爱尔创全瓷牙价格多少钱一颗,能用几年?优缺点&效果图超全分享!
牙齿整形改变是求美者们现在经常会进行的热门项目,因为大家深刻的知道一口整齐结白的牙齿会给面部的整体形象带来什么。在众多的牙齿当中,其中爱尔创全瓷牙就是很多求美者都会选择的一种,这个牙齿的手术价格一定是求美者们想要了解的,究竟是多少呢?一起来看:爱尔创全瓷牙价格多少钱一颗,能用几年?优缺点&效果图超全分享!
爱尔创全瓷牙价格多少钱一颗

这个牙齿的价格有一千多的,也有两千多的,也有上万的,不过这也是一个大概的价格,因为每个医院的收费价格不一样,所以价格也会有所不同。还有就是这种牙齿也分为国产和进口的,一般进口的要贵一点,所以手术的价格也是和求美者的选择有一定的关系。其次就是和求美者的需求有关,一般牙齿需要的牙齿颗数多,那么费用就会贵一点。不过虽然贵,但是这个手术的效果是非常好的,而且对人体没有副作用,所以是求美者们牙齿改变的一个好选择。
| 国内烤瓷牙2021年价格表参考 | |
| 整形项目 | 价格参考 |
| 烤瓷牙补牙 | 1493-15406 |
| 烤瓷牙种植 | 1681-24731 |
| 全瓷牙种植 | 2499-28214 |
| 合金烤瓷牙 | 2884-29523 |
| 贵金属烤瓷牙 | 2522-29418 |
| 二氧化锆全瓷牙 | 2588-27633 |
| 镶牙 | 2605-26829 |
| 牙冠 | 2804-30739 |
| 前突牙 | 2561-25648 |
| 内收牙 | 2469-30182 |
| 牙齿脱落 | 2970-31376 |
| 微创种植 | 2611-29596 |
| 活动假牙 | 2943-26023 |
| 假牙 | 2429-26453 |
| 以上价格仅供参考,实际价格请到医院面诊获取! | |
爱尔创全瓷牙能用多久
这个使用的时间是和求美者的护理有很大的关系的,一般能够使用十几年左右的时间,也有求美者会因为护理的好终身受用,所以具体的寿命是看个人的,如果平时对口腔不加以保护,比如不卫生、或者是经常吃一些硬的食物,对牙齿的使用寿命都是有很大的影响的。

爱尔创全瓷牙优点和缺陷
优点:
1、这个牙齿无论是使用多长的时间,都不会有牙齿变黑的情况出现
2、没有任何的副作用
3、牙齿的外观特别的真实,就和天生的牙齿一样
4、使用的年限很长,材料本身坚固、耐磨
缺点:
1、有这么多的优势,那么它的价格就会比其他牙齿价格贵很多
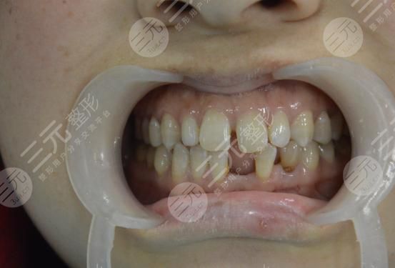
爱尔创全瓷牙整形案例

我的上面的牙齿缝隙较大,而且下牙有一颗已经掉了,我自己感觉说话不清楚就是因为牙齿的问题,走风漏气的,所以我就决定进行改变。我来到医院以后,医生说我的牙齿问题很好解决,缺牙的位置重新种植一颗适合的牙齿,上面的缝隙可以用树脂关闭,我觉得这个计划可行,于是就同意了医生的建议,手术的操作就开始了。我选择的是爱尔创全瓷牙,据说这个牙齿和我的真的是一样的,做完就知道效果了。

手术完成后:手术操作的当中,我的牙齿一直被东西撑开着,手术因为完成的很快,所以也没有多么的难受,当时做完以后,我可就是有点不习惯,不过我的问题已经都解决掉了,我这个时候看见还是比较满意的。

手术后2个月:自从做了这个改变以后,我的微笑更加有魅力了,我现在的效果很自然。我认为的美应该和牙齿是有很大的关系的,以前我都是笑不露齿,因为牙齿的问题被别人看到就会取笑我的,现在我总算明白了,有问题不能够一直想办法去掩饰,而是找办法进行解决,我的这个牙齿已经变得完美了,很满意。
三元整形网温馨提示:未满18周岁的青少年不宜做整形手术!
以上关于【爱尔创全瓷牙价格多少钱一颗,能用几年?优缺点&效果图超全分享!】的内容只是一个大概,想了解更多整形知识、价格信息,可以点击 【在线咨询】一对一沟通

