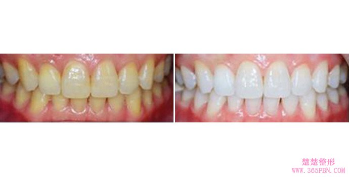
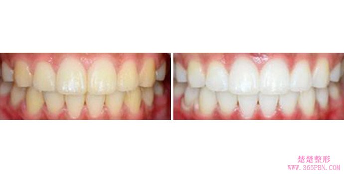
效果展示



项目简介
超声波洗牙,是通过超声波的高频震荡作用去除牙石、菌斑和色素清洁牙面,以延迟菌斑和牙石的再沉积;其具有高效、优质、省时省力的特点,对牙面的损害极小。 ...
项目档案
约50~500元/次(参考价格)
9.5分
否
93
是
8%
是
30分钟左右
否
0-7天
低
6个月左右
低
非常满意7% 满意 60% 一般 30% 不满意 4%
项目优点
项目缺点
禁忌人群
置有心脏起搏器、血液病如急性白血病、再生障碍性贫血,艾滋病患者;未受控制病情的糖尿病、高血压、急性牙周脓肿患者。
她们也做了
常见问题
· 济南市中莱特口腔怎么样?整理收费|营业时间|地址进行了解
· 江西臻品口腔门诊部怎么样?这有真实牙友评价一看便知
· 月子中心可以打折吗?如何在月子中心获得优惠?
· 月子中心可以产检吗?月子中心可以进行基础的产前检查
· 月子中心会不会抱错孩子? 月子中心如何避免抱错孩子
医院推荐
北京小忠丽格医疗美容医院
武汉中翰整形外科医院
武汉爱尚整形医院
武汉同济医学院医院整形科
武汉维纳斯博爱整形医院
武汉涵美整形医院
推荐医生

版权归新星整形网所有@ 备案号:蜀ICP备2021027182号-1