关注微信
首页
整形医院
医生
项目介绍
案例对比
美容社区
桂林周瑾帆口腔诊所
擅长项目:口腔
桂林周瑾帆口腔诊所
桂林周瑾帆口腔诊所
主页
桂林周瑾帆口腔诊所
预约项目
桂林周瑾帆口腔诊所
医院简介
桂林周瑾帆口腔诊所
医生
桂林周瑾帆口腔诊所
案例
桂林周瑾帆口腔诊所
相册
桂林周瑾帆口腔诊所
认证信息
桂林周瑾帆口腔诊所
医院预约
医院简介
桂林当地的口碑之选,青少年儿童种草较多的口腔医院。擅长青少年儿童早期干预矫治、种植牙、口腔正畸等各种口腔疾病。
READ MORE
医生团队
周瑾帆
擅长:口腔
陈蔚蔚
擅长:口腔
李冉洲
擅长:口腔
医院案例
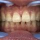
瑾帆医院口腔牙齿美白案例
医院相册
瑾帆医院环境图
瑾帆医院地址
瑾帆医院内部环境图
瑾帆医院医疗设备图
瑾帆医院走廊图