美容315安全变美,全国回馈预约优惠 2023-04-24 [在线咨询] [网上预约] 可享优惠
刚刚过去的9月16日是北京协和医院的97岁生日,今天是9·20全国爱牙日!口腔科以系列科普大讲堂活动庆祝院庆及爱牙日。本周向大家一一详解讲堂内容,敬请

自古以来,人们对美貌男女的描写往往都少不了"明眸皓齿"等字眼。而现代人更是把牙齿看作自己的"第二面孔",并为这张"面孔"的美丽而不懈努力。各种口腔常见疾病及牙齿先天发育或形状畸形,尤其发生在前牙(尖牙前的上下三颗牙齿)时,不仅影响口腔健康,且会使患者产生心理负担。牙科医生希望通过一定手段,给牙齿穿上美丽的“新衣”,不仅可以恢复患牙的生理形态及功能,而且能够满足各种美观的需求。瓷贴面修复技术作为前牙美容修复的重要内容,可以满足许多患者的爱美需求。

专家介绍:董海涛

北京协和医院口腔科,主治医师。 专业特长:口腔修复常见疾病的诊治;前牙美容修复治疗;上颌骨缺损术后的赝复修复治疗。
专家介绍:吴效民

北京协和医院口腔科主任医师,教授,硕士研究生导师。专长:口腔各种固定、活动修复,口腔美容修复、精密附着体的应用及咬合重建等。
牙齿的“新衣”——瓷贴面修复
瓷贴面修复是指在不磨牙或少磨牙的情况下,应用粘结材料将薄层人工瓷修复体粘接在患牙唇面以遮盖影响美观的变色、缺损等缺陷的一种修复方法。瓷贴面具有颜色美观、备牙量少、抗液体吸收、生物相容性好、抗磨损、牙周保健及粘结牢固可靠等优点。
瓷贴面的适应证:
釉质发育不良、外伤及龋齿造成的前牙轻度缺损;
变色牙(氟斑牙、四环素牙等);
改善前牙外观形态,如畸形牙、过小牙及轻度错位牙等;
关闭少量的前牙间隙。

典型案例
上文太过专业?没关系,我们一起来看几个典型病例。
下面三组图片可能引起视觉不适,如勇气满满,
可分别戳下方空白处(⊙o⊙)
▼
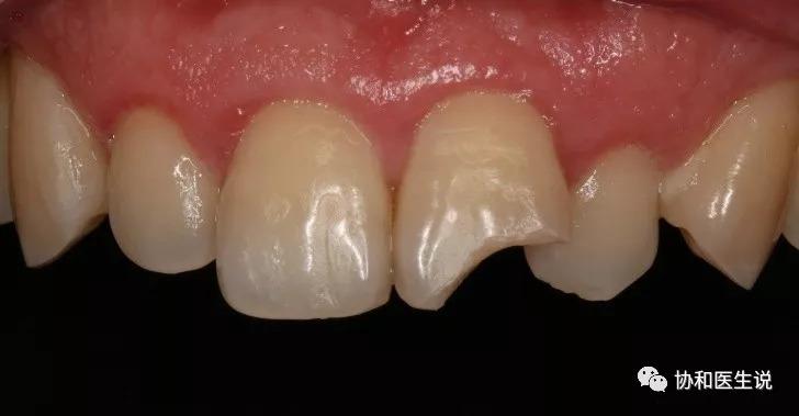
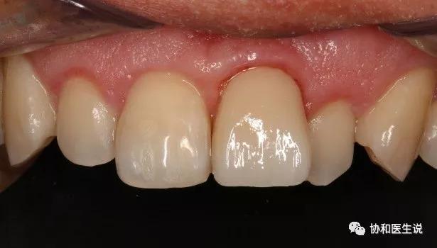
患者1:
男,43岁,上前牙因外伤缺损,冷热食物刺激敏感,并且影响交际形象,要求改善上前牙外观。

修复前

牙体预备

贴面制作完成

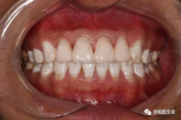
贴面固定在牙齿上
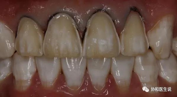
患者2:
男,25岁,上前牙着色不美观,影响工作及交际形象,要求改善上前牙外观。患者有高氟地区生活史。

修复前

牙体预备

贴面制作完成

贴面固定在牙齿上
患者3:
女,20岁,上前牙间有缝隙,要求改善外观。

修复前

牙体预备

贴面制作完成

贴面固定在牙齿上
贴面修复注意事项
贴面修复前,医患间应详细沟通,确定患者真正的需求及想要达到的美学效果;对于牙龈、牙周健康存在问题的,贴面粘接时牙龈易出血造成修复体边缘染色及粘接强度的降低,影响贴面边缘的适合性,修复前应予以治愈后再进行修复。
高标准的牙体预备和精细印模为贴面制作后边缘的高度适合性及长期美学效果的保持奠定基础;粘接前树脂水门汀的选色、试色,不但是医患沟通的一部分,而且是最终确定美学修复效果的必要环节;贴面的最终粘接应严格按照粘接技术各步骤的要求进行,在完成粘接固位后,还要注意咬合关系的调整,避免早接触。
因此,贴面修复需要临床医生具备娴熟的技术和良好的医患沟通能力。
总之,我们应尊重患者的爱美之心,给牙齿穿上美丽的“新衣”,让每一位患者拥有完美、灿烂的笑容,能够在工作和生活中更加自信。

温馨提示:如有疑问,可免费咨询在线医生,或拨打拨打本院24小时热线:18612316852,我们会从专业的角度认真解答你的疑问。!声明:本站部分信息来自网络,仅供参考,不能作为诊断及医疗的依据。如你转载或引用本文,请标注转自:https://www.meirong315.com/
上一篇:牙齿不美?试试牙贴面 下一篇:要想改变牙黄问题,来跟齿科医生了解下