美容315安全变美,全国回馈预约优惠 2023-04-24 [在线咨询] [网上预约] 可享优惠
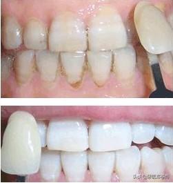
患者提问:我以前也用过一些美白牙齿的方法,但是时间都很短,想问问这个牙齿瓷贴面的美牙效果能维持多久。(患者有轻微氟斑牙)
回复:和您选择的材料以及日常保养使用都有关系,瓷贴面的寿命就相对较长,一般在十年以上,后期主要看您是如何使用和护理的。

牙齿贴面的寿命
牙齿贴面分为瓷贴面、硬质贴面等,其中较为受欢迎的是瓷贴面,它性能稳定,耐磨抗腐蚀,外观上更为自然,使用寿命一般在10年以上。

贴面注意事项
卫生一定要做好,贴面洁净了,看起来才会一直光洁如初。
少咬硬物,以免硬物在贴面上留下划痕,或者是造成贴面松动。
易掉色的食物尽量少吃,如果感觉贴面上有色素沉积,可以到口腔医院做一下喷砂处理。
牙齿贴面的效果和寿命,主要还是掌握在个人的使用和保养上。
既然选择了牙齿贴面,想让牙齿变美,自己就一定要用切实行动来维持好它的美牙效果。

两个要点能帮您了解牙齿贴面:
1.牙齿贴面效果、寿命和其材料有关,比较受欢迎的瓷贴面寿命在十年以上。
2.平时一定要注意做好清洁,少咬硬物,以保证贴面的美牙效果和长久使用。
温馨提示:如有疑问,可免费咨询在线医生,或拨打拨打本院24小时热线:18612316852,我们会从专业的角度认真解答你的疑问。!声明:本站部分信息来自网络,仅供参考,不能作为诊断及医疗的依据。如你转载或引用本文,请标注转自:https://www.meirong315.com/
上一篇:大连齿医生科普 牙齿做瓷贴面会脱落吗 下一篇:知道牙贴面需要磨牙外,还需要了解这些