预约
挂号
联系
我们
就诊
指南
常见
问题
返回
顶部
请输入关键字
92岁老人心梗后室间隔穿孔 我院心脏内科团队通过微创介入技术成功救治 2022.12.07

近日,我院心脏内科冯沅教授、赵振刚副教授及李翔医师与麻醉科彭玲、谭赵霞老师密切协作,在超声心动图室梁玉佳副教授的超声辅助下成功地为一名罹患急性心肌梗死并发室间隔穿孔的92岁超高龄患者成功实施了体外膜肺氧合(extracorporeal membrane oxygenation,ECMO)支持下经皮室间隔穿孔介入封堵术。据了解,为90岁以上高龄患者成功实施经皮室间隔穿孔介入封堵的案例在国内外鲜有报道。

患者为92岁女性,入院前1周突发胸骨后闷痛,因胸痛程度不剧烈且症状自行缓解,误以为是胃肠道疾病,未予重视;后逐渐出现恶心、四肢乏力、气促、端坐呼吸等症状,由家属送至我院急诊科。急诊行心电图提示患者前壁心肌梗死,进一步完善心脏彩超见室间隔心尖段变薄、搏幅减低,探及大小约19mm回声失落,合并室间隔穿孔。

from clipboard

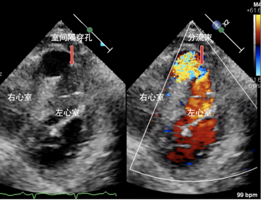
术前心脏彩超显示室间隔近心尖处穿孔及左向右分流束

from clipboard

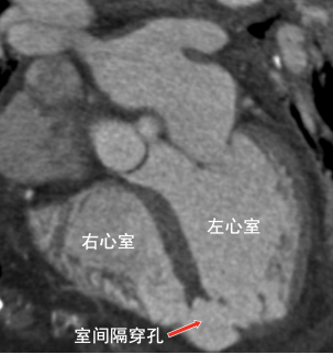
术前增强CT显示室间隔近心尖处穿孔

患者心力衰竭、病情危重,死亡风险高,收入心脏重症病房进行监护治疗。经过积极的强心、利尿、抗血小板等内科治疗后,患者生命体征相对平稳,转入普通病房继续治疗。但心衰症状仍然较重,并反复出现急性左心衰。心脏内科、心脏大血管外科联合讨论认为患者有手术指征,但是患者高龄,开胸体外循环手术修补难以实施;综合考虑介入治疗是合适方案,并制定了详细的手术策略。

术中首先经皮建立ECMO,行左心室造影见室间隔近心尖多发性大缺损,遂经股动脉、主动脉、左心室、室间隔穿孔处、右心室、右心房、上腔静脉、右颈内静脉成功建立轨道,再经颈内静脉沿轨道钢丝顺利送入输送鞘及封堵器成功实施封堵。术后心脏彩超及造影显示封堵器位置稳定,残余少量分流,右室及肺动脉压力明显降低,达到预期治疗效果。术后患者血流动力学稳定,即刻撤除了ECMO。术后当天拔除气管插管,次日转回普通病房。患者术后恢复顺利,症状明显改善,无严重并发症发生,术后两周康复出院。

from clipboard

术后复查胸片显示封堵器位置稳定

from clipboard

术后患者照片

室间隔穿孔是急性心肌梗死的严重并发症,尽管急性心肌梗死患者中仅有1%~2%并发室间隔穿孔,但一旦发生往往迅速出现心力衰竭、心源性休克,死亡率极高。据文献报道,接受内科保守治疗的心梗后室间隔穿孔患者中,约25%在1天内死亡,50%在1周内死亡,80%在4周内死亡。外科手术修补和经皮介入封堵是室间隔穿孔的有效治疗手段,但由于疾病本身比较凶险且手术技术挑战大,患者术后30天死亡率仍可达20%~50%。

80岁以上的高龄心梗后室间隔穿孔患者,由于全身脏器功能减退、加之近期遭受心肌梗死,循环负荷显著增加,即使是微创伤的经皮介入封堵也存在极高的手术风险,目前国际上在该类患者中进行介入封堵治疗的经验有限,为90岁以上的心梗后室间隔穿孔患者成功实施介入封堵治疗的案例更是鲜有报道。该例超高龄患者病情危重复杂,术中发生恶性心律失常、循环崩溃甚至心跳骤停的风险极高,同时室间隔穿孔面积大、穿孔周围组织较脆弱等因素,手术操作技术难度较大。

我院心脏内科等多学科团队完善手术规划、术中有效配合,仅用时2小时即成功完成介入封堵,并即刻撤除ECMO。患者术后恢复良好,心衰症状明显缓解,无严重并发症出现,目前已康复出院。手术成功实施充分体现了我院作为西部疑难危急重症诊疗中心的定位和担当,以及在心脏介入、麻醉、危重症监护等方面的协作水平及综合实力。

编辑:袁婧 周亮 来源:心脏内科
基本信息填写
您的姓名:
联系方式:
电子邮箱:
问题类型:

select…

  • 内容无法访问
  • 信息不更新
  • 内容不准确
  • 错别字
  • 图片不准确
  • 其他
问题页面网址:
问题描述:
验证码: