我们会尽快处理。
您的位置: 聚美网 > 百科 > 牙齿修复 > 牙齿打桩做冠多少钱一颗?来看看牙齿打桩做牙冠的流程图
发布时间:2023-04-19 18:33:35
阅读:
有些小伙伴在做完根管治疗后,会被医生告知需要给牙齿打桩,然后再做牙冠修复,那么为什么需要打桩才能做牙冠呢?打桩做牙冠一颗多少钱?怎么做的?今天小编就这一相关问题为大家一一解答。

打桩做牙冠一颗多少钱?
相信这是很多朋友都关心的问题,在牙齿上打桩做牙冠,它的费用就包括打桩和牙冠两种费用:
1、打桩费用:牙齿打桩要选择合适的材料,费用是根据材料来变化的,材料分别有各种合金桩金属桩、全瓷桩以及纤维桩,目前比较常见的两种就是金属桩和纤维桩,价格均不等,大概在200-1000元左右。
2、牙冠费用:牙冠有金属烤瓷牙或者全瓷牙,二者相较来说,金属烤瓷牙更为便宜,但是全瓷牙在坚固性和耐磨性上更好一点,假牙冠的大致费用在1000-5000元左右。

按照以上价格来看,一颗牙齿打桩加上安装牙冠价格大约在1200-6000元左右,当然这只是参考价格,还会受到地区、医院或者医生的影响,某些机构可能会有节日活动或者可以使用社保,价格就会更低一些,具体费用还是以面诊咨询为主。
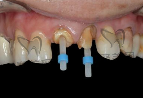
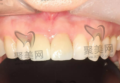
来看看牙齿牙桩做牙冠的流程图
1、先对患者的牙齿进行根管治疗、残冠清理,然后测量牙体数据,根据数据准备桩体。

2、将准备好的桩体插入患者牙根管内,并且将它牢固地粘在牙齿内部,为牙冠提供支撑,然后对其外部进行修整,让其余周围牙齿保持平衡。

3、将选择好的烤瓷或全瓷牙冠安装在牙桩上面,修复就完成了。

为什么牙齿一定要打桩?有什么需要注意的吗?
并不是所有的人牙齿修复都要打桩,而是有部分的口腔患者,因为龋齿或其他原因,牙冠损伤缺少面积过大,剩下的牙齿力量太小,无法牢固支撑修复体,因此需要给牙齿根部打桩,以此来加强支撑力,让假牙冠能够更加固定。

在面诊时要将自己的口腔所有情况如实告知医生,方便医生能够更好地制定诊疗方案,在做完根管治疗后安装修复牙冠前,如果医生建议打桩,一定要观察一段时间哦,避免因为根管治疗不完善导致的后续问题出现,在选择打桩材料时,要结合医生意见与自身牙齿情况来选择,贵的不一定就是适合自己的,同样,便宜的也不一定有贵价的性价比高。
以上就是小编为大家整理的有关牙齿打桩做冠修复的大体资料,还有什么想要了解的可以联系客服咨询哦~
优惠
上海金高医院口腔科种植牙集采落地,韩国进口种植牙价格2588元起!
2023-04-26 17:36:46
厦门拜瑞口腔51优惠活动即将来临,种植特惠价2380元起丨矫正8800起!
2023-04-23 09:19:39
深圳麦芽口腔五月看牙活动全线开启,韩国进口种植牙低至3223元/颗
2023-04-21 16:02:04
成都温江美都整形医院优惠活动来袭,价值2224元美肤套装仅需51元起!
2023-04-17 15:52:26
北京好牙口腔连锁4月份优惠活动来袭,奥齿泰种植牙价格仅2980元起!
2023-04-07 19:36:28
徐州紫浩口腔响应种植牙集采,韩国品牌种植牙价格仅2380元起!
2023-03-24 17:36:24
美容