效果展示



项目简介
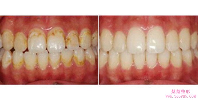
牙齿抛光是指利用抛光器械,通过慢速橡皮轮使用抛光膏,研磨牙齿表面,来清除牙面上,外在色素和龈上菌斑,使牙齿表面更光滑,减少脏东西在牙齿表面的附着,并且能够使口感更好;其治疗,不仅不会对牙齿造成损害,而且对牙龈炎有良好的治疗作用。 ...
项目档案
约50~200元/次(参考价格)
8.2分
否
92
是
4%
是
10-20分钟
否
1-3天
低
1-2年
低
非常满意8% 满意 72% 一般 28% 不满意 4%
项目优点
项目缺点
禁忌人群
牙釉质矿化不全者,如牙釉质发育不全、氟斑牙等;患有龋齿或龋齿的易感人群;牙本质过敏症;患有哮喘、肺气肿等呼吸系统疾病的患者;瓷质种植牙;牙龈水肿、有自发性出血者;患有急性呼吸传染性疾病者。
她们也做了
常见问题
· 济南市中莱特口腔怎么样?整理收费|营业时间|地址进行了解
· 江西臻品口腔门诊部怎么样?这有真实牙友评价一看便知
· 月子中心可以打折吗?如何在月子中心获得优惠?
· 月子中心可以产检吗?月子中心可以进行基础的产前检查
· 月子中心会不会抱错孩子? 月子中心如何避免抱错孩子
医院推荐
北京小忠丽格医疗美容医院
武汉中翰整形外科医院
武汉爱尚整形医院
武汉同济医学院医院整形科
武汉维纳斯博爱整形医院
武汉涵美整形医院
推荐医生

版权归新星整形网所有@ 备案号:蜀ICP备2021027182号-1