美容315安全变美,全国回馈预约优惠 2023-04-24 [在线咨询] [网上预约] 可享优惠
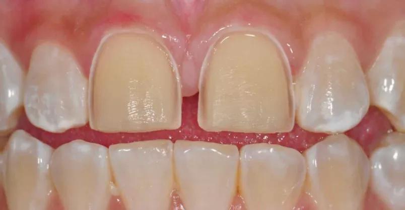
牙齿美白嘛,要么在原基础上漂白。但也有些颜色是氧化剂漂不了的,
漂白过程中用了激光、红外线、冷光照射增加脱色效果也无动于衷的。
那就得贴面出场了。

因为早期的树脂材料耐磨性差、表面光洁度不够好,边缘比较脆弱,树脂贴面逐渐被淘汰,以下所说的「贴面」都是指瓷贴面。
不确定未来但目前还行
我做贴面陶瓷有两年多了。
做了16颗,因为正畸没好好刷牙,补树脂的总是掉,才去做的贴面。
我已经两年没有嗑过瓜子啃过排骨了。不过,这点不算什么,除了那些特别硬的,吃嘛嘛香,坏牙也不疼了不冷热敏感了,龋齿也没有加深。
就是不确定这是暂时的愉快还是……不过自己的原生牙也不一定能保证用多久嘛。没有拍照,效果大概是这样,

图源网络↓
看到磨牙照片后胆战心惊
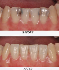
我的两个门牙上有非常明显的横斑,其他牙黄但是比门牙强点儿。

医生给了两个方案:
一个是门牙做贴面,其他牙冷光美白,但冷光美白持续时间有限,到时候对比起来更不好看。
后来选了八颗牙齿贴面。
当时磨完牙照镜子看了一下,看完就后悔了,担心吃东西会时刻担心它会不会掉下来。
不过已经没有回头路了,磨都磨了,没想到最后效果是出乎意料满意,而且医生让做牙贴的技师把我的牙的形状微调了,除了白,笑起来的弧度比之前更好看些了。虽然过程中有不适还有各种挣扎纠结,但要是有重新选择的机会我还是会做贴面。

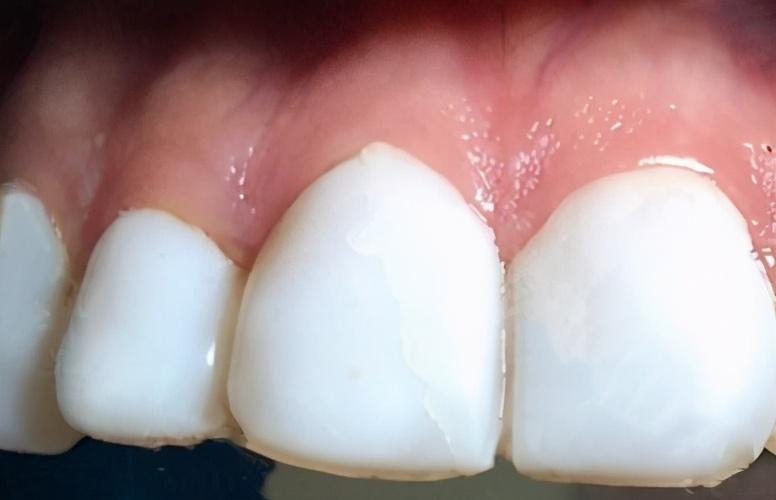
关于磨牙多少 贴面薄厚的问题,有磨得比较厚的,比如上图的,也有超薄的0.2mm,自己牙越好,形态越规整,贴面也就可以做得越薄。严重的四环素牙,甚至做到 1mm 以上才能着色。
所以,贴面的薄厚,取决于磨牙和改型的程度,而这又取决于患者基牙的颜色和形态。

好评差不多了,说说那些
牙齿贴面做了后悔的咋回事?
1、不会刷牙的人做了会后悔
有的人做完后感觉牙表面挺滑溜都不会脏,对刷牙这事儿就松懈了。
一定要了解清楚刷牙的重点,贴面可能会进入到牙龈下面一点的,所以刷牙的时候这个交界处要格外注意刷干净。

日常维护和使用寿命直接挂钩,除了日常清洁,吃东西也要留心,比如瓜子,就不建议吃了。
尤其是用有贴面的门牙切咬时,应该谨慎。即便是你自己的牙,也不应该经常用来切咬硬物。
贴面能对要求改形的恒牙,如锥形牙做出改善,可以关闭轻到中度的前牙间隙。

3、不是靠谱牙医做的贴面
贴面,磨完了粘上就好了,听起来很简单。
其实是一门精密的技术活,绝不是一天半天就能够「快速矫正」做完的。

瓷贴面像打造手工艺品一样,要保持通透又要保证坚固。
打着一步到位完成牙齿贴面的都是假贴面。
贴面修复少不了的一步:牙周检查
1、蛀牙、牙龈炎都要先做好治疗,地基要稳嘛。确定方案,设计修复效果,一般还会先制取一个橡胶模型。

2、看模拟效果满意后开始磨牙。预备完成后,再一次进行模型制备,加工。

一般间隔一周左右再次就诊,不满意可以再调整。
确定后就可以粘了。
考验医生技术和耐心还有脖子的时刻到了,贴面并非是简单的磨了牙能直接贴的,不留缝隙地粘对医生有着高要求。反面例子↓

不光有技术要求,还要有专业的审美,才能让你修复后笑起来更好看。
温馨提示:如有疑问,可免费咨询在线医生,或拨打拨打本院24小时热线:18612316852,我们会从专业的角度认真解答你的疑问。!声明:本站部分信息来自网络,仅供参考,不能作为诊断及医疗的依据。如你转载或引用本文,请标注转自:https://www.meirong315.com/
上一篇:知道牙贴面需要磨牙外,还需要了解这些 下一篇:瓷贴面修复的流程是怎样的?