牙齿美白的价格也是较多牙友比较关心的,那么关于牙齿美白的收费这里已经整理出来了。

牙齿美白的价格不是一成不变的,也是由较多因素影响而成的,像美白的方式,美白的牙齿数量,美白牙齿的材料等不同,价格也会不一样的。
常见的牙齿美白的方式有冷光美白,牙齿贴面,全瓷牙和烤瓷牙等,这些方式的价位都是不同的。

先来说说冷光美白吧,冷光美白是通过冷光的方式将药物渗透到牙齿的组织中,来达到牙齿美白,这是一种化学的漂白的方式,会对牙齿的牙釉质损伤比较大。
这样的方式也是比较常见的,通常在做完后会有牙齿酸软的感觉,但是一段时间就会消失,而对于一些比较厉害的氟斑牙,四环素牙这样的方式可能不会较好的达到。
冷光美白的价格也是根据个人口腔情况来定的,一般的收费就在3000元左右。

而烤瓷牙则是通过烤瓷牙冠的方式,带上和牙齿颜色相近的,从而改变牙齿发黄,四环素牙齿的现象,而且还会对牙齿起到比较好的矫正,但缺点是需要磨除牙齿。
对于烤瓷牙的伤害是较多牙友比较在乎的,因此较多牙友美白不太会选择这样的方式,而且价格也会比较高一些,具体在20000元左右。

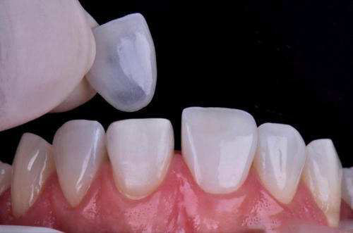
牙齿贴面是目前比较流行,也是做的比较多的方式,是以和牙齿大小颜色形状相似的材料扣在牙齿上,来掩盖本来发黄的牙齿,而贴面的材料是比较多的,通常见到的贴面有瓷贴面,树脂贴面等。
瓷贴面对于牙齿是没有疼痛的,也不会有创伤,磨牙这样的损伤,就可以轻松的使得牙齿变白。

而树脂材料的贴面,目前会有变色脱落的声音出现,相对于来说还是会有磨牙的问题存在。
瓷贴面和树脂贴面的价格也是不同的,树脂的材料比较便宜,价格会低一些,通常在800元一颗左右,而且瓷贴面的话大概要1000元左右一颗,但是也是要根据个人口腔情况来看的。

以上价格仅供参考,具体以到院为准,更多收费详情可以联系在线客服咨询。
编辑:小喵









