烤瓷牙可以用多少年?烤瓷牙应该怎么护理?烤瓷牙真实案例
现在人们对于美丽已经不单纯之关心面部的颜值了,对于牙齿的问题,也已经开始重视,因为牙齿不仅仅是不美观,如果问题严重还会影响健康,所以很多人开始寻找整形的方法。而烤瓷牙就是其中的一种修复牙齿的方式,很多人在手术之前最担心的就是烤瓷牙的寿命,今天就带大家了解一下:烤瓷牙可以用多少年?烤瓷牙应该怎么护理?烤瓷牙真实案例

一、烤瓷牙可以用多少年?
其实只要在手术的时候找一家比较专业的医院进行手术,就会延长其的使用寿命,一般可以维持10年左右,但是也会因为这几个因素缩短使用的寿命。
1、烤瓷牙的材料
牙的材料分为很多种,也有一些质量比较差的烤瓷牙,如果是选择离开这种质量差的牙齿,就会缩短使用的寿命。

2、医生的技术
一个专业的医生技术肯定是非常好的,那么牙齿的手术操作就会得当,所以之后的咀嚼食物也是没有什么问题的,但是如果选择一个没有经验的医生做手术的话,手术操作不当会让牙齿过早的出现松动的迹象,这样一来就会减少使用的寿命
3、个人的护理
众所周知,任何一项手术都是需要护理的,这个也是一样,只要护理做好了,使用的寿命就会延长一点。

二、烤瓷牙应该怎么护理?
1、刚进行完手术的时候,一定要注意护理,这段时间不要食用硬的食物,因为无论是自己的还是刚带上的烤瓷牙,它所承受的力度都是有限制的,如果超过这个承受的力度,就会影响它的使用寿命
2、手术后应该注意牙齿的清洁,如果觉得自己清洁不彻底,可以到医院找医生进行清理。

三、烤瓷牙真实案例

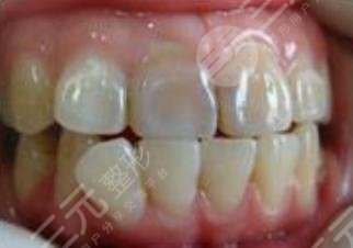
我是一个小吃货,但是也因为这个原因,让我的牙齿坏了很多,后来就逐渐长的歪斜,我改不掉自己的习惯,那么我只能是找一个解决问题的办法了,于是我就决定做一个烤瓷牙,也听说这个效果是很好的,我就找了一家医院进行手术,医生做了一些手术的工作,随即就开始了手术。医生给我注射了麻药,然后就开始磨牙,虽然这个过程听起来还是蛮恐怖的,但是我没有疼痛,手术的过程很复杂,医生磨完牙以后,首先先给我带上了临时的牙套,不过虽然是临时的,我感觉也比我之前的牙齿状态好,等过段时间才能带上我的烤瓷牙了,所以我还是要再等待一段时间的。

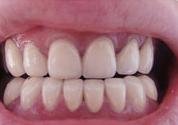
手术后1个月:这几天一直都带着临时的牙套,我都逐渐习惯了,哈哈。医生通知我来医院换取新的烤瓷牙,我如约来到医院,经过手术,医生给我把烤瓷牙带上以后,我的牙齿就成了这个样子,白白的,整整齐齐的,看起来很有气质,这个洁白整齐的牙齿让我的形象上升了不少,我很喜欢我的牙齿。现在的整形技术就是好,只有想不到的,却没有做不到的,用这句话来形容真的是很贴切。
三元整形网温馨提示:未满18周岁的青少年不宜做整形手术!
以上关于【烤瓷牙可以用多少年?烤瓷牙应该怎么护理?烤瓷牙真实案例】的内容只是一个大概,想了解更多整形知识、价格信息,可以点击 【在线咨询】一对一沟通

