我们会尽快处理。
您的位置: 聚美网 > 百科 > 口腔美容 > 不同阶段的四环素牙图片分享,来看四环素牙和氟斑牙有什么区别?
发布时间:2023-04-20 15:00:49
阅读:
牙齿颜色发黑、发黄,会影响美观,让很多人不敢漏齿大笑,从而产生自卑心理,更重要还会影响我们的口腔健康,今天小编就给大家简单介绍一下四环素牙不同阶段的表现、与氟斑牙有什么区别以及四环素牙的预防、治疗等,让大家能够更好地判断自己的牙齿情况,及时就医,恢复健康洁白的牙齿,一起来看看吧!

不同阶段的四环素牙有什么表现?
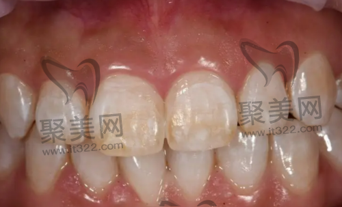
早期阶段的四环素牙表现为淡黄色或者微微的灰色。

中期段四环素牙的牙齿颜色有棕黄色或者黑灰色不等

重度四环素牙牙齿表面有损伤,颜色为褐色或灰黑色,牙釉质发育不全

四环素牙和氟斑牙有什么区别?
四环素牙和氟斑牙都属于色素牙,牙齿表面会呈现出黄、褐、灰、黑等不同颜色,但其实四环素牙和氟斑牙是有区别的,区别就在于四环素牙是结合在牙组织内部,而氟斑牙是在牙釉质表面,因此二者的形成原因和外观表现是不同的。
四环素牙

四环素牙是因为儿童在牙齿发育矿化期或者母亲怀孕期间,因为服用四环素药物,四环素被结合到牙齿内部,导致牙齿染色,初期为黄色,随着时间的延长逐渐演变为褐色或者灰黑色。
前牙较为明显,乳牙因为牙釉质比较薄,遮不住牙齿内部四环素结合的颜色,所以更为明显。
氟斑牙

氟斑牙形成的主要原因就是氟元素摄入过多,大多数情况下就是饮用含氟量较多的水,也有小孩刷牙时会吞咽含氟牙膏的原因,主要症状就是牙齿颜色的变化,不及时治疗会造成牙釉质的损伤。
氟斑牙牙齿颜色变化在表面,会出现白粉笔块状的颜色,主要是恒牙会产生氟斑牙,乳牙基本上不会出现在何种情况。
如何预防四环素牙?
想要正确预防四环素牙,就需要在服用药物时特别注意,尤其是母亲在怀孕期间就要对此有清晰认知,避免使用四环素类药物,以及孩子在8岁之前同样也是要避免服用四环素类药物,这个阶段是孩子牙齿发育嘴容易受到外界影响的一个阶段,正确用药,孩子的牙齿才能美观健康。
出现四环素牙之后如何治疗?
轻度的四环素牙治疗可以进行牙齿美白修复技术,像冷光美白等,比较轻松容易;
中度四环素牙美白已经无法较好地改变,可以使用牙贴面,磨损一点的真牙,将贴面修复材料通过一定的方法粘在牙齿表面,可以使用瓷贴面,自然逼真而且健康持久;
重度四环素牙可以使用树脂材料填充遮盖或者烤瓷冠、全瓷冠修复来治疗。

以上就是小编今天为大家带来的关于四环素牙的相关小知识,如果你或者家里小朋友也有四环素牙、氟斑牙的烦恼,可以联系客服帮你推荐好的口腔机构,早日摆脱烦恼、自信开怀大笑!
优惠
上海金高医院口腔科种植牙集采落地,韩国进口种植牙价格2588元起!
2023-04-26 17:36:46
厦门拜瑞口腔51优惠活动即将来临,种植特惠价2380元起丨矫正8800起!
2023-04-23 09:19:39
深圳麦芽口腔五月看牙活动全线开启,韩国进口种植牙低至3223元/颗
2023-04-21 16:02:04
成都温江美都整形医院优惠活动来袭,价值2224元美肤套装仅需51元起!
2023-04-17 15:52:26
北京好牙口腔连锁4月份优惠活动来袭,奥齿泰种植牙价格仅2980元起!
2023-04-07 19:36:28
徐州紫浩口腔响应种植牙集采,韩国品牌种植牙价格仅2380元起!
2023-03-24 17:36:24
美容