案例详细
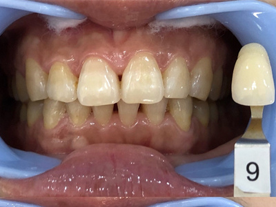
该男子常年吸烟,所以存在烟渍牙、黄牙的情况。牙齿黄黄的而且牙缝也大,影响形象不说也容易遗留食物残渣造成口臭、牙周炎等不良现象。
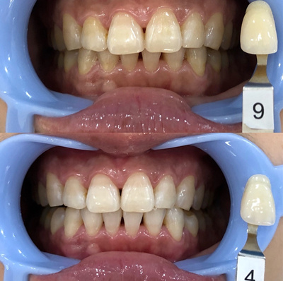
可以看到比色卡对比出来,原牙色号是9号。而且门牙、下牙的牙缝也是清晰可见,所以大家不只要每天按时刷牙,也要记得定期洗牙,清洁牙结石避免牙缝变大。
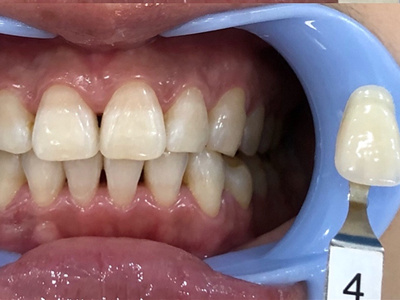
使牙齿美白后,这位先生的牙齿明显变白,牙缝也小了不少,这时候已经达到了比色卡4号色的程度,仿佛褪去一层黄黄的外衣,微笑更添魅力。
瑾帆口腔引进了很多新设备、新技术,在桂林当地口碑佳名声好。普通牙齿美白后可能会出现牙酸、牙齿敏感的现象,但是瑾帆口腔的医生们都身经百战、技术拿捏。为了患者的牙齿美白体验更加,通常会谨慎操作,小心避开神经系统。
据这位先生反馈回家后该吃吃该喝喝,没有牙齿不良反应,牙齿白了整个人精气神都好了很多。
再把两张照片和在一起看,视觉冲击是不是瞬间出来了,爱护牙齿健康,也要爱护牙齿美观哦 ~


用户评论