全瓷牙 别名:全瓷冠

在牙齿缺失部位种植全瓷牙齿。

全瓷牙 小档案

  • 价格¥5000~25000
  • 类型其他
  • 效果持续 长久
  • 麻醉方式局部麻醉
  • 住院治疗不需要
  • 拆线天数
  • 治疗次数
  • 治疗时间

全瓷牙项目百科

一、全瓷牙介绍

1. 颜色自然逼真、不良反应相对较少。
2. 可长久保持。
3. 适应范围较广,对于多种牙齿畸形可同时矫正。

二、全瓷牙治疗方法

全瓷牙与烤瓷牙的制作原理基本相似,只是牙冠的里层和外层均由磁粉烤炙而成,与烤瓷牙相比不但避免了金属材质的敏感性,又增加了牙冠透明度,使外观更加自然亮白,不过全瓷牙价格更高。
1. 术前准备:根据需要对患牙进行设计和记录。
2. 麻醉。
3. 对患牙进行相关处理,如磨削、调整牙龈等。
4. 取模:采用硅橡胶印模材料制取印模。
5. 比色:在自然光或标准光源下,根据临牙及患牙本身的颜色选取适合的颜色。
6. 制作临时牙冠,而后进行试戴和相关调整。
7. 粘固:正确选用粘接剂将烤瓷牙与修正后的残牙进行吻合。

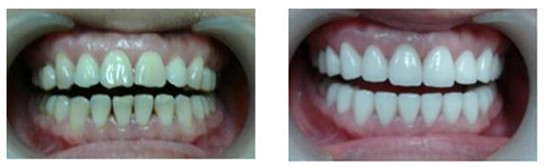
三、全瓷牙治疗效果

1. 美白,美观自然。
2. 保护牙齿。
3. 密闭性好。

四、全瓷牙术后恢复

(一)全瓷牙恢复期

(0-1)天 恢复期

(7-10)天 间隔期

(二)全瓷牙恢复提示

(0-30)天 避免用其切割坚韧食物,以预防修复体受损;初戴修复体时有轻度不适感,患者应耐心练习使用,逐渐适应;初戴时应吃软的食物,适应后再吃正常食物

(三)全瓷牙护理方法

(0-30)天 修复后应尽量避免用其切割坚韧食物,以预防修复体受损;作好每日自我清洁,如:用牙线清洁等,以预防牙龈发炎。应定期就医随访。

(四)全瓷牙注意事项

(0-30)天 修复后应尽量避免用其切割坚韧食物,以预防修复体受损;作好每日自我清洁,如:用牙线清洁等,以预防牙龈发炎。应定期就医随访。

相关医院

  • 没有找到相关数据…

相关医生

  • 没有找到相关数据…

全瓷牙美容项目

  • 没有找到相关数据…

全瓷牙真实整形案例

  • 没有找到相关数据…
  • 项目介绍
  • 治疗方法
  • 治疗效果
  • 术后恢复
  • 相关医院
  • 相关医生
  • 相关项目
  • 相关案例
扫码添加微信咨询更多整形