美容315安全变美,全国回馈预约优惠 2023-04-24 [在线咨询] [网上预约] 可享优惠
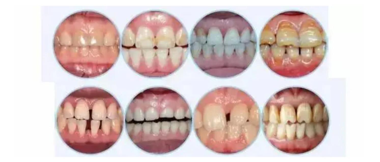
有的朋友一口缺损牙、氟斑牙或者色素牙,很容易被人误会是对牙齿的爱护不够,个人卫生习惯不好!而且这些牙齿问题,通常都大大降低了个人形象,让人觉得非常苦恼。

瓷贴面:保护牙齿+修复美牙
想解决氟斑牙、色素牙等一系列牙齿烦恼,只能做牙冠吗?
近年来,作为一种保存性修复治疗的手段,瓷贴面技术走进现代口腔治疗,并已广泛应用于临床,尤其是前牙美学修复中。
在线科普
瓷贴面修复是通过磨去牙齿表面的0 . 2 - 0 . 5 m m 厚度,然后将制作好的贴面粘接到牙
齿上,从而达到改变牙齿的颜色和形态,获 得 美 观 牙 齿 的 效 果 , 也 被 称 为 美 牙 届的 “ 隐 形 眼 镜 ” 。
相比普通牙冠及树脂贴面,瓷贴面具有极好的透光性,仿真效果好,只需磨除极少牙体组织,可尽可能保存牙体组织,不需要杀神经,基本上控制了术后牙髓炎症、坏死等全冠修复后遗症的发生,可以保持天然牙齿长期健康。

瓷贴面的适应症:
釉质发育不良、四环素染色牙、氟斑牙、畸形牙、过小牙、牙间隙过大、邻面龋坏和切端缺损等。
一般只用于前牙的修复,主要目的是解决美观问题。
超 薄 贴 面 : 精 准 工 艺
与普通贴面相比,超薄瓷贴面更美观、更快速、更轻薄,还能提前预知修复结果,增加治疗
参与度。
1、治疗快速
更科学、更精准、更高效地为患者提供优质的一站式口腔医疗服务,可以大大缩减治疗时间。
2、超薄坚固
瓷贴面精雕细刻,出品精美无瑕。它采用纳米全瓷片,轻薄如隐形眼镜(0.2mm),硬度却高达400Mpa。

3、美学修复
美牙技术,是一种结合口腔生态学、面部微笑曲线、微整雕塑,个性化雕琢的全瓷牙贴面。
它改变的不仅是牙齿,还会根据个人五官、肤色、笑容曲线等因素打造更完美的笑容。

温馨提示:如有疑问,可免费咨询在线医生,或拨打拨打本院24小时热线:18612316852,我们会从专业的角度认真解答你的疑问。!声明:本站部分信息来自网络,仅供参考,不能作为诊断及医疗的依据。如你转载或引用本文,请标注转自:https://www.meirong315.com/
上一篇:牙齿贴面知多少? 下一篇:科普:牙齿瓷贴面到底是什么?