案例详细
案例中的王老先生今年已经七十六岁了,但是因为满口缺牙经常上火,两年前做了活动假牙以为能有所改善,但是谁知道之后上火的更厉害了。
满口的活动假牙导致老先生吃什么都不香,也没有味道,咀嚼起来还非常费力。
活动假牙经常摩擦到牙龈,导致牙龈红肿,去医院磨过几次了,可是不适的感觉一点都没有减少。
而且假牙还要经常取下来清理,非常不方便,生活质量大大的下降,苦不堪言。
武汉德韩口腔的医生指出,目前牙齿缺失修复的方法主要有是那种:活动义齿、固定义齿和种植牙三种,具体做哪一种需要集合老人缺牙的数目和余留牙情况,再综合老人自身想法综合考虑。
然后在三种的牙齿缺失修复方式重,种植牙对于老人而言无疑是理想的修复选择。
相比于传统修复方式需要必备的基托和卡环,种植牙就能更加方便,而且修复后的美观度也更好,清洁也更加方便,舒适感有所大大提升。
另外,种植牙还不需要磨牙,能够更好的保护健康的邻牙,而且能够像真牙一样扎根在患者的口腔中,不会出现牙齿绷瓷或是脱落的现象。
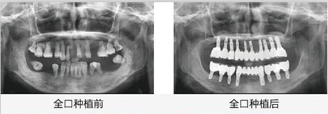
综合以上的优点,王老先生选择了种植牙手术进行了全口牙齿缺失的修复,经过修复后老先生吃饭也香了,牙龈上火的问题也解决了,整个人精气神都有了明显不同,为此家人们也非常开心。
好了,如果你也有牙齿缺失的问题想要咨询,或是想了解手术具体价格等问题,可以直接私聊在线客服咨询哦。
编辑:公子


用户评论