荆州中心医院美容召开党委(扩大)会… 3月26日下午,我院在卫校101会议室召开党委(扩大)会暨党委理论中心组集中学习,认真学习全国两会精神及市委第一巡察组巡察市卫计委党组工作动员会精...[查看详情]
“亚洲鼻王”曾高,隆鼻限量预约中… 你选对了适合自己的隆鼻项目吗? 隆鼻手术现在是仅次于双眼皮手术的第二大受欢迎整形项目,但是面对铺天盖地的隆鼻项目的宣传,面对种种营销的宣传...[查看详情]
《医疗美容项目分级管理目录》 荆州中心医院整形美容中心,是我国三级(最高等级设置)整形外科医院,担负高校整形美容教学、临床科研任务,是中国最大整形美容临床教研机构之一。...[查看详情]
“安全整形高峰论坛”经典回顾 2014年5月17日,2014首届中国荆州安全整形高峰论坛在荆州市中心医院内科楼7楼圆满落幕。这是荆州整形美容行业最为隆重的一次盛事。 高峰论坛现场坐无虚...[查看详情]
2013.海峡两岸微整形学术交流宜昌峰会 大会背景 以往的学术会议更多专家之间的学术研讨,无法让求美者对现在整形技术的提高有清晰的认识。此次2012.海峡两岸微整形学术交流荆州峰会首次引...[查看详情]
美容行业协会学术沙龙活动举行 荆州中心整形医院二零一三年第二次学术沙龙活动7月十四日于整形外科医院举行。上午九点整开始,到中午十二点半进行第一单元。下午一点到三点半举行...[查看详情]
宜昌唇腭裂什么时候治疗*好 唇腭裂什么时候治疗最好?唇腭裂俗称兔唇、缺嘴、豁嘴,是口腔颌面部常见的先天性畸形。发病率约为1.82‰,全国现有患者240多万,属于...[查看详情]
宜昌自体脂肪丰唇术好不好 自体脂肪丰唇术好不好呢?樱桃小嘴似乎已经被认为只是古代的一种美,而现今,性感的嘴唇才是人们的追求了。一些爱美的朋友对自己不丰...[查看详情]
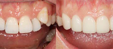
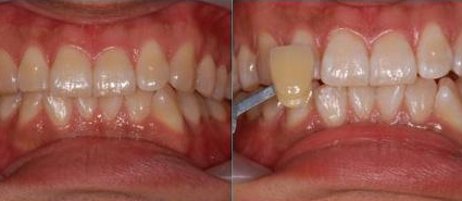
完美牙齿你也可以拥有 牙齿缺陷问题是一个绝对不容忽视的重大问题,会影响到生活的方方面面甚至一个人的心理健康。口齿不清、食欲不振、口腔疾病等等,这...[查看详情]
宜昌无痕植发手术多少钱 荆州无痕植发手术多少钱? 无痕植发目前是被认为治疗脱发最好的方法,但无痕植发手术的价格一直备受关注,下面 荆州中心整形医院 专...[查看详情]