案例详细
当迈入垂暮之年的时候,大部分老人的牙齿都会开始慢慢的一颗一颗的脱落,直到全部掉光。
全口牙齿缺失已经成为现在困扰大部分老人的常见口腔问题,就如同下方案例中的老先生一样。
老爷子已经七十多岁了,自从十多年前开始,牙齿松动脱落的问题就开始出现,期初姑娘还帮老先生做了烤瓷牙修复,但是没过几年烤瓷牙旁边两颗健康的牙齿也开始松动。
自那之后啊,牙齿就开始一颗一颗的掉,导致满口牙齿基本掉了个净光,只能戴上活动假牙来改善一下。
可是假牙用起来更不舒服,先不说嘴里总是有异物感的不适,就连吃饭也有了限制,这不能吃,那不能嚼的,日子过得是越来越焦心。
无意间看到新闻说种植牙好,孩子们带着老爷子满怀希望的去门诊找医生做,结果都是因为缺牙时间太长,长期佩戴活动假牙导致牙槽骨萎缩比较厉害,种植牙手术无法进行,而被拒绝。
直到听一起下棋的棋友通过五爱北路的无锡维乐口腔拥有了一口好牙,老爷子才在家人的劝说下抱着试试看的心态去了医院。
在维乐口腔,医院给老爷子进行了全面的口腔检查,结果还是非常令人欣喜的,那就是可以做种植牙修复啦!
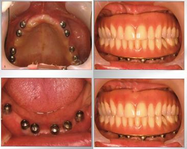
医院告诉老爷子,像他这种牙槽骨情况,可以用ALL-on-4即刻种植修复技术解决,哪怕是比他更厉害的患者,在维乐口腔也可以拥有一口新牙。
经过手术,现在老爷子成功的“长”出了一口新牙,不仅年轻了许多,种完当天就能正常进食,把老爷子开心到不行。
如果你还想了解更多医院案例或价格等信息,可以私聊在线客服咨询哦。
编辑:公子


用户评论