近日,我院肺癌中心周清华教授团队为一例罕见巨大纵隔肿瘤压迫心脏、侵犯心包伴肺功能极重度受损的29岁男性患者成功实施“纵隔肿瘤切除+部分心包切除术+心包补片修补重建+左肺上叶前段切除+左肺上叶下舌段切除术”。纵隔肿瘤直径超过20厘米,手术历时5个小时,目前,患者已顺利康复出院。
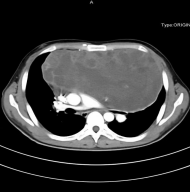
该患者去年8月突发胸闷于当地医院就诊,胸部CT发现了前纵隔巨大占位,大小约15.3cm×14.2cm。患者于当地医院进行穿刺确诊为“生殖细胞瘤”后进行3周期化疗,但是化疗后复查CT发现肿瘤进行性长大,今年2月前复查CT提示纵隔肿瘤最大截面“20.4cm×16.1cm”。患者心脏及纵隔大血管受压明显,本来位于左侧的心脏,被肿瘤挤压到了右侧胸腔,且出现了严重的呼吸系统和循环系统受累。跑遍各地多次求医无果后,患者及家属抱着最后一线希望找到我院肺癌中心周清华教授。

图1:患者术前胸部增强CT显示前纵隔巨大肿瘤
患者自患病以来体重已下降近15kg,周清华教授初次见到该患者时,发现患者呼吸困难明显,心跳加速,平均心率达120次/分,且面色苍白、身体明显消瘦。纵隔生殖细胞瘤部分具有生长迅速、呈恶性生长的特性,若再不接受手术治疗,患者将随时面临生命危险。但是如此巨大的肿瘤,对患者和医护人员而言都是一场挑战。术中,患者随时可能出现呼吸和心脏骤停;术后,也可能出现肺部感染、呼吸衰竭、多器官功能障碍等并发症。时间不等人,周清华教授第一时间将患者收治入院,在与肿瘤科、呼吸科、麻醉科反复讨论后,确定了手术方案。为了完整切除肿瘤的同时,将手术对患者心肺功能的影响降到最低,周清华教授团队制定了全面详尽的突发情况应对措施。


图2:术中周清华教授团队为患者摘除巨大纵隔肿瘤
手术如期进行。当患者胸骨打开后,周清华教授团队发现巨大纵隔包块占据了几乎整个胸腔,其不但推移压迫了患者孱弱的心脏,而且还和周围组织、血管紧密地粘连在了一起。周清华教授团队凭借着精湛的手术技巧,与麻醉、护理团队密切配合,历经5个小时,成功为患者摘除这个“23cm×18cm×15cm”的巨大纵隔肿瘤,术后称重其重量高达8.7kg。术后通过一周的快速康复治疗、医护团队精心照护以及患者自身的恢复锻炼,患者顺利出院。
图3:术后一周患者及家属与肺癌中心医务人员合影留念
此次手术的成功攻坚,再一次展现了以周清华教授为学科带头人的肺癌中心团队敢于攀登医学顶峰的华西水平,体现了以人为本、竭尽全力为患者除病痛的华西医德,彰显了我院多学科协作的紧密合作、团结一致的华西优势。