话,可以直接私聊在线客服咨询吧。
编辑:公子


用户评论