美容315安全变美,全国回馈预约优惠 2023-04-24 [在线咨询] [网上预约] 可享优惠
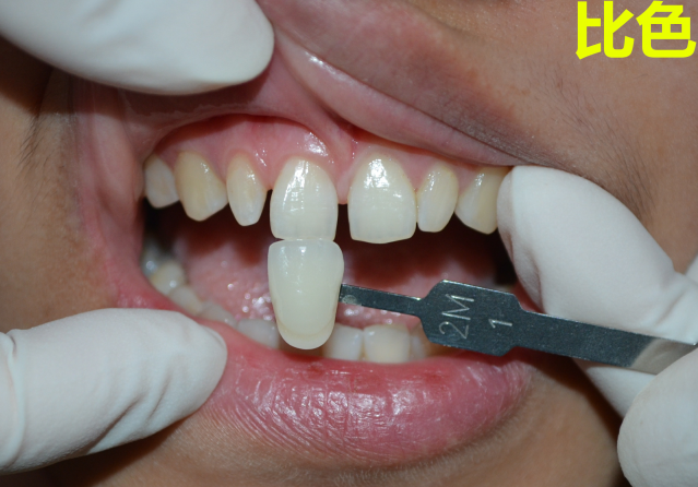
#美牙计之全瓷贴面# 【无创全瓷美容贴面修复】患者,女,20岁,11.21之间有缝隙,11远中轻度外翻,12.22过小牙,前来就诊,经沟通患者一个月后要出国求学,不接受正畸治疗,不愿意备牙,故行无创烤瓷贴面修复。(via 姚立平)









想了解更多口腔科普知识,可以
温馨提示:如有疑问,可免费咨询在线医生,或拨打拨打本院24小时热线:18612316852,我们会从专业的角度认真解答你的疑问。!声明:本站部分信息来自网络,仅供参考,不能作为诊断及医疗的依据。如你转载或引用本文,请标注转自:https://www.meirong315.com/
上一篇:冷光美白、烤瓷牙美白和贴面美白该怎么 下一篇:美学修复——瓷贴面