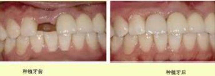
种植牙是将金属种植体(相当于牙根)植入牙龈下的牙槽骨中,通常采用钛合金种植体。然后医生在种植体上面作烤瓷冠修复,如果需要,可以考虑接受牙龈成形手术,以求完美的软组织美学效果。
1.术前设计方案。
2.麻醉
3.通过手术将种植体植入骨内。


1、比传统假牙易于清洁。
1、治疗周期长,一般需要上颌牙三个月,下颌牙六个月。
2、治疗费用比一般镶牙贵等。
1、手术前确定身体健康,无传染病或其他身体炎症。
2、术前一周内停止饮酒、服用阿司匹林、维生素E等扩血管药物。
3、吸烟者需要提前一周戒烟。
1.术后24小时内不要刷牙及用清水,因过频漱口可能导致牙齿渗血,但餐后可用漱口液漱口,防止口内食物残渣残留,术后2小时即可适量进食饮水,食物不要过冷过热。
2.术后常规使用抗生素。复杂的种植手术需要静脉应用抗生素,以预防感染。
3.手术当天,术前病人应正常进食,术后进食软食、流质等。
4.由于患者体质及手术过程不同,有些会出现局部水肿及瘀斑,一般持续3-5天左右。
5.正常术后7-10天拆线,及时拆线可以预防局部感染。