关注微信
首页
整形医院
医生
项目介绍
案例对比
美容社区
上海鼎植永博口腔门诊部
擅长项目:口腔
上海鼎植永博口腔门诊部
上海鼎植永博口腔门诊部
主页
上海鼎植永博口腔门诊部
预约项目
上海鼎植永博口腔门诊部
医院简介
上海鼎植永博口腔门诊部
医生
上海鼎植永博口腔门诊部
案例
上海鼎植永博口腔门诊部
相册
上海鼎植永博口腔门诊部
认证信息
上海鼎植永博口腔门诊部
医院预约
医院简介
上海鼎植永博口腔门诊隶属于鼎植医生集团,是集团旗下的直营连锁品牌,门诊内开设有种植、正畸、儿童牙科、全科治疗等口腔专科,拥有临床经验丰富的专业医疗团队,配备了前沿先进的数字化口腔诊疗设备,院内严格按照卫生部要求的标准消毒程序执行,为市民解决各类口腔问题。
READ MORE
医生团队
高振华
擅长:口腔
医院案例
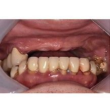
上海鼎植永博口腔全口即刻负重种植牙案例公开!
医院相册
上海鼎植永博口腔门诊部外景
上海鼎植永博口腔门诊部前台
上海鼎植永博口腔门诊部环境
上海鼎植永博口腔门诊部医师团队