我们会尽快处理。
您的位置: 聚美网 > 百科 > 口腔美容 > 地包天门牙缝隙大可以做牙贴面吗?牙缝大做牙齿贴面到底好不好?
发布时间:2023-03-23 13:32:04
阅读:
牙齿贴面是近年来很受大家欢迎的一种牙齿美白方法,它能够修复牙齿表面缺损、美白牙齿,让人拥有一口洁白整齐的牙齿。但是有小伙伴不太了解自己的牙齿状况能不能做牙贴面,下面就为大家整理一些常见问题。

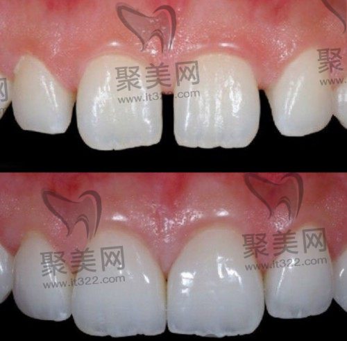
门牙缝隙大能做贴面吗?
门牙缝隙大师非常影响美观的事情,可以通过正畸或者做牙贴面来改善,如果牙齿一切正常,没有咬合问题,只是单纯的牙齿缝隙大,就可以做牙齿贴面来遮盖过大的缝隙。但是在做牙贴面之前,一定要先进行牙齿检查,确保没有牙周炎、牙龈炎等牙齿健康问题,如果有就要先治疗,再进行贴面,否则就算做了贴面,牙齿缝隙也会越来越大。

地包天能做牙贴面吗?
地包天是牙齿发育畸形或者牙槽骨畸形,通常存在咬合问题,因此不适合直接做牙齿贴面,单纯的牙齿贴面不能促使牙齿重新排列,引起地包天的原因有牙齿生长问题和颌骨发育异常,如果是牙齿问题引起的,可以先进行矫正牙齿,如果是颌骨发育异常引起的,就需要先进行正颌手术。通过矫正使牙齿变得整齐之后再做牙齿贴面,让牙齿更加洁白。

牙齿贴面的使用寿命是多久?
牙齿贴面可使用时间的长短与做牙贴面时所使用的材料有关,一般来讲,树脂材料因为容易老化,因此时间较短,大概在五年左右,全瓷贴面大概可以维持十多年,当然除了和材料有关外,还和医生的操作技术、做完之后的使用和维护以及日常生活中口腔卫生的清洁有关,通常来说做完牙贴面,医生都会告诉患者需要注意的事项,因此不用过于担心。

全瓷牙贴面的好处?

1、全瓷牙贴面磨牙比较少,对牙齿损伤较小,可以保护自体牙齿的健康。
2、更加仿真,全瓷贴面颜色质地都非常接近天然牙齿,非常自然,更加美观。
3、全瓷贴面比树脂贴面材质更加坚硬,因此使用寿命更长。
从上述几点来看,全瓷牙贴面真是优点多多,虽然价格相对更贵一点,但是使用时间更长,还是比较划算的。

以上就是小编为大家整理的关于牙齿贴面的常见问题,具体能不能做牙贴面还是需要去医院进行检查过后根据自身情况来定,需要注意的是,在做牙贴面之前,一定要先解决牙周病等牙齿健康问题,在做完之后也要注意维护,时刻注意保持口腔清洁,定期检查,才能让牙齿时刻保持健康洁白!
牙缝大除了做牙齿贴面修复以外,不想做牙齿矫正,太麻烦了,还有什么好的方法吗?
来自网友点评 | 发布于2023-03-28 09:12:00
优惠
上海金高医院口腔科种植牙集采落地,韩国进口种植牙价格2588元起!
2023-04-26 17:36:46
厦门拜瑞口腔51优惠活动即将来临,种植特惠价2380元起丨矫正8800起!
2023-04-23 09:19:39
深圳麦芽口腔五月看牙活动全线开启,韩国进口种植牙低至3223元/颗
2023-04-21 16:02:04
成都温江美都整形医院优惠活动来袭,价值2224元美肤套装仅需51元起!
2023-04-17 15:52:26
北京好牙口腔连锁4月份优惠活动来袭,奥齿泰种植牙价格仅2980元起!
2023-04-07 19:36:28
徐州紫浩口腔响应种植牙集采,韩国品牌种植牙价格仅2380元起!
2023-03-24 17:36:24
美容