美容315安全变美,全国回馈预约优惠 2023-04-24 [在线咨询] [网上预约] 可享优惠
全瓷贴面听上去好像高大上,到底有什么用?听我聊聊~

「全瓷贴面」可简单比喻为装修房子时墙面贴瓷砖,不需要对墙面进行过多的处理,只需要将喜欢某种颜色图案的瓷砖贴上,让整个墙改头换面。专业点说,「全瓷贴面修复」是指在不磨牙或是尽量少磨牙的情况下,将一薄薄的瓷质材料固定在患者牙齿的外侧面,从而达到改善牙齿外观和颜色的一种方法,常常用于前牙美容领域。全瓷贴面修复是针对每个患者的个性化修复,完善的修复可以达到与真牙相媲美的牙齿美容效果。
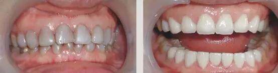
瓷贴面可改变牙齿的颜色和形态,从而达到美观的效果,医生磨去牙齿表面的0.2-0.5mm厚度,然后将制作好的瓷贴面粘接到牙齿上。

牙齿不整齐,做瓷贴面能达到很好的效果吗?
瓷贴面的磨牙量很少,较为健康,对于『四环素牙』、『氟斑牙』 『黑牙』、『黄牙』、『牙髓坏死变色』、『牙齿稀疏』、『 轻微牙齿不齐 』 、『轻微牙齿不齐』能够很好的改善牙齿的颜色,但是对于牙齿的明显不整齐,改善很轻微。也就是说,如果牙齿不整齐很明显,想通过贴面来令牙齿变整齐,效果并不理想。

最佳的方法是先进行矫正牙齿,带矫正器一两年的时间(视个人的牙齿情况时间长短不一)把牙齿移动到正确的位置,然后再做贴面进一步改善牙齿的美观。整齐的牙齿不仅能够提高牙齿的美观效果,更容易维护牙齿的口腔卫生。减少发龋齿和牙周病的可能性。因此,对于牙齿明显不整齐的患者,先做矫正再做瓷贴面值得的。
瓷贴面如何改变牙齿的形态和颜色

1、检查。 口腔健康诊断,选择合适的适应症。
2、DSD微笑美学设计。 数字微笑美学设计,制定个性化治疗方案。
3、备牙。 牙体预备,需要磨除少量的牙齿
4、比色。 用齿科专用的对比色板进行牙齿比色,以此来确定贴面的颜色。
5、取模。
6、CADcam设计。 进行CAD\CAM设计制作,数字模拟设计并通过3D打印瓷贴面
7、贴面粘结。 将制做成的瓷贴面的内侧均匀涂上粘接剂,检查咬合关系并调合。
贴面这么薄,会不会很容易脱落
瓷贴面是相当牢固的,比牙冠还牢,瓷贴面是直接粘接在牙齿的釉质层,就相当于把透明胶黏贴在玻璃上。牙冠是直接粘贴在牙本质层,就相当与把透明胶粘贴在白粉墙上,由此可知贴面的粘结度很牢。因此不用担心贴面会不会容易掉落。

贴面是人人适用吗?
当然不是每个人都能做贴面的,尤其是不希望磨牙的患者,适合的人就更少了,具体是否适合做贴面,适合哪种贴面,建议到专业的口腔医院进行检查听取专业医生的意见。

瓷贴面需要磨牙,是不是不够健康
相信很多患者担心做磨牙齿顾虑重重,其实瓷贴面磨牙较少,只有.02mm-0.5mm(也有不需要磨牙的,只是适用人群较少)。
相信通过对上面几个问题的讨论,我们对全瓷贴面有了更多的了解,对于自己是否合适做全瓷贴面修复也有进一步的认识。当然正确的做法是找专业的医院、专业的医生进行咨询和修复才是最合理的选择。
温馨提示:如有疑问,可免费咨询在线医生,或拨打拨打本院24小时热线:18612316852,我们会从专业的角度认真解答你的疑问。!声明:本站部分信息来自网络,仅供参考,不能作为诊断及医疗的依据。如你转载或引用本文,请标注转自:https://www.meirong315.com/
上一篇:过来人告诉你们,牙缝大做了美伦美咖瓷 下一篇:有的牙贴面为什么看起来很“假白”?